Suppr超能文献

肠穿孔作为抗结核治疗的一种反常反应:一例报告

Intestinal Perforation as a Paradoxical Reaction to Antitubercular Therapy: A Case Report.

作者信息

Kang Sung Hoon, Moon Hee Seok, Park Jae Ho, Kim Ju Seok, Kang Sun Hyung, Lee Eaum Seok, Kim Seok Hyun, Lee Byung Seok, Sung Jae Kyu, Jeong Hyun Yong, Lee Kyung Ha

机构信息

Division of Gastroenterology, Department of Internal Medicine, Chungnam National University College of Medicine, Daejeon, Korea.

Department of Surgery, Chungnam National University College of Medicine, Daejeon, Korea.

出版信息

Ann Coloproctol. 2021 Jul;37(Suppl 1):S18-S23. doi: 10.3393/ac.2020.03.16.1. Epub 2020 May 15.

Abstract

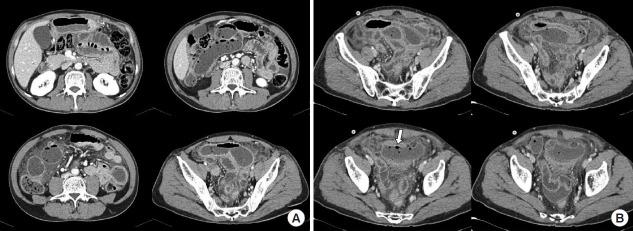
Paradoxical reactions to tuberculosis (TB) treatment are characterized by an initial improvement of the clinical symptoms followed by clinical or radiological deterioration of existing tuberculous lesions, or by development of new lesions. Intestinal perforation in gastrointestinal TB can occur as a paradoxical reaction to antitubercular therapy. A 55-year-old man visited the outpatient department with lower abdominal pain and weight loss. He was diagnosed with intestinal TB and started antitubercular therapy. After 3 months of antitubercular therapy, a colonoscopy revealed improvement of the disease. Three days after the colonoscopy, the patient visited the emergency room complaining of abdominal pain. Abdominal computed tomography revealed extraluminal air-filled spaces in the pelvic cavity. We diagnosed a small bowel perforation and performed an emergency laparotomy and a right hemicolectomy with small bowel resection. This report describes the case of intestinal perforation presenting as a paradoxical reaction to antitubercular and provides a brief literature review.

摘要

结核病(TB)治疗的矛盾反应表现为临床症状最初改善,随后现有结核病变出现临床或影像学恶化,或出现新病变。胃肠道结核中的肠穿孔可作为抗结核治疗的矛盾反应发生。一名55岁男性因下腹痛和体重减轻就诊于门诊。他被诊断为肠结核并开始抗结核治疗。抗结核治疗3个月后,结肠镜检查显示病情有所改善。结肠镜检查3天后,患者因腹痛前往急诊室。腹部计算机断层扫描显示盆腔腔内有腔外气体填充空间。我们诊断为小肠穿孔,并进行了急诊剖腹手术和右半结肠切除术及小肠切除术。本报告描述了作为抗结核治疗矛盾反应出现的肠穿孔病例,并提供了简要的文献综述。

https://cdn.ncbi.nlm.nih.gov/pmc/blobs/d7ca/8359699/9244bc1bcde0/ac-2020-03-16-1f1.jpg

文献检索

告别复杂PubMed语法,用中文像聊天一样搜索,搜遍4000万医学文献。AI智能推荐,让科研检索更轻松。

立即免费搜索

文件翻译

保留排版,准确专业,支持PDF/Word/PPT等文件格式,支持 12+语言互译。

免费翻译文档

深度研究

AI帮你快速写综述,25分钟生成高质量综述,智能提取关键信息,辅助科研写作。

立即免费体验