Institute of Molecular and Cell Biology (IMCB), Agency for Science, Technology and Research (A*STAR), Singapore, Singapore.
Department of Biochemistry, Yong Loo Lin School of Medicine, National University of Singapore, Singapore, Singapore.
Nat Commun. 2020 Jul 14;11(1):3520. doi: 10.1038/s41467-020-17064-0.
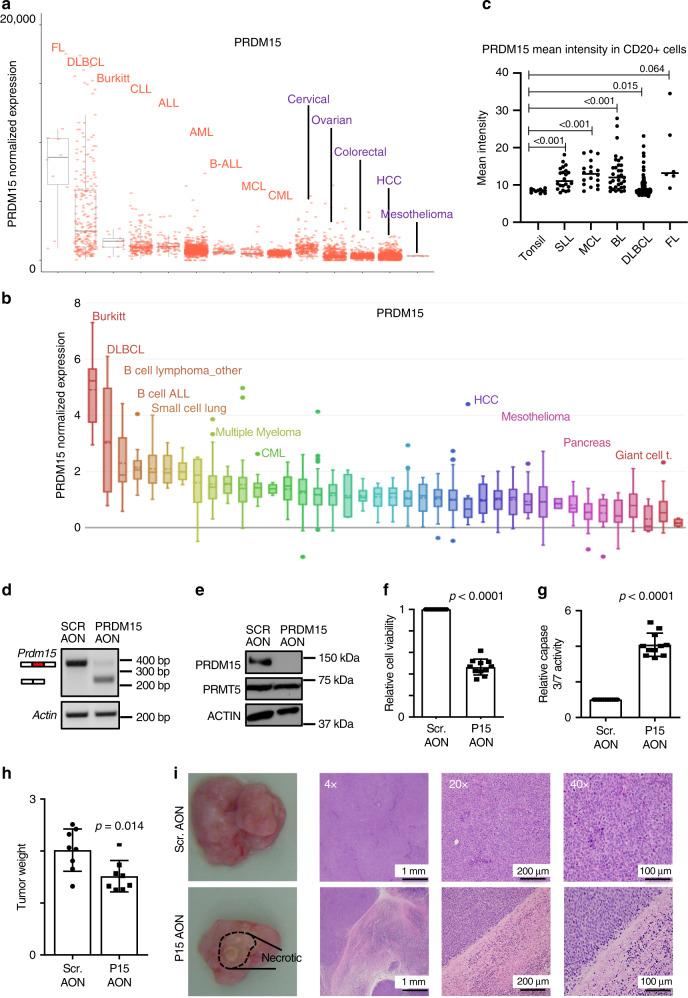
PRDM (PRDI-BF1 and RIZ homology domain containing) family members are sequence-specific transcriptional regulators involved in cell identity and fate determination, often dysregulated in cancer. The PRDM15 gene is of particular interest, given its low expression in adult tissues and its overexpression in B-cell lymphomas. Despite its well characterized role in stem cell biology and during early development, the role of PRDM15 in cancer remains obscure. Herein, we demonstrate that while PRDM15 is largely dispensable for mouse adult somatic cell homeostasis in vivo, it plays a critical role in B-cell lymphomagenesis. Mechanistically, PRDM15 regulates a transcriptional program that sustains the activity of the PI3K/AKT/mTOR pathway and glycolysis in B-cell lymphomas. Abrogation of PRDM15 induces a metabolic crisis and selective death of lymphoma cells. Collectively, our data demonstrate that PRDM15 fuels the metabolic requirement of B-cell lymphomas and validate it as an attractive and previously unrecognized target in oncology.
PRDM(PRDI-BF1 和 RIZ 同源结构域包含)家族成员是参与细胞身份和命运决定的序列特异性转录调节剂,在癌症中经常失调。PRDM15 基因特别有趣,因为它在成人组织中的表达水平较低,而在 B 细胞淋巴瘤中过度表达。尽管它在干细胞生物学和早期发育中的作用已得到很好的描述,但 PRDM15 在癌症中的作用仍然不清楚。在此,我们证明,尽管 PRDM15 在体内对成年小鼠体细胞稳态的需求不大,但它在 B 细胞淋巴瘤的发生中起着关键作用。从机制上讲,PRDM15 调节一个转录程序,维持 B 细胞淋巴瘤中 PI3K/AKT/mTOR 途径和糖酵解的活性。PRDM15 的缺失会引发代谢危机并选择性杀死淋巴瘤细胞。总的来说,我们的数据表明 PRDM15 为 B 细胞淋巴瘤提供了代谢需求,并将其验证为肿瘤学中一个有吸引力且以前未被认识到的目标。