• 文献检索
  • 文档翻译
  • 深度研究
  • 学术资讯
  • Suppr Zotero 插件Zotero 插件
  • 邀请有礼
  • 套餐&价格
  • 历史记录
应用&插件
Suppr Zotero 插件Zotero 插件浏览器插件Mac 客户端Windows 客户端微信小程序
定价
高级版会员购买积分包购买API积分包
服务
文献检索文档翻译深度研究API 文档MCP 服务
关于我们
关于 Suppr公司介绍联系我们用户协议隐私条款
关注我们

Suppr 超能文献

核心技术专利:CN118964589B侵权必究
粤ICP备2023148730 号-1Suppr @ 2026

文献检索

告别复杂PubMed语法,用中文像聊天一样搜索,搜遍4000万医学文献。AI智能推荐,让科研检索更轻松。

立即免费搜索

文件翻译

保留排版,准确专业,支持PDF/Word/PPT等文件格式,支持 12+语言互译。

免费翻译文档

深度研究

AI帮你快速写综述,25分钟生成高质量综述,智能提取关键信息,辅助科研写作。

立即免费体验

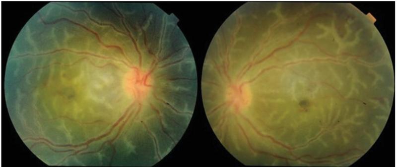
Primary Idiopathic Frosted Branch Angiitis.

作者信息

Maleki Shahin Jahani, Dourandish Maryam, Hosseini Seyedeh Maryam

机构信息

Eye Research Center, Mashhad University of Medical Sciences, Mashhad, Iran.

Retina Research Center, Mashhad University of Medical Sciences, Mashhad, Iran.

出版信息

J Ophthalmic Vis Res. 2020 Aug 6;15(3):424-427. doi: 10.18502/jovr.v15i3.7462. eCollection 2020 Jul-Sep.

DOI:10.18502/jovr.v15i3.7462
PMID:32864074
原文链接:https://pmc.ncbi.nlm.nih.gov/articles/PMC7431713/
Abstract
摘要
https://cdn.ncbi.nlm.nih.gov/pmc/blobs/2b93/7431713/75d4b0dd0bad/jovr-15-424-g005.jpg
https://cdn.ncbi.nlm.nih.gov/pmc/blobs/2b93/7431713/fde7e28a3ad3/jovr-15-424-g001.jpg
https://cdn.ncbi.nlm.nih.gov/pmc/blobs/2b93/7431713/35463960fac0/jovr-15-424-g002.jpg
https://cdn.ncbi.nlm.nih.gov/pmc/blobs/2b93/7431713/4fd501a1c22d/jovr-15-424-g003.jpg
https://cdn.ncbi.nlm.nih.gov/pmc/blobs/2b93/7431713/e3cd56bce4c9/jovr-15-424-g004.jpg
https://cdn.ncbi.nlm.nih.gov/pmc/blobs/2b93/7431713/75d4b0dd0bad/jovr-15-424-g005.jpg
https://cdn.ncbi.nlm.nih.gov/pmc/blobs/2b93/7431713/fde7e28a3ad3/jovr-15-424-g001.jpg
https://cdn.ncbi.nlm.nih.gov/pmc/blobs/2b93/7431713/35463960fac0/jovr-15-424-g002.jpg
https://cdn.ncbi.nlm.nih.gov/pmc/blobs/2b93/7431713/4fd501a1c22d/jovr-15-424-g003.jpg
https://cdn.ncbi.nlm.nih.gov/pmc/blobs/2b93/7431713/e3cd56bce4c9/jovr-15-424-g004.jpg
https://cdn.ncbi.nlm.nih.gov/pmc/blobs/2b93/7431713/75d4b0dd0bad/jovr-15-424-g005.jpg

相似文献

1
Primary Idiopathic Frosted Branch Angiitis.原发性特发性霜样树枝状视网膜血管炎
J Ophthalmic Vis Res. 2020 Aug 6;15(3):424-427. doi: 10.18502/jovr.v15i3.7462. eCollection 2020 Jul-Sep.
2
Bilateral acute idiopathic frosted branch angiitis in a pregnant woman.一名孕妇双侧急性特发性霜样树枝状视网膜血管炎。
Retin Cases Brief Rep. 2012 Winter;6(1):69-71. doi: 10.1097/ICB.0b013e3182051f0c.
3
Frosted branch angiitis and cerebral venous sinus thrombosis as an initial onset of neuro-Behçet's disease: a case report and review of the literature.以霜样树枝状视网膜血管炎和脑静脉窦血栓形成首发的神经白塞病:1例报告并文献复习
J Med Case Rep. 2017 Apr 15;11(1):104. doi: 10.1186/s13256-017-1261-z.
4
Frosted branch angiitis in a child with HIV infection.一名感染HIV的儿童患霜样树枝状视网膜血管炎。
Am J Ophthalmol. 2001 Mar;131(3):394-6. doi: 10.1016/s0002-9394(00)00792-3.
5
[Active systemic steroid therapy employed in a case of bilateral frosted branch angiitis with acute chorioretinal circulatory insufficiency].[全身应用糖皮质激素治疗双侧霜样树枝状视网膜血管炎伴急性脉络膜视网膜循环障碍1例]
Nippon Ganka Gakkai Zasshi. 2008 Nov;112(11):999-1005.
6
Frosted branch angiitis: a review.霜样树枝状视网膜血管炎:综述
Eye (Lond). 2004 May;18(5):527-33. doi: 10.1038/sj.eye.6700712.
7
Bilateral frosted branch angiitis as the presenting sign of antiphospholipid antibody syndrome.双侧霜样树枝状视网膜血管炎作为抗磷脂抗体综合征的首发症状
J Ophthalmic Inflamm Infect. 2016 Dec;6(1):20. doi: 10.1186/s12348-016-0089-9. Epub 2016 Jun 10.
8
Frosted branch angiitis in a woman with Mycobacterium tuberculosis infection.女性分枝杆菌感染伴树枝状血管炎。
Ocul Immunol Inflamm. 2012 Jun;20(3):227-9. doi: 10.3109/09273948.2012.673044. Epub 2012 Apr 9.
9
Postsurgical bacterial endophthalmitis presenting as frosted branch angiitis: a case report.表现为霜样树枝状视网膜血管炎的术后细菌性眼内炎:一例报告
Retin Cases Brief Rep. 2010 Winter;4(1):20-2. doi: 10.1097/ICB.0b013e318196b2b6.
10
Bilateral Frosted Branch Angiitis in a Patient with Tuberculous Meningoencephalitis.一名结核性脑膜脑炎患者的双侧霜样树枝状视网膜炎
Eye Sci. 2015 Jun;30(2):75-6.

引用本文的文献

1
Sudden bilateral vision loss: a case report of frosted branch angiitis following pentavalent vaccination in a 2-year-old boy.突发双侧视力丧失:一名2岁男孩五价疫苗接种后发生霜样树枝状视网膜血管炎的病例报告
J Ophthalmic Inflamm Infect. 2025 Feb 26;15(1):14. doi: 10.1186/s12348-025-00455-z.
2
Frosted branch angiitis in a patient with systemic juvenile idiopathic arthritis: a case report.系统性幼年特发性关节炎患者的树枝状血管炎:病例报告。
BMC Ophthalmol. 2024 Mar 5;24(1):106. doi: 10.1186/s12886-024-03373-1.
3
First clinical case series of frosted branch angiitis: A diagnostic algorithm is suggested.

本文引用的文献

1
Tubercular retinal vasculitis mimicking frosted branch angiitis: a case report.酷似霜样树枝状视网膜血管炎的结核性视网膜血管炎:一例报告
J Ophthalmic Inflamm Infect. 2018 Jan 22;8(1):3. doi: 10.1186/s12348-018-0145-8.
2
Frosted branch angiitis and cerebral venous sinus thrombosis as an initial onset of neuro-Behçet's disease: a case report and review of the literature.以霜样树枝状视网膜血管炎和脑静脉窦血栓形成首发的神经白塞病:1例报告并文献复习
J Med Case Rep. 2017 Apr 15;11(1):104. doi: 10.1186/s13256-017-1261-z.
3
Frosted branch angiitis in an AIDS patient with cytomegalovirus retinitis.
首例霜枝样视网膜炎临床病例系列报道:提出一种诊断算法。
Clin Case Rep. 2023 Aug 25;11(9):e7778. doi: 10.1002/ccr3.7778. eCollection 2023 Sep.
一名患有巨细胞病毒性视网膜炎的艾滋病患者出现霜枝样视网膜血管炎。
Int J Infect Dis. 2016 Nov;52:9-11. doi: 10.1016/j.ijid.2016.09.003. Epub 2016 Sep 15.
4
Perivascular exudates in frosted branch angiitis.霜样树枝状视网膜血管炎中的血管周围渗出物。
Ophthalmic Surg Lasers Imaging Retina. 2014 Sep-Oct;45(5):443-6. doi: 10.3928/23258160-20140908-04.