Suppr超能文献

病例报告:麻痹性肠梗阻:严重 COVID-19 的一种潜在肺外表现。

Case Report: Paralytic Ileus: A Potential Extrapulmonary Manifestation of Severe COVID-19.

机构信息

1Internal Medicine Department, Hamad Medical Corporation, Doha, Qatar.

2Infectious Disease Department, Hamad Medical Corporation, Doha, Qatar.

出版信息

Am J Trop Med Hyg. 2020 Oct;103(4):1600-1603. doi: 10.4269/ajtmh.20-0894.

Abstract

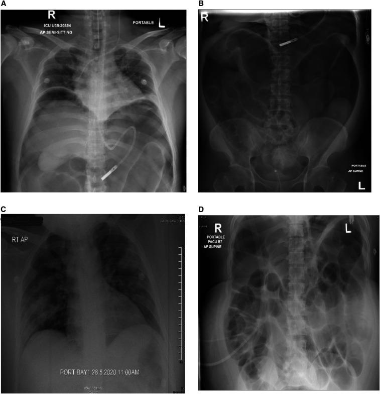
The COVID-19 pandemic has recently spread worldwide, presenting primarily in the form of pneumonia or other respiratory disease. In addition, gastrointestinal manifestations have increasingly been reported as one of the extrapulmonary features of the virus. We report two cases of SARS-CoV-2 infection complicated by paralytic ileus. The first patient was a 33-year-old man who was hospitalized with severe COVID-19 pneumonia requiring ventilator support and intensive care. He developed large bowel dilatation and perforation of the mid-transverse colon, and underwent laparotomy and colonic resection. Histopathology of the resected bowel specimen showed acute inflammation, necrosis, and hemorrhage, supporting a role for COVID-19-induced micro-thrombosis leading to perforation. The second patient was a 33-year-old man who had severe COVID-19 pneumonia, renal failure, and acute pancreatitis. His hospital course was complicated with paralytic ileus, and he improved with conservative management. Both cases were observed to have elevated liver transaminases, which is consistent with other studies. Several authors have postulated that the angiotensin-converting enzyme 2 receptors, the host receptors for COVID-19, that are present on enterocytes in both the small and large bowel might mediate viral entry and resultant inflammation. This is a potential mechanism of paralytic ileus in cases of severe COVID-19 infection. Recognizing paralytic ileus as a possible complication necessitates timely diagnosis and management.

摘要

新型冠状病毒肺炎(COVID-19)疫情近期在全球蔓延,主要表现为肺炎或其他呼吸道疾病。此外,越来越多的研究报告称,胃肠道表现是该病毒的肺外特征之一。我们报告了两例由 SARS-CoV-2 感染引起的麻痹性肠梗阻病例。第一例患者是一名 33 岁男性,因重症 COVID-19 肺炎需要呼吸机支持和重症监护而住院。他出现大肠扩张和横结肠中段穿孔,并接受了剖腹手术和结肠切除术。切除肠标本的组织病理学检查显示急性炎症、坏死和出血,支持 COVID-19 引起的微血栓形成导致穿孔的作用。第二例患者是一名 33 岁男性,患有重症 COVID-19 肺炎、肾衰竭和急性胰腺炎。他的住院过程中并发麻痹性肠梗阻,经保守治疗后好转。这两例患者的肝转氨酶均升高,这与其他研究结果一致。一些作者推测,COVID-19 的宿主受体血管紧张素转换酶 2(angiotensin-converting enzyme 2,ACE2)受体存在于小肠和大肠的肠上皮细胞中,可能介导病毒进入和由此产生的炎症。这是严重 COVID-19 感染导致麻痹性肠梗阻的潜在机制。认识到麻痹性肠梗阻可能是一种并发症,需要及时诊断和治疗。

https://cdn.ncbi.nlm.nih.gov/pmc/blobs/4c3c/7543796/5d1a874789af/tpmd200894f1.jpg

文献AI研究员

20分钟写一篇综述,助力文献阅读效率提升50倍。

立即体验

用中文搜PubMed

大模型驱动的PubMed中文搜索引擎

马上搜索

文档翻译

学术文献翻译模型,支持多种主流文档格式。

立即体验