Suppr超能文献

一例表现为多发肺结节的肺炭末纤维化病例。

A case of pulmonary anthracofibrosis presented as multiple lung nodules.

作者信息

Kim Eun Jin, Choi Keum Ju

机构信息

Department of Internal Medicine, Daegu Catholic University Medical Center, Daegu, South Korea.

Department of Internal Medicine, Daegu Veterans Hospital, Daegu, South Korea.

出版信息

Respir Med Case Rep. 2020 Jul 15;31:101149. doi: 10.1016/j.rmcr.2020.101149. eCollection 2020.

Abstract

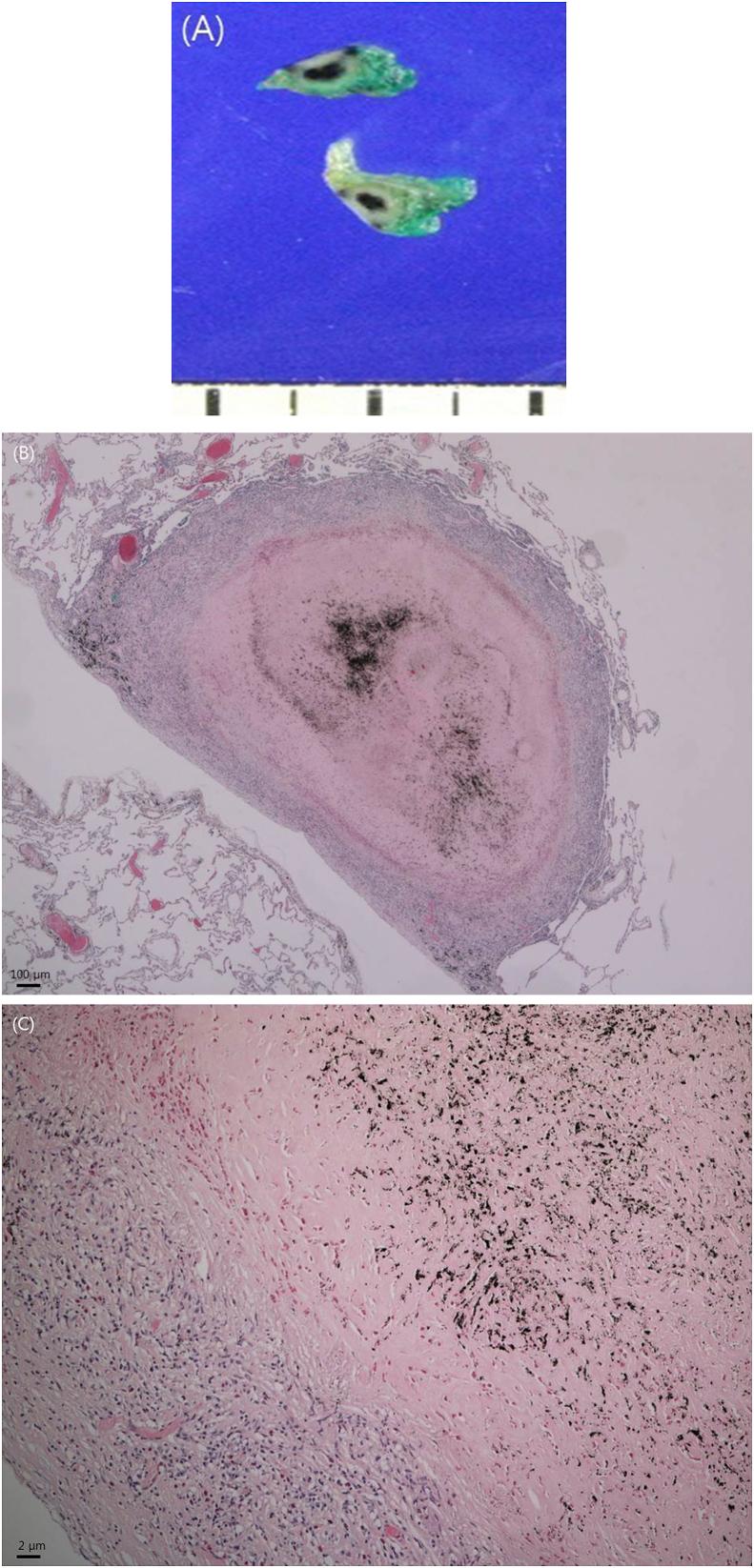
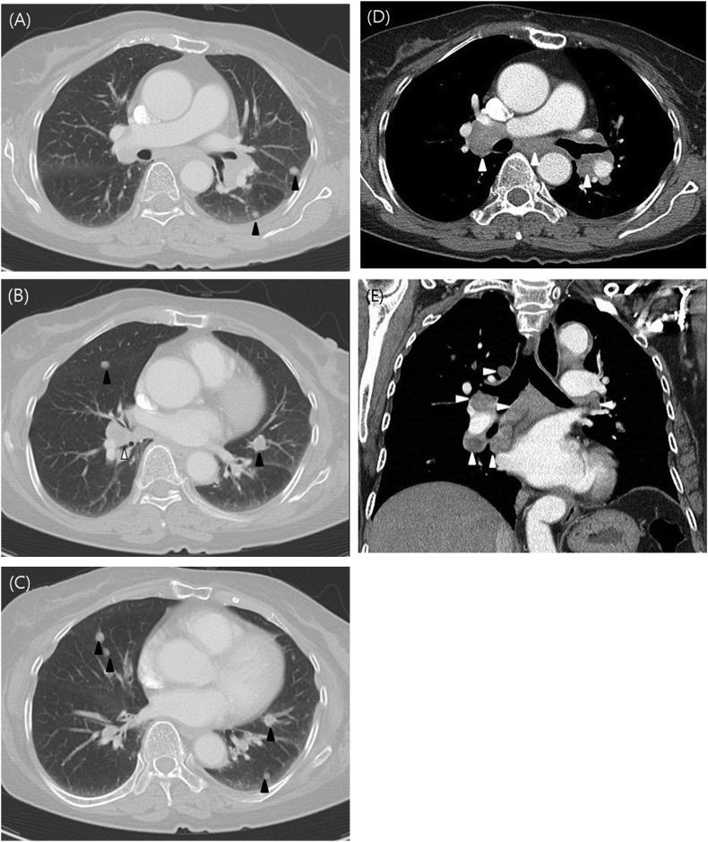
A 73-year-old female living in the rural area presented with chronic cough. She had multiple rounded nodules less than 1cm in size in both lungs, and bilateral mediastinal lymphadenopathy in chest images, which could be confused with metastatic cancer. Bronchoscopy did not show bronchial anthracofibrosis, and positron emission tomography (PET) scan showed F-18 fluorodeoxyglucose (F FDG) uptake. Surgical biopsy histology confirmed that the nodule was anthracofibrosis and the lymph node was reactive hyperplasia. Pulmonary function was accompanied by obstructive ventilatory defects, and clinical symptoms and lung function were improved after the use of inhaled corticosteroid and bronchodilator.

摘要

一名居住在农村地区的73岁女性因慢性咳嗽就诊。胸部影像显示双肺有多个直径小于1cm的圆形结节,双侧纵隔淋巴结肿大,可能会与转移性癌症混淆。支气管镜检查未显示支气管炭末纤维化,正电子发射断层扫描(PET)显示有F-18氟脱氧葡萄糖(FDG)摄取。手术活检组织学证实结节为炭末纤维化,淋巴结为反应性增生。肺功能伴有阻塞性通气功能障碍,使用吸入性糖皮质激素和支气管扩张剂后临床症状和肺功能得到改善。

https://cdn.ncbi.nlm.nih.gov/pmc/blobs/0509/7370325/e2b2be771064/gr1.jpg

文献AI研究员

20分钟写一篇综述,助力文献阅读效率提升50倍。

立即体验

用中文搜PubMed

大模型驱动的PubMed中文搜索引擎

马上搜索

文档翻译

学术文献翻译模型,支持多种主流文档格式。

立即体验