Suppr超能文献

胆管多发恶性淋巴瘤,继发于自身免疫性胰腺炎样肿块的自发消退。

Multiple Malignant Lymphomas of the Bile Duct Developing after Spontaneous Regression of an Autoimmune Pancreatitis-like Mass.

机构信息

Division of Medical Oncology, Cancer Research Institute, Kanazawa University, Japan.

Department of Hematology, Kanazawa University, Japan.

出版信息

Intern Med. 2021 Feb 1;60(3):409-415. doi: 10.2169/internalmedicine.5429-20. Epub 2020 Aug 29.

Abstract

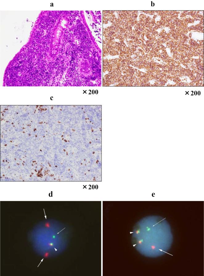
We herein report a 67-year-old woman with malignant lymphomas of the bile duct that developed after regression of a pancreatic head mass. Computed tomography suggested the mass was pancreatic head cancer. Endoscopic ultrasonography showed a low-echoic mass with hyperechoic strands resembling autoimmune pancreatitis. Her serum IgG4 concentration was elevated to 674 mg/dL. After the pancreatic head mass spontaneously diminished, three masses were detected in the common bile duct. A biopsy of the major papilla revealed high-grade B-cell lymphoma with MYC, BCL2 and/or BCL6 rearrangement. Systemic chemotherapy with rituximab plus etoposide, prednisolone, vincristine, cyclophosphamide and doxorubicin resulted in complete remission.

摘要

我们在此报告一例 67 岁女性,其胆管恶性淋巴瘤继发于胰头部肿块消退后。计算机断层扫描提示为胰头癌。超声内镜显示低回声肿块,伴有类似自身免疫性胰腺炎的高回声条索。患者血清 IgG4 浓度升高至 674mg/dL。胰头部肿块自发缩小后,胆总管内发现 3 个肿块。主乳头活检显示高级别 B 细胞淋巴瘤伴 MYC、BCL2 和/或 BCL6 重排。利妥昔单抗联合依托泊苷、泼尼松、长春新碱、环磷酰胺和多柔比星的全身化疗导致完全缓解。

https://cdn.ncbi.nlm.nih.gov/pmc/blobs/3cb3/7925286/c098f1538167/1349-7235-60-0409-g001.jpg

文献检索

告别复杂PubMed语法,用中文像聊天一样搜索,搜遍4000万医学文献。AI智能推荐,让科研检索更轻松。

立即免费搜索

文件翻译

保留排版,准确专业,支持PDF/Word/PPT等文件格式,支持 12+语言互译。

免费翻译文档

深度研究

AI帮你快速写综述,25分钟生成高质量综述,智能提取关键信息,辅助科研写作。

立即免费体验