• 文献检索
  • 文档翻译
  • 深度研究
  • 学术资讯
  • Suppr Zotero 插件Zotero 插件
  • 邀请有礼
  • 套餐&价格
  • 历史记录
应用&插件
Suppr Zotero 插件Zotero 插件浏览器插件Mac 客户端Windows 客户端微信小程序
定价
高级版会员购买积分包购买API积分包
服务
文献检索文档翻译深度研究API 文档MCP 服务
关于我们
关于 Suppr公司介绍联系我们用户协议隐私条款
关注我们

Suppr 超能文献

核心技术专利:CN118964589B侵权必究
粤ICP备2023148730 号-1Suppr @ 2026

文献检索

告别复杂PubMed语法,用中文像聊天一样搜索,搜遍4000万医学文献。AI智能推荐,让科研检索更轻松。

立即免费搜索

文件翻译

保留排版,准确专业,支持PDF/Word/PPT等文件格式,支持 12+语言互译。

免费翻译文档

深度研究

AI帮你快速写综述,25分钟生成高质量综述,智能提取关键信息,辅助科研写作。

立即免费体验

转移性肾细胞癌中罕见的原发灶缺失病例

A Rare Case of Missing Primary in Metastatic Renal Cell Carcinoma.

作者信息

Kapoor Ankita, Khushalani Nikhil, Gandhi Shipra

机构信息

Internal Medicine, Rochester General Hospital, Rochester, USA.

Cutaneous Oncology, H. Lee Moffitt Cancer Center and Research Institute, Tampa, USA.

出版信息

Cureus. 2020 Jun 15;12(6):e8637. doi: 10.7759/cureus.8637.

DOI:10.7759/cureus.8637
PMID:32685306
原文链接:https://pmc.ncbi.nlm.nih.gov/articles/PMC7364421/
Abstract

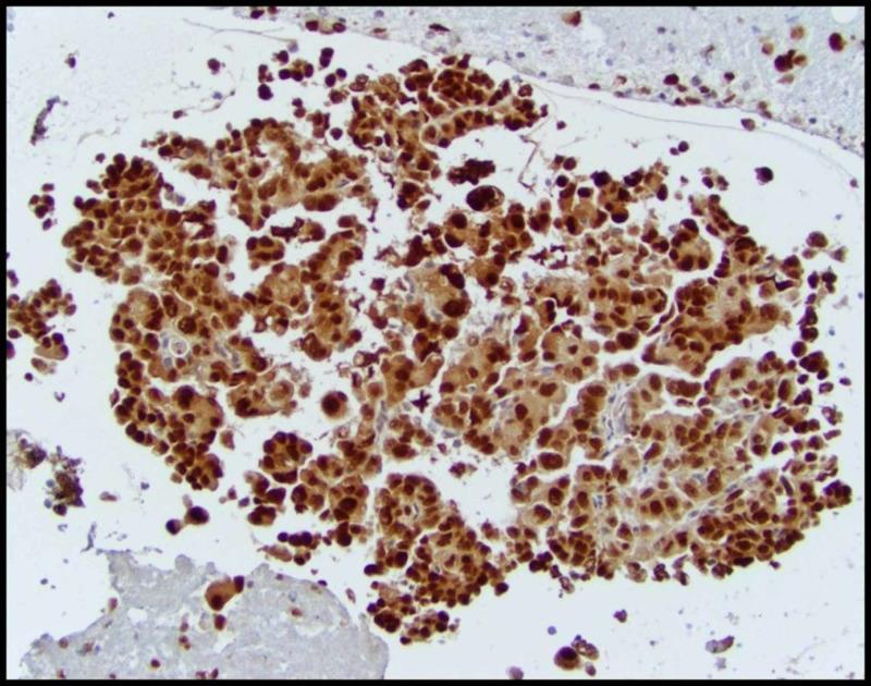
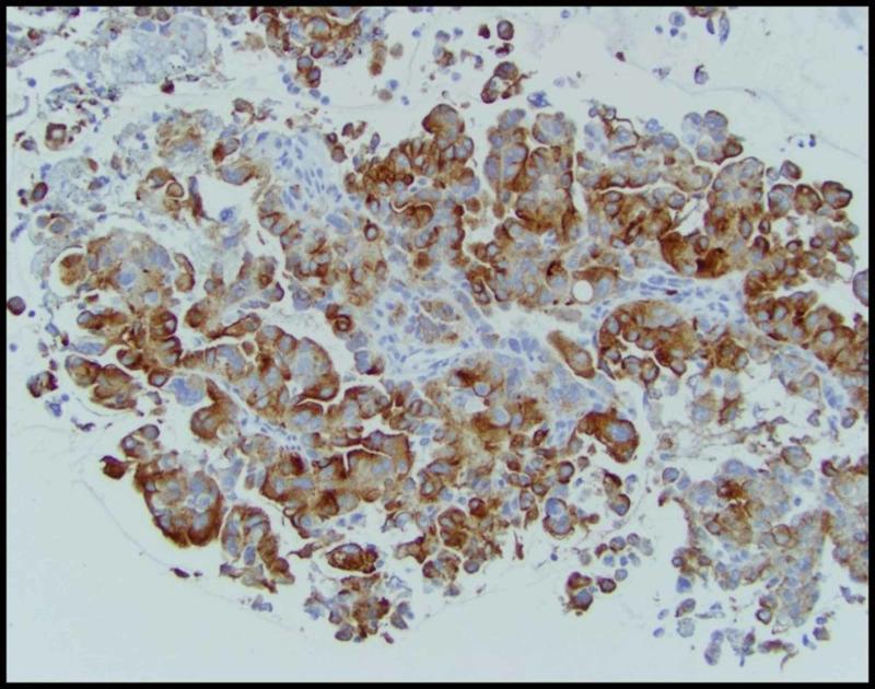
Renal cell carcinoma (RCC) can present with a myriad of clinical symptoms and signs. It is also notorious for its initial presentation with distant metastasis. We report a case of a 42-year-old male diagnosed with papillary RCC (PRCC) presenting with pleural and nodal metastases in the absence of a radiographically-detected tumor primary. PRCC was diagnosed on immunohistochemical analysis of the tissue from the pleura and mediastinal lymph nodes and confirmed by gene expression profiling studies. As per treatment guidelines for metastatic RCC, the patient was started on sunitinib with evidence of disease progression after two cycles and palliative care approach was recommended due to rapidly declining performance status. Prospective data on the optimal management of metastatic PRCC are lacking, but drugs used are similar to the treatment of clear cell carcinomas (vascular endothelial growth factor (VEGF) tyrosine kinase inhibitors, mammalian target of rapamycin inhibitors) and checkpoint inhibitors. Further molecular study of these rare tumors is warranted to detect drivers of oncogenesis and identify targets for therapeutic intervention.

摘要

肾细胞癌(RCC)可表现出众多临床症状和体征。它还因其初发时即伴有远处转移而声名狼藉。我们报告一例42岁男性,诊断为乳头状肾细胞癌(PRCC),在未发现影像学检测到的肿瘤原发灶的情况下出现胸膜和淋巴结转移。PRCC通过对胸膜和纵隔淋巴结组织的免疫组化分析得以诊断,并经基因表达谱研究证实。根据转移性RCC的治疗指南,患者开始使用舒尼替尼治疗,两个周期后出现疾病进展迹象,鉴于患者体能状态迅速下降,建议采取姑息治疗方法。目前缺乏关于转移性PRCC最佳管理的前瞻性数据,但所使用的药物与透明细胞癌的治疗药物相似(血管内皮生长因子(VEGF)酪氨酸激酶抑制剂、雷帕霉素靶蛋白抑制剂)以及检查点抑制剂。对这些罕见肿瘤进行进一步的分子研究,对于检测肿瘤发生的驱动因素以及确定治疗干预靶点是必要的。

https://cdn.ncbi.nlm.nih.gov/pmc/blobs/1cd4/7364421/ad3c9bc55554/cureus-0012-00000008637-i09.jpg
https://cdn.ncbi.nlm.nih.gov/pmc/blobs/1cd4/7364421/fac5262eae3c/cureus-0012-00000008637-i01.jpg
https://cdn.ncbi.nlm.nih.gov/pmc/blobs/1cd4/7364421/0c27ed603811/cureus-0012-00000008637-i02.jpg
https://cdn.ncbi.nlm.nih.gov/pmc/blobs/1cd4/7364421/c52437406c3e/cureus-0012-00000008637-i03.jpg
https://cdn.ncbi.nlm.nih.gov/pmc/blobs/1cd4/7364421/f70702b2e80d/cureus-0012-00000008637-i04.jpg
https://cdn.ncbi.nlm.nih.gov/pmc/blobs/1cd4/7364421/0dd25bdfc273/cureus-0012-00000008637-i05.jpg
https://cdn.ncbi.nlm.nih.gov/pmc/blobs/1cd4/7364421/2a2981acb240/cureus-0012-00000008637-i06.jpg
https://cdn.ncbi.nlm.nih.gov/pmc/blobs/1cd4/7364421/ac8b3e1c8f38/cureus-0012-00000008637-i07.jpg
https://cdn.ncbi.nlm.nih.gov/pmc/blobs/1cd4/7364421/1bec5a0c3b5b/cureus-0012-00000008637-i08.jpg
https://cdn.ncbi.nlm.nih.gov/pmc/blobs/1cd4/7364421/ad3c9bc55554/cureus-0012-00000008637-i09.jpg
https://cdn.ncbi.nlm.nih.gov/pmc/blobs/1cd4/7364421/fac5262eae3c/cureus-0012-00000008637-i01.jpg
https://cdn.ncbi.nlm.nih.gov/pmc/blobs/1cd4/7364421/0c27ed603811/cureus-0012-00000008637-i02.jpg
https://cdn.ncbi.nlm.nih.gov/pmc/blobs/1cd4/7364421/c52437406c3e/cureus-0012-00000008637-i03.jpg
https://cdn.ncbi.nlm.nih.gov/pmc/blobs/1cd4/7364421/f70702b2e80d/cureus-0012-00000008637-i04.jpg
https://cdn.ncbi.nlm.nih.gov/pmc/blobs/1cd4/7364421/0dd25bdfc273/cureus-0012-00000008637-i05.jpg
https://cdn.ncbi.nlm.nih.gov/pmc/blobs/1cd4/7364421/2a2981acb240/cureus-0012-00000008637-i06.jpg
https://cdn.ncbi.nlm.nih.gov/pmc/blobs/1cd4/7364421/ac8b3e1c8f38/cureus-0012-00000008637-i07.jpg
https://cdn.ncbi.nlm.nih.gov/pmc/blobs/1cd4/7364421/1bec5a0c3b5b/cureus-0012-00000008637-i08.jpg
https://cdn.ncbi.nlm.nih.gov/pmc/blobs/1cd4/7364421/ad3c9bc55554/cureus-0012-00000008637-i09.jpg

相似文献

1
A Rare Case of Missing Primary in Metastatic Renal Cell Carcinoma.转移性肾细胞癌中罕见的原发灶缺失病例
Cureus. 2020 Jun 15;12(6):e8637. doi: 10.7759/cureus.8637.
2
A comparative study of metastatic renal cell carcinoma with correlation to subtype and primary tumor.转移性肾细胞癌与亚型及原发肿瘤相关性的比较研究
Pathol Res Pract. 2001;197(10):671-5. doi: 10.1078/0344-0338-00144.
3
Impact of histologic subtype and sarcomatoid transformation on metastasis in renal cell carcinoma: a single institute experience in 149 patients.组织学亚型和肉瘤样转化对肾细胞癌转移的影响:一家机构对149例患者的经验
Abdom Radiol (NY). 2016 Feb;41(2):295-302. doi: 10.1007/s00261-015-0569-7.
4
Efficacy of sunitinib and sorafenib in metastatic papillary and chromophobe renal cell carcinoma.舒尼替尼和索拉非尼在转移性乳头状和嫌色性肾细胞癌中的疗效。
J Clin Oncol. 2008 Jan 1;26(1):127-31. doi: 10.1200/JCO.2007.13.3223.
5
Bladder metastasis from type 2 papillary renal cell carcinoma: A case report.2型乳头状肾细胞癌膀胱转移:一例报告
Oncol Lett. 2023 May 5;25(6):270. doi: 10.3892/ol.2023.13856. eCollection 2023 Jun.
6
Exceptional Response of Metastatic Chromophobe Renal Cell Carcinoma to Vascular Endothelial Growth Factor (VEGF) Inhibitors: Should Increased VEGF-C Expression Be Used to Guide Treatment?转移性嫌色肾细胞癌对血管内皮生长因子(VEGF)抑制剂的特殊反应:VEGF-C表达增加是否应用于指导治疗?
Case Rep Urol. 2019 Dec 28;2019:2479823. doi: 10.1155/2019/2479823. eCollection 2019.
7
Cytohistopathologic hybrid renal cell carcinoma with papillary and clear cell features.具有乳头样和透明细胞特征的细胞组织病理学混合型肾细胞癌
Pathol Res Pract. 2006;202(12):863-8. doi: 10.1016/j.prp.2006.08.007. Epub 2006 Oct 10.
8
Distribution of subtypes of metastatic renal-cell carcinoma: correlating findings of fine-needle aspiration biopsy and surgical pathology.转移性肾细胞癌亚型的分布:细针穿刺活检与手术病理结果的相关性
Diagn Cytopathol. 2003 Feb;28(2):66-70. doi: 10.1002/dc.10242.
9
[Two Cases of Metastatic and Recurrent Non-Clear Cell Renal Cell Carcinoma Re-Diagnosed as Renal Mucinous Tubular and Spindle Cell Carcinoma during Long-Term Follow-Up].[两例转移性和复发性非透明细胞肾细胞癌在长期随访中重新诊断为肾黏液性管状和梭形细胞癌]
Hinyokika Kiyo. 2018 Mar;64(3):111-115. doi: 10.14989/ActaUrolJap_64_3_111.
10
Tumor-to-tumor metastases: papillary thyroid carcinoma into a clear cell renal cell carcinoma.肿瘤至肿瘤转移:甲状腺乳头状癌转移至肾透明细胞癌
J Otolaryngol Head Neck Surg. 2017 Mar 1;46(1):17. doi: 10.1186/s40463-017-0193-3.

本文引用的文献

1
Renal cell carcinoma: ESMO Clinical Practice Guidelines for diagnosis, treatment and follow-up†.肾细胞癌:ESMO 诊断、治疗及随访临床实践指南†
Ann Oncol. 2019 May 1;30(5):706-720. doi: 10.1093/annonc/mdz056.
2
Systemic Therapy for Metastatic Renal-Cell Carcinoma.转移性肾细胞癌的全身治疗
N Engl J Med. 2017 Jan 26;376(4):354-366. doi: 10.1056/NEJMra1601333.
3
Everolimus Versus Sunitinib Prospective Evaluation in Metastatic Non-Clear Cell Renal Cell Carcinoma (ESPN): A Randomized Multicenter Phase 2 Trial.依维莫司对比舒尼替尼用于转移性非透明细胞肾细胞癌的前瞻性评估(ESPN):一项随机多中心2期试验
Eur Urol. 2016 May;69(5):866-74. doi: 10.1016/j.eururo.2015.10.049. Epub 2015 Nov 26.
4
Renal cell cancer histological subtype distribution differs by race and sex.肾细胞癌的组织学亚型分布因种族和性别而异。
BJU Int. 2016 Feb;117(2):260-5. doi: 10.1111/bju.12950. Epub 2015 Jun 2.
5
Distribution of metastatic sites in renal cell carcinoma: a population-based analysis.肾细胞癌转移部位的分布:一项基于人群的分析。
Ann Oncol. 2012 Apr;23(4):973-80. doi: 10.1093/annonc/mdr362. Epub 2011 Sep 2.
6
Emerging targeted therapies in metastatic renal cell carcinoma.转移性肾细胞癌的新兴靶向治疗
Curr Clin Pharmacol. 2011 Aug;6(3):189-98. doi: 10.2174/157488411797189398.
7
Late simultaneous metastasis of renal cell carcinoma to the submandibular and thyroid glands seven years after radical nephrectomy.根治性肾切除术后七年肾细胞癌同时出现下颌下腺和甲状腺晚期转移。
Int J Otolaryngol. 2010;2010. doi: 10.1155/2010/698014. Epub 2010 Jul 25.
8
Recent progress in the management of advanced renal cell carcinoma.晚期肾细胞癌治疗的最新进展
CA Cancer J Clin. 2007 Mar-Apr;57(2):112-25. doi: 10.3322/canjclin.57.2.112.
9
Treatment outcome for metastatic papillary renal cell carcinoma patients.转移性乳头状肾细胞癌患者的治疗结果。
Cancer. 2006 Dec 1;107(11):2617-21. doi: 10.1002/cncr.22340.
10
Treatment outcome and survival associated with metastatic renal cell carcinoma of non-clear-cell histology.非透明细胞组织学类型的转移性肾细胞癌的治疗结果与生存情况
J Clin Oncol. 2002 May 1;20(9):2376-81. doi: 10.1200/JCO.2002.11.123.