• 文献检索
  • 文档翻译
  • 深度研究
  • 学术资讯
  • Suppr Zotero 插件Zotero 插件
  • 邀请有礼
  • 套餐&价格
  • 历史记录
应用&插件
Suppr Zotero 插件Zotero 插件浏览器插件Mac 客户端Windows 客户端微信小程序
定价
高级版会员购买积分包购买API积分包
服务
文献检索文档翻译深度研究API 文档MCP 服务
关于我们
关于 Suppr公司介绍联系我们用户协议隐私条款
关注我们

Suppr 超能文献

核心技术专利:CN118964589B侵权必究
粤ICP备2023148730 号-1Suppr @ 2026

文献检索

告别复杂PubMed语法,用中文像聊天一样搜索,搜遍4000万医学文献。AI智能推荐,让科研检索更轻松。

立即免费搜索

文件翻译

保留排版,准确专业,支持PDF/Word/PPT等文件格式,支持 12+语言互译。

免费翻译文档

深度研究

AI帮你快速写综述,25分钟生成高质量综述,智能提取关键信息,辅助科研写作。

立即免费体验

无名指蛋白180与非小细胞肺癌患者的生物学行为及预后相关。

Ring finger protein 180 is associated with biological behavior and prognosis in patients with non-small cell lung cancer.

作者信息

Liu Honggen, Yang Peiying, Li Xiaojiang, Jia Yingjie

机构信息

Department of Oncology, First Teaching Hospital of Tianjin University of Traditional Chinese Medicine, Tianjin 300000, P.R. China.

出版信息

Oncol Lett. 2020 Oct;20(4):35. doi: 10.3892/ol.2020.11898. Epub 2020 Jul 22.

DOI:10.3892/ol.2020.11898
PMID:32802159
原文链接:https://pmc.ncbi.nlm.nih.gov/articles/PMC7412726/
Abstract

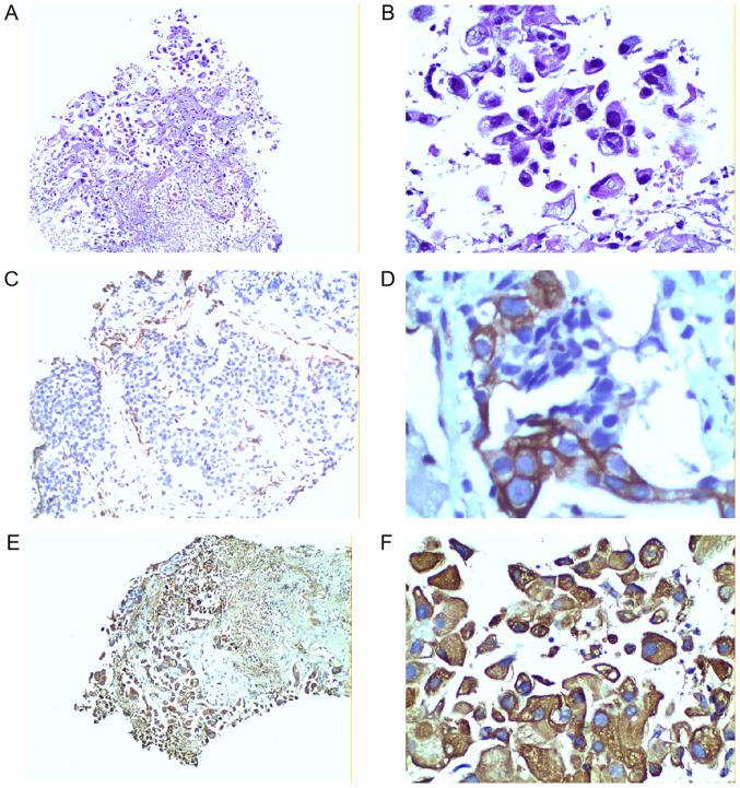
There are few studies on the role of ring finger protein (RNF)180 in non-small cell lung cancer (NSCLC). The present study investigated the expression of RNF180 in NSCLC and its associations with the clinical factors and prognosis of NSCLC. The mRNA and protein expression levels of RNF180 were detected via reverse transcription-quantitative PCR and western blotting. Methylation-specific PCR (MSP) analysis was utilized to detect the methylation of RNF180. RNF180 expression levels were analyzed via immunohistochemistry. The protein and mRNA expression levels of RNF180 were lower in NSCLC cell lines compared with in the non-tumor cell line. Immunohistochemistry revealed that 64 patients that were negative for RNF180, while MSP detection analysis demonstrated that 60 patients exhibited RNF180 promoter methylation. The methylation status of RNF180 was significantly associated with RNF180 expression level. Among all factors evaluated, logistic regression analysis indicated that only T stage was significantly associated with RNF180 expression. Cox multivariate analysis demonstrated that RNF180 expression was an independent predictor of overall survival in patients with NSCLC. Methylation in the promoter of RNF180 was shown to reduce its expression levels. In summary, low RNF180 expression levels were associated with poor biological behaviors, thus RNF180 expression level may be used as a clinical marker to predict the prognosis of patients with NSCLC.

摘要

关于无名指蛋白(RNF)180在非小细胞肺癌(NSCLC)中的作用的研究较少。本研究调查了RNF180在NSCLC中的表达及其与NSCLC临床因素和预后的关系。通过逆转录定量PCR和蛋白质印迹法检测RNF180的mRNA和蛋白质表达水平。利用甲基化特异性PCR(MSP)分析检测RNF180的甲基化情况。通过免疫组织化学分析RNF180的表达水平。与非肿瘤细胞系相比,NSCLC细胞系中RNF180的蛋白质和mRNA表达水平较低。免疫组织化学显示,64例患者RNF180呈阴性,而MSP检测分析表明,60例患者存在RNF180启动子甲基化。RNF180的甲基化状态与RNF180表达水平显著相关。在所有评估因素中,逻辑回归分析表明只有T分期与RNF180表达显著相关。Cox多因素分析表明,RNF180表达是NSCLC患者总生存的独立预测因素。RNF180启动子甲基化可降低其表达水平。总之,RNF180低表达水平与不良生物学行为相关,因此RNF180表达水平可作为预测NSCLC患者预后的临床标志物。

https://cdn.ncbi.nlm.nih.gov/pmc/blobs/2b5a/7412726/74388910d87d/ol-20-04-11898-g03.jpg
https://cdn.ncbi.nlm.nih.gov/pmc/blobs/2b5a/7412726/46fed3aff4f1/ol-20-04-11898-g00.jpg
https://cdn.ncbi.nlm.nih.gov/pmc/blobs/2b5a/7412726/50d8c460bd03/ol-20-04-11898-g01.jpg
https://cdn.ncbi.nlm.nih.gov/pmc/blobs/2b5a/7412726/8460f5627ae5/ol-20-04-11898-g02.jpg
https://cdn.ncbi.nlm.nih.gov/pmc/blobs/2b5a/7412726/74388910d87d/ol-20-04-11898-g03.jpg
https://cdn.ncbi.nlm.nih.gov/pmc/blobs/2b5a/7412726/46fed3aff4f1/ol-20-04-11898-g00.jpg
https://cdn.ncbi.nlm.nih.gov/pmc/blobs/2b5a/7412726/50d8c460bd03/ol-20-04-11898-g01.jpg
https://cdn.ncbi.nlm.nih.gov/pmc/blobs/2b5a/7412726/8460f5627ae5/ol-20-04-11898-g02.jpg
https://cdn.ncbi.nlm.nih.gov/pmc/blobs/2b5a/7412726/74388910d87d/ol-20-04-11898-g03.jpg

相似文献

1
Ring finger protein 180 is associated with biological behavior and prognosis in patients with non-small cell lung cancer.无名指蛋白180与非小细胞肺癌患者的生物学行为及预后相关。
Oncol Lett. 2020 Oct;20(4):35. doi: 10.3892/ol.2020.11898. Epub 2020 Jul 22.
2
Ring finger protein 180 suppresses cell proliferation and energy metabolism of non-small cell lung cancer through downregulating C-myc.环指蛋白 180 通过下调 C-myc 抑制非小细胞肺癌细胞增殖和能量代谢。
World J Surg Oncol. 2022 May 21;20(1):162. doi: 10.1186/s12957-022-02599-x.
3
Identification of High-Frequency Methylation Sites in RNF180 Promoter Region Affecting Expression and Their Relationship with Prognosis of Gastric Cancer.RNF180启动子区域影响表达的高频甲基化位点的鉴定及其与胃癌预后的关系
Cancer Manag Res. 2020 May 13;12:3389-3399. doi: 10.2147/CMAR.S246995. eCollection 2020.
4
Promoter methylation of RNF180 is associated with H.pylori infection and serves as a marker for gastric cancer and atrophic gastritis.RNF180的启动子甲基化与幽门螺杆菌感染相关,并可作为胃癌和萎缩性胃炎的一个标志物。
Oncotarget. 2016 Apr 26;7(17):24800-9. doi: 10.18632/oncotarget.8523.
5
Evaluating the clinical feasibility: The direct bisulfite genomic sequencing for examination of methylated status of E3 ubiquitin ligase RNF180 DNA promoter to predict the survival of gastric cancer.评估临床可行性:采用直接亚硫酸氢盐基因组测序法检测E3泛素连接酶RNF180 DNA启动子的甲基化状态以预测胃癌患者的生存期。
Cancer Biomark. 2015;15(3):259-65. doi: 10.3233/CBM-150466.
6
Characterization of the gene structure, functional significance, and clinical application of RNF180, a novel gene in gastric cancer.RNF180 基因结构、功能意义及其在胃癌中的临床应用的研究
Cancer. 2012 Feb 15;118(4):947-59. doi: 10.1002/cncr.26189. Epub 2011 Jun 29.
7
Mediation of the malignant biological characteristics of gastric cancer cells by the methylated CpG islands in RNF180 DNA promoter.RNF180基因DNA启动子区甲基化CpG岛介导胃癌细胞的恶性生物学特性
Oncotarget. 2016 Jul 12;7(28):43461-43474. doi: 10.18632/oncotarget.9494.
8
Detection of aberrant promoter methylation of RNF180, DAPK1 and SFRP2 in plasma DNA of patients with gastric cancer.胃癌患者血浆DNA中RNF180、DAPK1和SFRP2异常启动子甲基化的检测
Oncol Lett. 2014 Oct;8(4):1745-1750. doi: 10.3892/ol.2014.2410. Epub 2014 Aug 4.
9
Down-regulation of PAX6 by promoter methylation is associated with poor prognosis in non small cell lung cancer.PAX6通过启动子甲基化下调与非小细胞肺癌的不良预后相关。
Int J Clin Exp Pathol. 2015 Sep 1;8(9):11452-7. eCollection 2015.
10
Critical role of deltaDNMT3B4/2 in regulating RASSF1A promoter-specific DNA methylation in non-small cell lung cancer.δDNMT3B4/2在非小细胞肺癌中调控RASSF1A启动子特异性DNA甲基化的关键作用
Chin Med J (Engl). 2008 Sep 5;121(17):1712-21.

引用本文的文献

1
RNF180 weakened the lipid droplet formation and subsequent chemoresistance by destabilizing ACC1 and ACLY in esophageal cancer.RNF180通过使食管癌中的ACC1和ACLY不稳定,削弱了脂滴形成及随后的化学抗性。
Front Pharmacol. 2025 Apr 22;16:1525431. doi: 10.3389/fphar.2025.1525431. eCollection 2025.
2
Zooming into the structure-function of RING finger proteins for anti-cancer therapeutic applications.深入研究环状指蛋白的结构功能以用于抗癌治疗应用。
Am J Cancer Res. 2023 Jul 15;13(7):2773-2789. eCollection 2023.
3
RING finger gene 180 inhibits osteosarcoma progression through regulating chromobox homolog 4 ubiquitination.

本文引用的文献

1
Identification of High-Frequency Methylation Sites in RNF180 Promoter Region Affecting Expression and Their Relationship with Prognosis of Gastric Cancer.RNF180启动子区域影响表达的高频甲基化位点的鉴定及其与胃癌预后的关系
Cancer Manag Res. 2020 May 13;12:3389-3399. doi: 10.2147/CMAR.S246995. eCollection 2020.
2
CYFRA21-1 tests in the diagnosis of non-small cell lung cancer: A meta-analysis.细胞角蛋白 19 片段 21-1 检测在非小细胞肺癌诊断中的应用:一项荟萃分析。
Int J Biol Markers. 2019 Sep;34(3):251-261. doi: 10.1177/1724600819868234. Epub 2019 Aug 22.
3
Prognostic value of site-specific metastases in lung cancer: A population based study.
环状指基因 180 通过调节同源盒蛋白 4 的泛素化抑制骨肉瘤进展。
Cell Cycle. 2023 May;22(10):1246-1258. doi: 10.1080/15384101.2023.2205201. Epub 2023 Apr 24.
4
Diagnostic value of plasma RNF180 gene methylation for gastric cancer: A systematic review and meta-analysis.血浆RNF180基因甲基化对胃癌的诊断价值:一项系统评价和荟萃分析。
Front Oncol. 2023 Jan 10;12:1095101. doi: 10.3389/fonc.2022.1095101. eCollection 2022.
5
Plasma Methylated RNF180 for Noninvasive Diagnosis of Gastric Cancer.血浆甲基化 RNF180 用于胃癌的无创诊断。
Biomed Res Int. 2022 Oct 5;2022:6548945. doi: 10.1155/2022/6548945. eCollection 2022.
6
A Ubiquitin-Proteasome Gene Signature for Predicting Prognosis in Patients With Lung Adenocarcinoma.一种用于预测肺腺癌患者预后的泛素-蛋白酶体基因特征。
Front Genet. 2022 May 31;13:893511. doi: 10.3389/fgene.2022.893511. eCollection 2022.
7
Ring finger protein 180 suppresses cell proliferation and energy metabolism of non-small cell lung cancer through downregulating C-myc.环指蛋白 180 通过下调 C-myc 抑制非小细胞肺癌细胞增殖和能量代谢。
World J Surg Oncol. 2022 May 21;20(1):162. doi: 10.1186/s12957-022-02599-x.
肺癌特定部位转移的预后价值:一项基于人群的研究。
J Cancer. 2019 Jun 2;10(14):3079-3086. doi: 10.7150/jca.30463. eCollection 2019.
4
The descriptive epidemiology of lung cancer and tobacco control: a global overview 2018.2018 年全球肺癌描述性流行病学和烟草控制概述。
Salud Publica Mex. 2019 May-Jun;61(3):219-229. doi: 10.21149/10140.
5
Role of epigenetics in transformation of inflammation into colorectal cancer.表观遗传学在炎症向结直肠癌转化中的作用。
World J Gastroenterol. 2019 Jun 21;25(23):2863-2877. doi: 10.3748/wjg.v25.i23.2863.
6
Male obesity effects on sperm and next-generation cord blood DNA methylation.男性肥胖对精子和下一代脐血 DNA 甲基化的影响。
PLoS One. 2019 Jun 27;14(6):e0218615. doi: 10.1371/journal.pone.0218615. eCollection 2019.
7
DNA methylation changes following DNA damage in prostate cancer cells.前列腺癌细胞中 DNA 损伤后的 DNA 甲基化变化。
Epigenetics. 2019 Oct;14(10):989-1002. doi: 10.1080/15592294.2019.1629231. Epub 2019 Jun 17.
8
ZCCHC10 suppresses lung cancer progression and cisplatin resistance by attenuating MDM2-mediated p53 ubiquitination and degradation.ZCCHC10 通过抑制 MDM2 介导的 p53 泛素化和降解来抑制肺癌的进展和顺铂耐药性。
Cell Death Dis. 2019 May 28;10(6):414. doi: 10.1038/s41419-019-1635-9.
9
The biomarkers and potential pathogenesis of lung cancer related cerebral hemorrhage.肺癌相关性脑出血的生物标志物及潜在发病机制
Medicine (Baltimore). 2019 May;98(20):e15693. doi: 10.1097/MD.0000000000015693.
10
Opportunities and limitations of reduced representation bisulfite sequencing in plant ecological epigenomics.植物生态表观遗传学中简化代表性亚硫酸氢盐测序的机遇与限制。
New Phytol. 2019 Jan;221(2):738-742. doi: 10.1111/nph.15388. Epub 2018 Aug 19.