Suppr超能文献

COVID-19尸检初步证据:内皮损伤与凝血因子VIII过度表达

Preliminary Post-Mortem COVID-19 Evidence of Endothelial Injury and Factor VIII Hyperexpression.

作者信息

Cipolloni Luigi, Sessa Francesco, Bertozzi Giuseppe, Baldari Benedetta, Cantatore Santina, Testi Roberto, D'Errico Stefano, Di Mizio Giulio, Asmundo Alessio, Castorina Sergio, Salerno Monica, Pomara Cristoforo

机构信息

Department of Clinical and Experimental Medicine, University of Foggia, 71122 Foggia, Italy.

Department of Anatomical, Histological, Forensic and Orthopedic Sciences, Sapienza University of Rome, 00186 Rome, Italy.

出版信息

Diagnostics (Basel). 2020 Aug 9;10(8):575. doi: 10.3390/diagnostics10080575.

Abstract

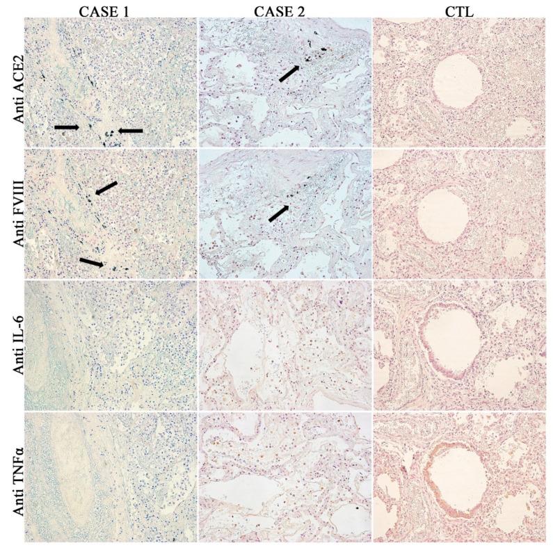
(1) Background: The current outbreak of COVID-19 infection is an ongoing challenge and a major threat to public health that requires surveillance, prompt diagnosis, as well as research efforts to understand the viral pathogenesis. Despite this, to date, very few studies have been performed concerning autoptic specimens. Therefore, this study aimed: (i) to reiterate the importance of the autoptic examination, the only method able to precisely define the cause of death; (ii) to provide a complete post-mortem histological and immunohistochemical investigation pattern capable of diagnosing death from COVID-19 infection. (2) Methods: In this paper, the lung examination of two subjects who died from COVID-19 are discussed, comparing the obtained data with those of the control, a newborn who died from pneumonia in the same pandemic period. (3) Results: The results of the present study suggest that COVID-19 infection can cause different forms of acute respiratory distress syndrome (ARDS), due to diffuse alveolar damage and diffuse endothelial damage. Nevertheless, different patterns of cellular and cytokine expression are associated with anti-COVID-19 antibody positivity, compared to the control case. Moreover, in both case studies, it is interesting to note that COVID-19, ACE2 and FVIII positivity was detected in the same fields. (4) Conclusions: COVID-19 infection has been initially classified as exclusively interstitial pneumonia with varying degrees of severity. Subsequently, vascular biomarkers showed that it can also be considered a vascular disease. The data on Factor VIII discussed in this paper, although preliminary and limited in number, seem to suggest that the thrombogenicity of Sars-CoV2 infection might be linked to widespread endothelial damage. In this way, it would be very important to investigate the pro-coagulative substrate both in all subjects who died and in COVID-19 survivors. This is because it may be hypothesized that the different patterns with which the pathology is expressed could depend on different individual susceptibility to infection or a different personal genetic-clinical background. In light of these findings, it would be important to perform more post-mortem investigations in order to clarify all aspects of the vascular hypothesis in the COVID-19 infection.

摘要

(1)背景:当前新冠病毒感染的爆发是一项持续的挑战,对公共卫生构成重大威胁,需要进行监测、及时诊断以及开展研究以了解病毒发病机制。尽管如此,迄今为止,针对尸检标本的研究非常少。因此,本研究旨在:(i)重申尸检检查的重要性,这是唯一能够精确确定死因的方法;(ii)提供一套完整的尸检组织学和免疫组织化学研究模式,用于诊断死于新冠病毒感染的病例。(2)方法:本文讨论了两名死于新冠病毒感染患者的肺部检查情况,并将所得数据与同期死于肺炎的一名新生儿对照病例的数据进行比较。(3)结果:本研究结果表明,新冠病毒感染可因弥漫性肺泡损伤和弥漫性内皮损伤导致不同形式的急性呼吸窘迫综合征(ARDS)。然而,与对照病例相比,不同的细胞和细胞因子表达模式与抗新冠病毒抗体阳性相关。此外,在两个病例研究中,值得注意的是在相同区域检测到了新冠病毒、血管紧张素转换酶2(ACE2)和凝血因子VIII(FVIII)阳性。(4)结论:新冠病毒感染最初被归类为仅为不同严重程度的间质性肺炎。随后,血管生物标志物表明它也可被视为一种血管疾病。本文讨论的关于凝血因子VIII的数据虽然初步且数量有限,但似乎表明新冠病毒感染的血栓形成性可能与广泛的内皮损伤有关。这样一来,在所有死亡患者以及新冠病毒感染幸存者中研究促凝血底物非常重要。这是因为可以推测病理表现的不同模式可能取决于个体对感染的不同易感性或不同的个人遗传 - 临床背景。鉴于这些发现,进行更多的尸检调查以阐明新冠病毒感染中血管假说的各个方面非常重要。

https://cdn.ncbi.nlm.nih.gov/pmc/blobs/209b/7460315/b5c996159ab7/diagnostics-10-00575-g001.jpg

文献AI研究员

20分钟写一篇综述,助力文献阅读效率提升50倍。

立即体验

用中文搜PubMed

大模型驱动的PubMed中文搜索引擎

马上搜索

文档翻译

学术文献翻译模型,支持多种主流文档格式。

立即体验