Suppr超能文献

基于亚细胞蛋白质水平对家蚕(鳞翅目)幼虫中肠中与家蚕核型多角体病毒相互作用蛋白的鉴定及功能分析

Identification and Functional Analysis of BmNPV-Interacting Proteins From (Lepidoptera) Larval Midgut Based on Subcellular Protein Levels.

作者信息

Zhang Shang-Zhi, Zhu Lin-Bao, Yu Dong, You Ling-Ling, Wang Jie, Cao Hui-Hua, Liu Ying-Xue, Wang Yu-Ling, Kong Xue, Toufeeq Shahzad, Xu Jia-Ping

机构信息

School of Life Sciences, Anhui Agricultural University, Hefei, China.

Anhui International Joint Research and Developmental Center of Sericulture Resources Utilization, Hefei, China.

出版信息

Front Microbiol. 2020 Jun 30;11:1481. doi: 10.3389/fmicb.2020.01481. eCollection 2020.

Abstract

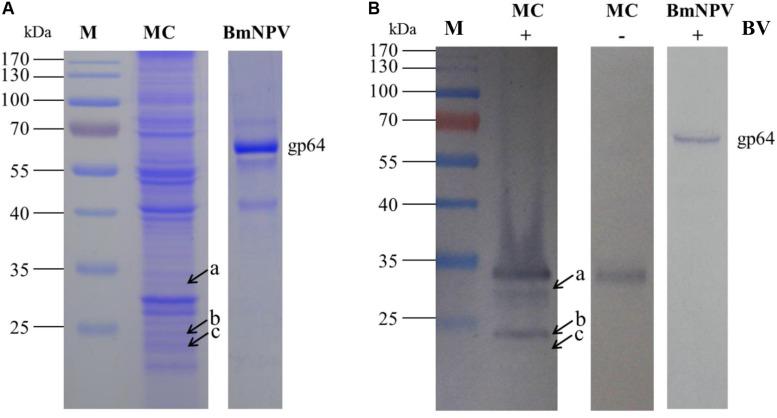
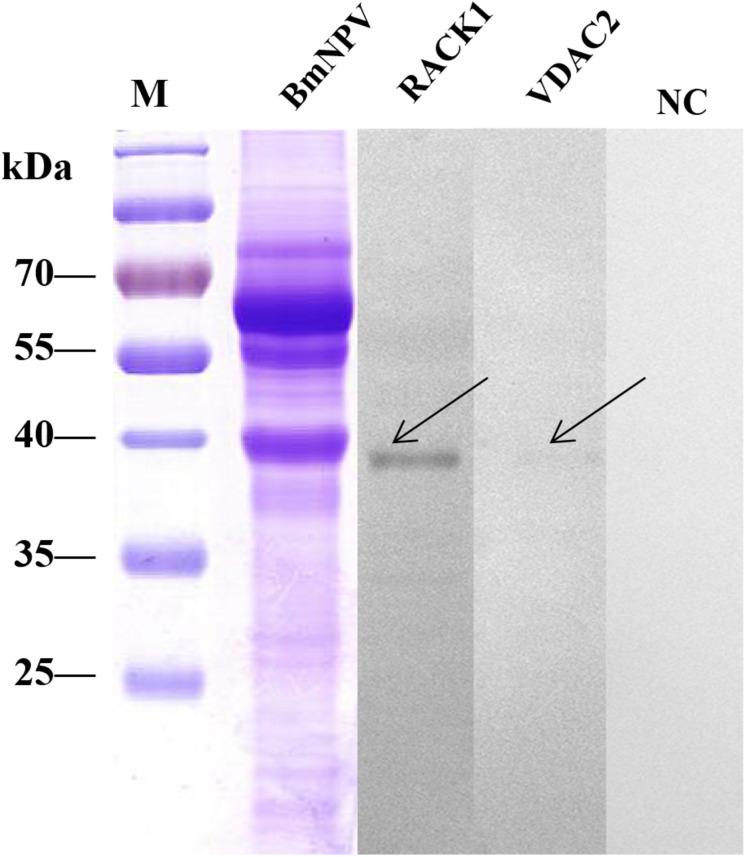
nucleopolyhedrovirus (BmNPV) is a major pathogen causing severe economic loss. However, the molecular mechanism of silkworm resistance to BmNPV and the interactions of this virus with the host during infection remain largely unclear. To explore the virus-binding proteins of silkworms, the midgut subcellular component proteins that may interact with BmNPV were analyzed based on one- and two-dimensional electrophoresis and far-western blotting combined with mass spectrometry (MS). A total of 24 proteins were determined to be specifically bound to budded viruses (BVs) in two subcellular fractions (mitochondria and microsomes). These proteins were involved in viral transportation, energy metabolism, apoptosis and viral propagation, and they responded to BmNPV infection with different expression profiles in different resistant strains. In particular, almost all the identified proteins were downregulated in the A35 strain following BmNPV infection. Interestingly, there were no virus-binding proteins identified in the cytosolic fraction of the silkworm midgut. Two candidate proteins, RACK1 and VDAC2, interacted with BVs, as determined with far-western blotting and reverse far-western blotting. We speculated that the proteins interacting with the virus could either enhance or inhibit the infection of the virus. The data provide comprehensive useful information for further research on the interaction of the host with BmNPV.

摘要

核型多角体病毒(BmNPV)是一种导致严重经济损失的主要病原体。然而,家蚕对BmNPV的抗性分子机制以及该病毒在感染过程中与宿主的相互作用在很大程度上仍不清楚。为了探索家蚕的病毒结合蛋白,基于一维和二维电泳以及远western印迹结合质谱(MS)分析了可能与BmNPV相互作用的中肠亚细胞成分蛋白。在两个亚细胞组分(线粒体和微粒体)中,共确定有24种蛋白与出芽病毒(BVs)特异性结合。这些蛋白参与病毒运输、能量代谢、细胞凋亡和病毒增殖,并且它们在不同抗性品系中对BmNPV感染呈现不同的表达谱响应。特别是,在BmNPV感染后,A35品系中几乎所有已鉴定的蛋白都下调。有趣的是,在家蚕中肠的胞质组分中未鉴定到病毒结合蛋白。通过远western印迹和反向远western印迹确定,两种候选蛋白RACK1和VDAC2与BVs相互作用。我们推测与病毒相互作用的蛋白可能增强或抑制病毒的感染。这些数据为进一步研究宿主与BmNPV的相互作用提供了全面有用的信息。

https://cdn.ncbi.nlm.nih.gov/pmc/blobs/4b3d/7338592/8c5e9cca556b/fmicb-11-01481-g001.jpg

文献AI研究员

20分钟写一篇综述,助力文献阅读效率提升50倍。

立即体验

用中文搜PubMed

大模型驱动的PubMed中文搜索引擎

马上搜索

文档翻译

学术文献翻译模型,支持多种主流文档格式。

立即体验