Suppr超能文献

无症状患者的大气道阻塞性咽后脂肪瘤:一例报告

Large airway-obstructing retropharyngeal lipoma in an asymptomatic patient: a case report.

作者信息

Ehlers Scott A, Bozanich John M, Arashlow Mehrnaz Tahmasbi, Liang Hui, Nair Madhu K

机构信息

Division of Oral and Maxillofacial Radiology, Department of Diagnostic Sciences, Texas A&M College of Dentistry, 3302 Gaston Avenue, Dallas, TX, 75246-0677, USA.

Department of Periodontics, Texas A&M College of Dentistry, Dallas, TX, USA.

出版信息

Int J Implant Dent. 2020 Aug 15;6(1):38. doi: 10.1186/s40729-020-00237-3.

Abstract

BACKGROUND

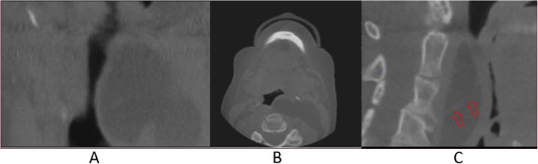
Lipomas are common benign mesenchymal tumors that appear in the head and neck region in approximately 25% of cases where they are noted. Lipomas of the airway region are exceedingly rare, accounting for less than 1% of airway obstruction tumors. Correlation of radiographic findings from cone beam computed tomography (CBCT), multi-detector computed tomography (MDCT), and magnetic resonance imaging (MRI) of a rare retropharyngeal lipoma has not been previously reported. CBCT studies acquired for implant and/or other diagnostic purposes may be the first line of detection as an incidental finding.

CASE PRESENTATION

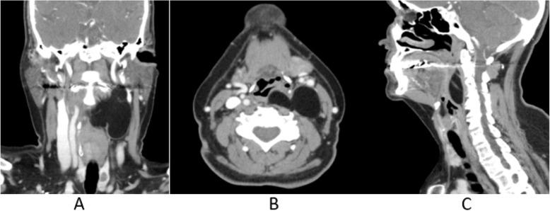
A 66-year-old female presented for a pre-implant CBCT with no history of other complaints or signs/symptoms. CBCT imaging depicts a large, well-defined, low-attenuation/soft tissue density lesion with an undulating appearance extending from the posterior left pharyngeal wall and occluding two-thirds of the airway from C2 to C4. The lesion extends laterally into the left parapharyngeal space and inferiorly beyond the field of view of the study. Evidence of faint internal septations was noted. The patient was immediately referred for an ENT consult. Laryngoscopy, MRI, and contrast-enhanced MDCT imaging were conducted to determine the full extent and nature of the lesion, as well as to potentially plan for biopsy and/or surgical resection. Removal of the lesion was successful, and histopathologic evaluation confirmed lipoma. Periodic follow-up was recommended to monitor for possible recurrence.

DISCUSSION

The slower growth pattern of some benign lesions may obscure any symptoms as changes the patient may normally notice take place over an extended period. Furthermore, soft tissue lesions and especially those in the posterior midline, such as in this case, may not be easily visible on routine panoramic imaging or clinical exam, allowing for substantially large growth before detection. While the soft tissue contrast of the CBCT volume is poor, enough information was present to establish an initial differential diagnosis and the need for more advanced imaging modalities. With the growing popularity and adoption of CBCT in maxillofacial imaging, a thorough understanding of the appearance of hard and soft tissue lesions, as well as a strong understanding of the baseline appearance of normal anatomy, is important to ensure no incidental pathoses go undiagnosed.

摘要

背景

脂肪瘤是常见的良性间叶组织肿瘤,约25%的病例出现在头颈部。气道区域的脂肪瘤极为罕见,占气道阻塞性肿瘤的比例不到1%。此前尚未报道过罕见的咽后脂肪瘤的锥形束计算机断层扫描(CBCT)、多排探测器计算机断层扫描(MDCT)和磁共振成像(MRI)影像学表现的相关性。因种植体和/或其他诊断目的而进行的CBCT检查可能作为偶然发现成为一线检测手段。

病例报告

一名66岁女性因种植前CBCT检查前来就诊,无其他既往病史或体征/症状。CBCT成像显示一个大的、边界清晰的、低衰减/软组织密度病变,呈波浪状外观,从左咽后壁延伸,阻塞了从C2到C4三分之二的气道。病变向外侧延伸至左咽旁间隙,向下超出研究视野范围。可见微弱的内部间隔迹象。患者立即被转诊至耳鼻喉科会诊。进行了喉镜检查、MRI和增强MDCT成像,以确定病变的全貌和性质,并可能为活检和/或手术切除制定计划。病变切除成功,组织病理学评估证实为脂肪瘤。建议定期随访以监测可能的复发情况。

讨论

一些良性病变生长缓慢,可能掩盖任何症状,因为患者通常注意到的变化是在较长时间内发生的。此外,软组织病变,尤其是位于后中线的病变,如本病例,在常规全景成像或临床检查中可能不易看到,在被发现之前可能已经长得很大。虽然CBCT容积的软组织对比度较差,但仍有足够信息来建立初步鉴别诊断以及确定是否需要更先进的成像方式。随着CBCT在颌面成像中的日益普及和应用,全面了解软硬组织病变的表现以及对正常解剖结构的基线表现有深入认识,对于确保不遗漏任何偶然发现的病变至关重要。

https://cdn.ncbi.nlm.nih.gov/pmc/blobs/1a47/7429597/36b542fc44b6/40729_2020_237_Fig1_HTML.jpg

文献检索

告别复杂PubMed语法,用中文像聊天一样搜索,搜遍4000万医学文献。AI智能推荐,让科研检索更轻松。

立即免费搜索

文件翻译

保留排版,准确专业,支持PDF/Word/PPT等文件格式,支持 12+语言互译。

免费翻译文档

深度研究

AI帮你快速写综述,25分钟生成高质量综述,智能提取关键信息,辅助科研写作。

立即免费体验