Suppr超能文献

巨大右侧肾上腺嗜铬细胞瘤开放肾上腺切除术中早期肾上腺动脉结扎的两步技术:三例报告

Two-step technique of early adrenal artery ligation in open adrenalectomy of giant right adrenal pheochromocytomas: Three case reports.

作者信息

Ochi Atsuhiko, Fan Bo, Kimura Natsuo, Watanabe Hisaki, Toki Sari, Fukuokaya Wataru, Okada Daigo, Aikawa Koichi, Huang Tingwen, Suzuki Koichiro, Shiga Naoki, Kitagawa Yasuhide, Abe Hirokazu

机构信息

Department of Urology Kameda Medical Center Kamogawa Chiba Japan.

Department of Urology Komatsu Municipal Hospital Komatsu, Ishikawa Japan.

出版信息

IJU Case Rep. 2018 Nov 12;2(1):15-18. doi: 10.1002/iju5.12027. eCollection 2019 Jan.

Abstract

INTRODUCTION

Surgical manipulation of a pheochromocytoma carries the risk of releasing catecholamines into bloodstream leading to severe intraoperative hypertension.

CASE PRESENTATION

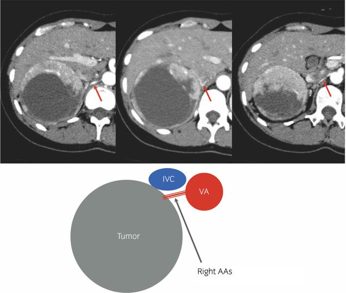
We present three patients with right adrenal pheochromocytoma over 10 cm diameter: a 40-year-old woman, 63-year-old man, and 66-year-old woman. They were diagnosed by 123I-MIBG scintigraphy and received preoperative antihypertensive treatment with 16 mg/day of doxazosin. Open adrenalectomy was performed with early right adrenal artery ligation between the inferior vena cava and ventral aorta (Step 1) as well as between the tumor and upper pole of the right kidney (Step 2). There was no severe intraoperative hypertension, and no recurrence was observed over 33 months, postoperatively.

CONCLUSION

Early adrenal artery ligation may stop tumor blood supply and significantly reduce the catecholamine release. Our technique was thought to be safe and useful for preventing severe intraoperative hypertension in giant right adrenal pheochromocytoma.

摘要

引言

嗜铬细胞瘤的手术操作存在将儿茶酚胺释放到血液中导致严重术中高血压的风险。

病例报告

我们报告了3例直径超过10厘米的右肾上腺嗜铬细胞瘤患者:一名40岁女性、一名63岁男性和一名66岁女性。他们通过123I-MIBG闪烁显像确诊,并接受了每日16毫克多沙唑嗪的术前降压治疗。采用开放肾上腺切除术,早期在腔静脉和腹主动脉之间结扎右肾上腺动脉(步骤1)以及在肿瘤和右肾上极之间结扎(步骤2)。术中未出现严重高血压,术后33个月未观察到复发。

结论

早期肾上腺动脉结扎可能会阻断肿瘤血供并显著减少儿茶酚胺释放。我们的技术被认为对于预防巨大右肾上腺嗜铬细胞瘤术中严重高血压是安全且有用的。

https://cdn.ncbi.nlm.nih.gov/pmc/blobs/aefb/7292064/bf7c59ba8c39/IJU5-2-15-g001.jpg

文献检索

告别复杂PubMed语法,用中文像聊天一样搜索,搜遍4000万医学文献。AI智能推荐,让科研检索更轻松。

立即免费搜索

文件翻译

保留排版,准确专业,支持PDF/Word/PPT等文件格式,支持 12+语言互译。

免费翻译文档

深度研究

AI帮你快速写综述,25分钟生成高质量综述,智能提取关键信息,辅助科研写作。

立即免费体验