Suppr超能文献

肝清宁方通过促进荷H瘤小鼠凋亡和抑制血管生成来抑制肝癌生长。

Gan-Qing-Ning Formula Inhibits the Growth of Hepatocellular Carcinoma by Promoting Apoptosis and Inhibiting Angiogenesis in H Tumor-Bearing Mice.

作者信息

Zeng Fan-Yan, Zhao Kai-Li, Lin Le-Zhen, Deng Ying, Qin Si, Ye Jin-Rong, Huang Zeng-Qiong

机构信息

Affiliated Tumor Hospital, Guangxi Medical University, Nanning, Guangxi 530021, China.

College of Pharmacy, Guangxi Medical University, Nanning, Guangxi 530021, China.

出版信息

Evid Based Complement Alternat Med. 2020 Aug 6;2020:6376912. doi: 10.1155/2020/6376912. eCollection 2020.

Abstract

OBJECTIVE

Gang-Qing-Ning (GQN) is a traditional Chinese medicine formula that has been used in the treatment of hepatocellular carcinoma (HCC) in the folk population for decades. However, scientific validation is still necessary to lend credibility to the traditional use of GQN against HCC. This study investigates the antitumor effect of GQN on H tumor-bearing mice and its possible mechanism.

METHODS

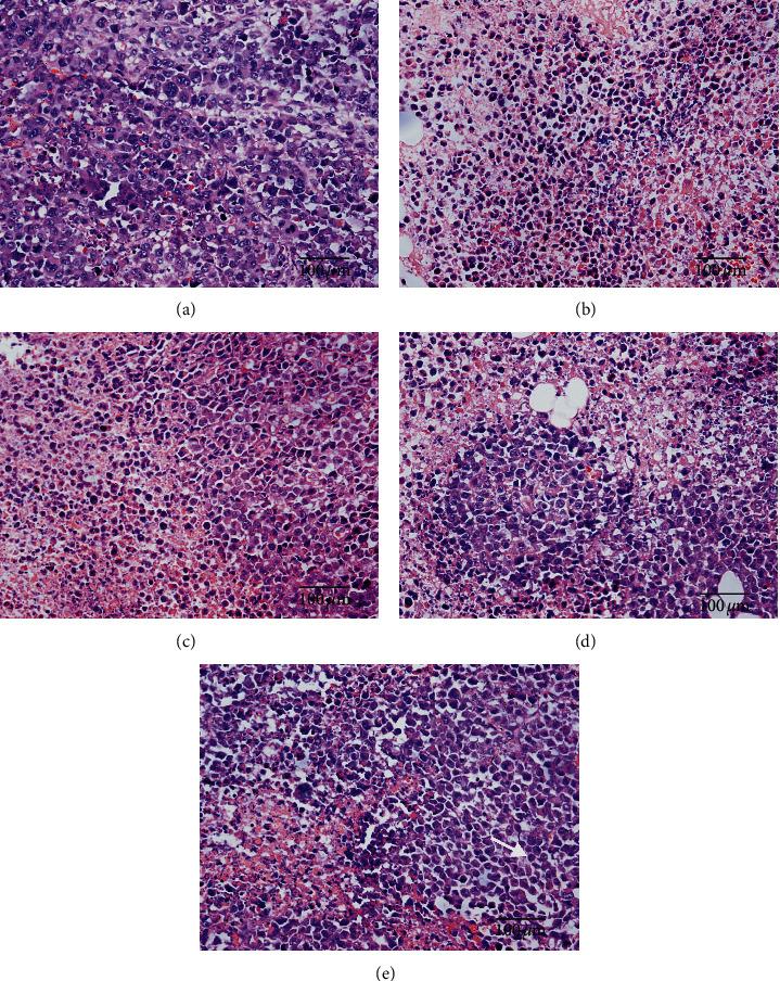
Fifty H tumor-bearing mice were randomly assigned to five groups. Three groups were treated with high, medium, and low dosages of GQN (27.68, 13.84, and 6.92 g/kg, respectively); the positive control group was treated with cytoxan (CTX) (20 mg/kg) and the model group was treated with normal saline. After 10 days' treatment, the tumor inhibitory rates were calculated. Pathological changes in tumor tissue were observed, and the key proteins and genes of the mitochondrial apoptosis pathway were measured, as well as the mRNA expression levels of VEGF in tumor tissue.

RESULTS

The tumor inhibitory rates of high, medium, and low dosages of GQN groups were 47.39%, 38.26%, and 22.17%, respectively. The high dosage of the GQN group significantly increased the protein and mRNA expression levels of Bax, Cyt-C, and cleaved Caspase 3 (or Caspase 3) ( < 0.01) but decreased the expression levels of Bcl-2, VEGF, and microvessel density (MVD) ( < 0.01).

CONCLUSIONS

The high dosage of GQN can significantly inhibit the tumor growth in H tumor-bearing mice. It exerts the antitumor effect by enhancing proapoptotic factors and inhibiting the antiapoptotic factor of the mitochondrial apoptosis pathway and inhibiting tumor angiogenesis.

摘要

目的

肝清宁(GQN)是一种中药配方,在民间已用于治疗肝细胞癌(HCC)数十年。然而,仍需要科学验证来证实GQN治疗HCC的传统用法的可信度。本研究探讨GQN对荷H瘤小鼠的抗肿瘤作用及其可能机制。

方法

将50只荷H瘤小鼠随机分为五组。三组分别用高、中、低剂量的GQN(分别为27.68、13.84和6.92 g/kg)治疗;阳性对照组用环磷酰胺(CTX)(20 mg/kg)治疗,模型组用生理盐水治疗。治疗10天后,计算肿瘤抑制率。观察肿瘤组织的病理变化,检测线粒体凋亡途径的关键蛋白和基因,以及肿瘤组织中VEGF的mRNA表达水平。

结果

GQN高、中、低剂量组的肿瘤抑制率分别为47.39%、38.26%和22.17%。GQN高剂量组显著提高了Bax、Cyt-C和裂解的Caspase 3(或Caspase 3)的蛋白和mRNA表达水平(<0.01),但降低了Bcl-2、VEGF和微血管密度(MVD)的表达水平(<0.01)。

结论

高剂量的GQN可显著抑制荷H瘤小鼠的肿瘤生长。它通过增强促凋亡因子、抑制线粒体凋亡途径的抗凋亡因子以及抑制肿瘤血管生成来发挥抗肿瘤作用。

https://cdn.ncbi.nlm.nih.gov/pmc/blobs/be23/7428871/2ca7b653329b/ECAM2020-6376912.001.jpg

文献AI研究员

20分钟写一篇综述,助力文献阅读效率提升50倍。

立即体验

用中文搜PubMed

大模型驱动的PubMed中文搜索引擎

马上搜索

文档翻译

学术文献翻译模型,支持多种主流文档格式。

立即体验