Wang Jiajia, Yang Lijun, Dong Chen, Wang Jincheng, Xu Lingli, Qiu Yueping, Weng Qinjie, Zhao Chuntao, Xin Mei, Lu Q Richard
Department of Pediatrics, Brain Tumor Center, Division of Experimental Hematology and Cancer Biology, Cincinnati Children's Hospital Medical Center, Cincinnati, OH 45229, USA.
Center for Drug Safety Evaluation and Research, College of Pharmaceutical Sciences, Zhejiang University, Hangzhou 310058, China.
Sci Adv. 2020 Aug 12;6(33):eaaz6477. doi: 10.1126/sciadv.aaz6477. eCollection 2020 Aug.
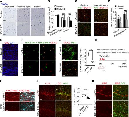
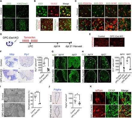
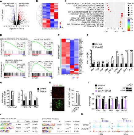
Mutations in the polycomb repressive complex 2 (PRC2) can cause Weaver-like syndrome, wherein a patient cohort exhibits abnormal white matter; however, PRC2 functions in CNS myelination and regeneration remain elusive. We show here that H3K27me3, the PRC2 catalytic product, increases during oligodendrocyte maturation. Depletion of embryonic ectoderm development (EED), a core PRC2 subunit, reduces differentiation of oligodendrocyte progenitors (OPCs), and causes an OPC-to-astrocyte fate switch in a region-specific manner. Although dispensable for myelin maintenance, EED is critical for oligodendrocyte remyelination. Genomic occupancy and transcriptomic analyses indicate that EED establishes a chromatin landscape that selectively represses inhibitory WNT and bone morphogenetic protein (BMP) signaling, and senescence-associated programs. Blocking WNT or BMP pathways partially restores differentiation defects in EED-deficient OPCs. Thus, our findings reveal that EED/PRC2 is a crucial epigenetic programmer of CNS myelination and repair, while demonstrating a spatiotemporal-specific role of PRC2-mediated chromatin silencing in shaping oligodendrocyte identity and lineage plasticity.
多梳抑制复合物2(PRC2)的突变可导致类韦弗综合征,其中一组患者表现出白质异常;然而,PRC2在中枢神经系统髓鞘形成和再生中的功能仍不清楚。我们在此表明,PRC2催化产物H3K27me3在少突胶质细胞成熟过程中增加。胚胎外胚层发育(EED)是PRC2的一个核心亚基,其缺失会减少少突胶质前体细胞(OPC)的分化,并以区域特异性方式导致OPC向星形胶质细胞的命运转变。虽然EED对髓鞘维持并非必需,但它对少突胶质细胞的髓鞘再生至关重要。基因组占据和转录组分析表明,EED建立了一种染色质景观,选择性地抑制抑制性WNT和骨形态发生蛋白(BMP)信号以及衰老相关程序。阻断WNT或BMP信号通路可部分恢复EED缺陷型OPC的分化缺陷。因此,我们的研究结果表明,EED/PRC2是中枢神经系统髓鞘形成和修复的关键表观遗传编程因子,同时证明了PRC2介导的染色质沉默在塑造少突胶质细胞特性和谱系可塑性方面的时空特异性作用。