Suppr超能文献

双能 CT 腕部韧带胶原密度成像可显示 CPPD 患者的组织重塑:来自临床队列的初步结果。

Dual-energy CT collagen density mapping of wrist ligaments reveals tissue remodeling in CPPD patients: first results from a clinical cohort.

机构信息

Department of Radiology, Charité-Universitätsmedizin, Charitéplatz 1, 10117, Berlin, Germany.

Department of Rheumatology and Clinical Immunology, Charité-Universitätsmedizin, Charitéplatz 1, Berlin, 10117, Germany.

出版信息

Skeletal Radiol. 2021 Feb;50(2):417-423. doi: 10.1007/s00256-020-03580-z. Epub 2020 Aug 15.

Abstract

OBJECTIVES

To evaluate differences in collagen density as detected by dual-energy computed tomography (DECT) of wrist ligaments between patients with calcium pyrophosphate-dihydrate deposition disease (CPPD) and a control group in order to gain insight into changes of the extracellular matrix in response to crystal deposition.

MATERIALS AND METHODS

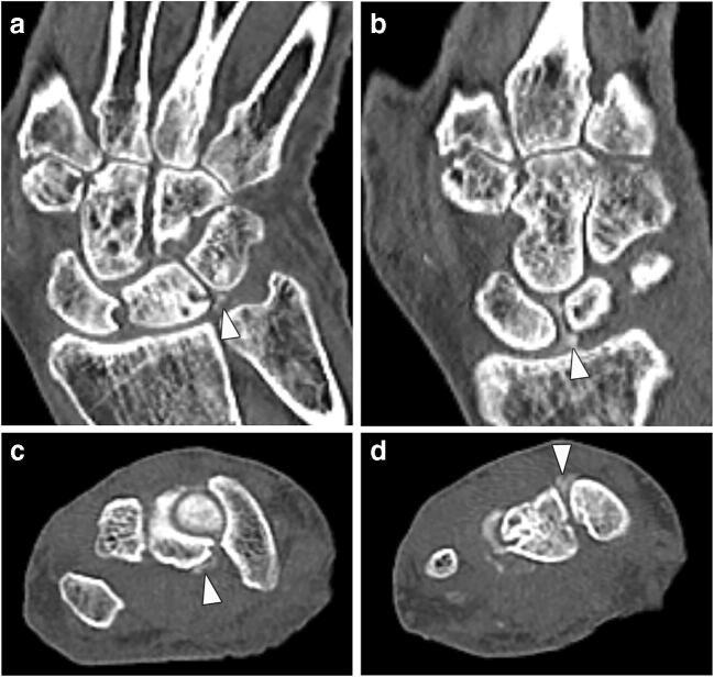
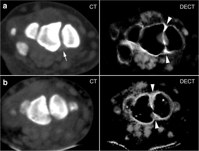
This retrospective study included 28 patients (18 with CPPD, 10 controls) who underwent DECT of the wrist. Collagen density maps were reconstructed from the DECT datasets and used to measure densities in regions of interest (ROIs) placed in the scapholunate (SL) ligament (dorsal, palmar, proximal), lunotriquetral (LT) ligament, and extensor carpi radialis (ECR) tendon, (n = 260 measurements). The presence of calcifications on standard CT images in these regions was assessed by a blinded reader. Densities were compared with nonparametric tests, and linear regression analysis was performed to investigate the impact of age, sex, and CT- detected calcium deposition on collagen density.

RESULTS

Collagen density in the SL ligament was significantly higher in CPPD patients than in controls (overall mean: 265.4 ± 32.1 HU vs. 196.3 ± 33.8 HU; p < 0.001). In the ECR tendon, collagen densities did not differ significantly (p = 0.672): 161.3 ± 20.1 HU in CPPD vs. 163.6 ± 12.0 HU in controls. Regression analysis showed that diagnosis, but not age or calcification, had a significant impact on collagen density.

CONCLUSION

Collagen density of the SL ligament is significantly higher in CPPD patients than in control patients. Further research is needed to understand these changes in the extracellular matrix of ligaments in CPPD.

摘要

目的

通过双能 CT(DECT)评估焦磷酸钙二水合物沉积病(CPPD)患者腕部韧带的胶原密度与对照组之间的差异,以期深入了解细胞外基质对晶体沉积的反应变化。

材料和方法

本回顾性研究纳入了 28 例患者(18 例 CPPD,10 例对照组),均行腕部 DECT 检查。从 DECT 数据集中重建胶原密度图,并用于测量放置在舟月(SL)韧带(背侧、掌侧、近侧)、月三角(LT)韧带和桡侧腕伸肌(ECR)肌腱的感兴趣区(ROI)中的密度(n=260 个测量值)。由一位盲法读者评估这些区域标准 CT 图像上的钙化情况。使用非参数检验比较密度,进行线性回归分析以研究年龄、性别和 CT 检测到的钙沉积对胶原密度的影响。

结果

CPPD 患者的 SL 韧带胶原密度明显高于对照组(总体平均值:265.4±32.1 HU 比 196.3±33.8 HU;p<0.001)。ECR 肌腱的胶原密度无显著差异(p=0.672):CPPD 患者为 161.3±20.1 HU,对照组为 163.6±12.0 HU。回归分析显示,诊断而非年龄或钙化对胶原密度有显著影响。

结论

CPPD 患者的 SL 韧带胶原密度明显高于对照组患者。需要进一步研究以了解 CPPD 中韧带细胞外基质的这些变化。

https://cdn.ncbi.nlm.nih.gov/pmc/blobs/47b7/8189950/019c6bfbddcd/256_2020_3580_Fig1_HTML.jpg

文献AI研究员

20分钟写一篇综述,助力文献阅读效率提升50倍。

立即体验

用中文搜PubMed

大模型驱动的PubMed中文搜索引擎

马上搜索

文档翻译

学术文献翻译模型,支持多种主流文档格式。

立即体验