Suppr超能文献

表现为脑肿块病变的中枢神经系统原发性血管炎:一例报告及文献综述

Primary Angiitis of the Central Nervous System Presenting as a Cerebral Mass Lesion: A Case Report and Literature Review.

作者信息

Bernstein Jacob E, Podkovik Stacey, Kashyap Samir, Ghanchi Hammad, Ananda Ajay K

机构信息

Neurosurgery, Riverside University Health System Medical Center, Moreno Valley, USA.

Neurosurgery, Kaiser Permanente, Los Angeles, USA.

出版信息

Cureus. 2020 Jun 8;12(6):e8511. doi: 10.7759/cureus.8511.

Abstract

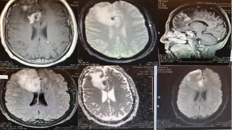
Primary angiitis of the central nervous system (PACNS) is a rare form of vasculitis and is confined entirely to the central nervous system (CNS)without systemic involvement. We report a rare case of PACNS in a 39-year-old female with new onset seizures and a right frontal enhancing mass. Initially the patient was thought to have a high-grade glioma and thus underwent a right frontal craniotomy for resection of right frontal mass. Intraoperatively, two fresh tissue samples were sent for intraoperative consultation. Sample 1 showed predominantly necrotic tissue and scant glial cells while sample 2 revealed glial tissue favoring gliosis versus low-grade neoplasm with necrosis and a few acute inflammatory cells. Final pathological diagnosis was consistent with PACNS. Postoperatively, the patient recovered well from surgery with no neurological deficits and was discharged on postoperative day 3. Two weeks after surgery the patient was started on cyclophosphamide and prednisone by Rheumatology. At one month follow up, the patient remained asymptomatic and seizure free.

摘要

中枢神经系统原发性血管炎(PACNS)是一种罕见的血管炎形式,完全局限于中枢神经系统(CNS),无全身受累。我们报告一例罕见的PACNS病例,患者为39岁女性,新发癫痫,右侧额叶有强化肿块。最初,该患者被认为患有高级别胶质瘤,因此接受了右侧额叶开颅手术以切除右侧额叶肿块。术中,送了两份新鲜组织样本进行术中会诊。样本1主要显示坏死组织和少量胶质细胞,而样本2显示胶质组织,倾向于胶质增生而非伴有坏死和少量急性炎症细胞的低级别肿瘤。最终病理诊断与PACNS一致。术后,患者手术恢复良好,无神经功能缺损,术后第3天出院。术后两周,风湿科开始让患者服用环磷酰胺和泼尼松。随访1个月时,患者无症状且无癫痫发作。

https://cdn.ncbi.nlm.nih.gov/pmc/blobs/f0ba/7346301/f4bdec46061b/cureus-0012-00000008511-i01.jpg

文献检索

告别复杂PubMed语法,用中文像聊天一样搜索,搜遍4000万医学文献。AI智能推荐,让科研检索更轻松。

立即免费搜索

文件翻译

保留排版,准确专业,支持PDF/Word/PPT等文件格式,支持 12+语言互译。

免费翻译文档

深度研究

AI帮你快速写综述,25分钟生成高质量综述,智能提取关键信息,辅助科研写作。

立即免费体验