Suppr超能文献

不仅仅是重新定位工具:附加钢丝环扎可增加股骨干髁上骨折钢板内固定失败时的负荷。

More than a reposition tool: additional wire cerclage leads to increased load to failure in plate osteosynthesis for supracondylar femoral shaft fractures.

机构信息

Center for Orthopaedics and Trauma Surgery, University Hospital Giessen-Marburg, Baldingerstrasse, 35043, Marburg, Germany.

出版信息

Arch Orthop Trauma Surg. 2021 Jul;141(7):1197-1205. doi: 10.1007/s00402-020-03586-1. Epub 2020 Aug 27.

Abstract

INTRODUCTION

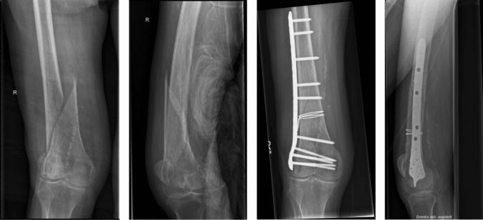
Surgical treatment of supracondylar femoral fractures can be challenging. An additional wire cerclage is a suggested way to facilitate fracture reduction prior to plate osteosynthesis. Denudation to the periosteum remains a problematic disadvantage of this procedure. This study analyzed the effect of an additional wire cerclage on the load to failure in plate osteosynthesis of oblique supracondylar femoral shaft fractures.

MATERIALS AND METHODS

On eight pairs of non-osteoporotic human femora (mean age 74 years; range 57-95 years), an unstable AO/OTA 32-A2.3 fracture was established. All specimens were treated with a polyaxially locking plate. One femur of each pair was randomly selected to receive an additional fracture fixation with a wire cerclage. A servohydraulic testing machine was used to perform an incremental cyclic axial load with a load to the failure mode.

RESULTS

Specimens stabilized with solely plate osteosynthesis failed at a mean load of 2450 N (95% CI: 1996-2904 N). In the group with an additional wire cerclage, load to failure was at a mean of 3100 N (95% CI: 2662-3538 N) (p = 0.018). Compression deformation with shearing of the condyle region through cutting of screws out of the condylar bone was the most common reason for failure in both groups of specimens. Whereas axial stiffness was comparable between both groups (p = 0.208), plastic deformation of the osteosynthesis constructs differed significantly (p = 0.035).

CONCLUSIONS

An additional wire cerclage significantly increased the load to failure. Therefore, an additional cerclage represents more than just a repositioning aid. With appropriate fracture morphology, a cerclage can significantly improve the strength of the osteosynthesis.

摘要

简介

股骨髁上骨折的手术治疗具有挑战性。附加钢丝环扎被认为是在钢板接骨术之前促进骨折复位的一种方法。但该手术存在一个问题,即会导致骨膜剥离。本研究分析了附加钢丝环扎对斜形股骨髁上骨干骨折钢板接骨术失效负荷的影响。

材料与方法

在 8 对非骨质疏松的人股骨(平均年龄 74 岁;范围 57-95 岁)上建立不稳定的 AO/OTA 32-A2.3 骨折。所有标本均采用多轴锁定钢板治疗。每对股骨中的一根股骨随机选择用钢丝环扎进行附加骨折固定。使用伺服液压试验机进行递增循环轴向载荷直至失效模式。

结果

仅用钢板接骨术固定的标本的失效负荷平均值为 2450N(95%CI:1996-2904N)。在附加钢丝环扎组中,失效负荷平均值为 3100N(95%CI:2662-3538N)(p=0.018)。两组标本最常见的失效原因都是通过剪断穿出髁骨的螺钉导致髁区压缩变形和剪切。虽然两组的轴向刚度相当(p=0.208),但接骨术结构的塑性变形差异显著(p=0.035)。

结论

附加钢丝环扎显著增加了失效负荷。因此,附加环扎不仅仅是一种复位辅助手段。在适当的骨折形态下,环扎可以显著提高接骨术的强度。

https://cdn.ncbi.nlm.nih.gov/pmc/blobs/d336/8215035/1ff272dc74bc/402_2020_3586_Fig1_HTML.jpg

文献AI研究员

20分钟写一篇综述,助力文献阅读效率提升50倍。

立即体验

用中文搜PubMed

大模型驱动的PubMed中文搜索引擎

马上搜索

文档翻译

学术文献翻译模型,支持多种主流文档格式。

立即体验