Suppr超能文献

镉含量低的硬粒小麦品种及其四倍体近缘种的鉴定

Identification of Durum Wheat Cultivars and Their Tetraploid Relatives with Low Cadmium Content.

作者信息

Tekin Mehmet, Cat Ahmet, Sönmez Sahriye, Akar Taner

机构信息

Akdeniz University, Faculty of Agriculture, Department of Field Crops, 07059 Antalya, Turkey.

Akdeniz University, Faculty of Agriculture, Department of Plant Protection, 07059 Antalya, Turkey.

出版信息

Food Technol Biotechnol. 2020 Mar;58(1):49-56. doi: 10.17113/ftb.58.01.20.6531.

Abstract

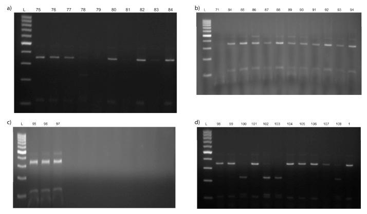
In this study, 71 durum wheat cultivars ( Desf.), 22 emmer wheat ( L.) and 11 wild emmer ( L.) genotypes were genetically characterized to determine the alleles associated with high cadmium (Cd) content. After genotypic characterization, 14 cultivars selected among all genotypes with low and high Cd content were phenotyped by a pot experiment to verify the genotypic data. Identification of 32 durum wheat, one emmer wheat and four wild emmer genotypes showed that they have alleles associated with high Cd content, while 68 genotypes of which 39 durum wheat, 21 emmer wheat and 7 wild emmer cultivars had alleles associated with low Cd content, respectively. Moreover, phenotypic data obtained from pot experiment were similar to the molecular data. To sum up, the marker successfully classified durum wheat cultivars into either high or low accumulators and these results can be safely used in breeding programs to improve new durum wheat cultivars with alleles associated with low Cd content. Due to routine use of phosphorus fertilizers in agricultural areas and other anthropogenic factors related to Cd toxicity, new durum wheat cultivars with low Cd content should be urgently developed for safe production of macaroni or other types of wheat products for human and animal consumption.

摘要

在本研究中,对71个硬粒小麦品种(Desf.)、22个二粒小麦(L.)和11个野生二粒小麦(L.)基因型进行了遗传特征分析,以确定与高镉(Cd)含量相关的等位基因。在进行基因型特征分析后,通过盆栽试验对从所有低镉和高镉含量基因型中选出的14个品种进行了表型分析,以验证基因型数据。对32个硬粒小麦、1个二粒小麦和4个野生二粒小麦基因型的鉴定表明,它们具有与高镉含量相关的等位基因,而68个基因型(其中39个硬粒小麦、21个二粒小麦和7个野生二粒小麦品种)分别具有与低镉含量相关的等位基因。此外,从盆栽试验获得的表型数据与分子数据相似。综上所述,该标记成功地将硬粒小麦品种分为高积累型或低积累型,这些结果可安全地用于育种计划,以培育具有与低镉含量相关等位基因的新硬粒小麦品种。由于农业地区常规使用磷肥以及与镉毒性相关的其他人为因素,迫切需要培育低镉含量的新硬粒小麦品种,以安全生产通心粉或其他供人类和动物食用的小麦产品。

https://cdn.ncbi.nlm.nih.gov/pmc/blobs/7beb/7365341/9b386b8c1895/FTB-58-49-f1.jpg

文献AI研究员

20分钟写一篇综述,助力文献阅读效率提升50倍。

立即体验

用中文搜PubMed

大模型驱动的PubMed中文搜索引擎

马上搜索

文档翻译

学术文献翻译模型,支持多种主流文档格式。

立即体验