Suppr超能文献

用于预测前列腺癌根治性前列腺切除术中不良病理的包含筛状形态的列线图的诊断性能。

Diagnostic performance of a nomogram incorporating cribriform morphology for the prediction of adverse pathology in prostate cancer at radical prostatectomy.

作者信息

Wang Baojun, Gao Jie, Zhang Qing, Fu Yao, Liu Guangxiang, Zhang Chengwei, Wei Wang, Huang Haifeng, Shi Jiong, Li Danyan, Guo Hongqian

机构信息

Department of Urology, Nanjing Drum Tower Hospital, The Affiliated Hospital of Nanjing University Medical School, Nanjing, Jiangsu 210008, P.R. China.

Department of Pathology, Nanjing Drum Tower Hospital, The Affiliated Hospital of Nanjing University Medical School, Nanjing, Jiangsu 210008, P.R. China.

出版信息

Oncol Lett. 2020 Sep;20(3):2797-2805. doi: 10.3892/ol.2020.11861. Epub 2020 Jul 10.

Abstract

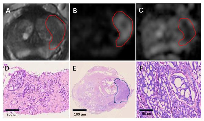
The aim of the present study was to develop a novel nomogram that incorporated clinical factors, imaging parameters and biopsy pathological factors (including cribriform morphology) to predict adverse pathology in prostate cancer (PCa). A total of 223 patients with PCa, who had undergone preoperative multi-parametric magnetic resonance imaging and had a biopsy of Gleason pattern (GP) 4, absence of GP 5 and pure Grade Group (GG) 3 [Gleason score (GS) 3+4, GS 4+3, GS 4+4], were retrospectively enrolled onto the study. The contribution of GG to the biopsy and Prostate Imaging Reporting and Data System (PI-RADS) score for PCa harboring adverse pathology were analyzed. Univariate and multivariate logistic regression analyses were performed to determine significant pathology predictors of adverse pathology for nomogram development. The nomogram was internally validated using bootstrapping with 1,000 iterations. The diagnostic performance of the nomogram was analyzed by receiver operating characteristics (ROC) analysis and decision curve analysis (DCA). A higher biopsy GG and PI-RADS score were associated with an increased likelihood of adverse pathology. Prostate specific antigen density (PSAD), biopsy GG, cribriform morphology on biopsy and PI-RADS score were significant predictors and were included in the nomogram. The ROC area under the curve of the nomogram was 0.88 (95% confidence interval, 0.84-0.91), with a high specificity (0.91) and moderate sensitivity (0.72). The novel nomogram was shown to have a higher net benefit for the prediction of adverse pathology in PCa, compared with any individual factors determined by DCA. Overall, a novel nomogram incorporating PSAD, PI-RADS score, biopsy GG and cribriform morphology on biopsy was shown to perform well in the prediction of PCa harboring adverse pathology at the time of radical prostatectomy.

摘要

本研究的目的是开发一种新型列线图,该列线图纳入临床因素、影像参数和活检病理因素(包括筛状形态),以预测前列腺癌(PCa)的不良病理情况。共有223例PCa患者被回顾性纳入本研究,这些患者均接受了术前多参数磁共振成像检查,且活检 Gleason 模式(GP)为4级,无GP 5级且为单纯3级组(GG)[Gleason评分(GS)3+4、GS 4+3、GS 4+4]。分析了GG对活检以及前列腺影像报告和数据系统(PI-RADS)评分在具有不良病理情况的PCa中的作用。进行单因素和多因素逻辑回归分析,以确定用于列线图开发的不良病理情况的显著病理预测因素。使用1000次迭代的自举法对列线图进行内部验证。通过受试者操作特征(ROC)分析和决策曲线分析(DCA)分析列线图的诊断性能。较高的活检GG和PI-RADS评分与不良病理情况的可能性增加相关。前列腺特异性抗原密度(PSAD)、活检GG、活检时的筛状形态和PI-RADS评分是显著预测因素,并被纳入列线图。列线图的ROC曲线下面积为0.88(95%置信区间,0.84-0.91),具有高特异性(0.91)和中等敏感性(0.72)。与DCA确定的任何单个因素相比,新型列线图在预测PCa的不良病理情况方面显示出更高的净效益。总体而言,一种纳入PSAD、PI-RADS评分、活检GG和活检时筛状形态的新型列线图在预测根治性前列腺切除术时具有不良病理情况的PCa方面表现良好。

https://cdn.ncbi.nlm.nih.gov/pmc/blobs/ab5a/7400272/1891799a80fb/ol-20-03-2797-g00.jpg

文献AI研究员

20分钟写一篇综述,助力文献阅读效率提升50倍。

立即体验

用中文搜PubMed

大模型驱动的PubMed中文搜索引擎

马上搜索

文档翻译

学术文献翻译模型,支持多种主流文档格式。

立即体验