Chen Baoyu, Zhao Qianwen, Xu Tongchang, Yu Liming, Zhuo Lili, Yang Yuyu, Xu Yong
Department of Pathophysiology, Nanjing Medical University, Nanjing, China.
Department of Geriatrics, The Second Affiliated Hospital of Nanjing Medical University, Nanjing, China.
Front Cell Dev Biol. 2020 Aug 12;8:774. doi: 10.3389/fcell.2020.00774. eCollection 2020.
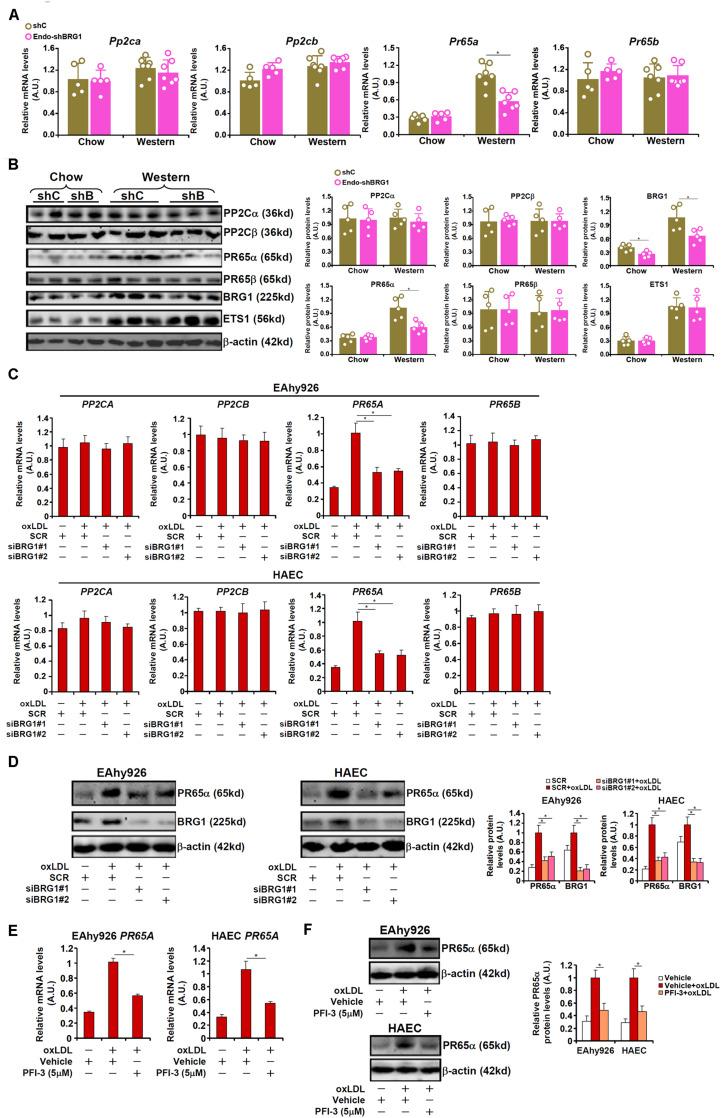
Vascular endothelial cells contribute to the pathogenesis of cardiovascular diseases by producing and disseminating angiocrine factors. Nitric oxide (NO), catalyzed by endothelial NO synthase (eNOS), is one of the prototypical angiocrine factors. eNOS activity is modulated by site-specific phosphorylation. We have previously shown that endothelial-specific knockdown of BRG1 in mice attenuates the development of atherosclerosis, in which eNOS-dependent NO catalysis plays an antagonizing role. Here we report that attenuation of atherogenesis in mice by BRG1 knockdown was accompanied by partial restoration of NO biosynthesis by 44% in the arteries and a simultaneous up-regulation of eNOS serine 1177 phosphorylation by 59%. Indeed, BRG1 depletion or inhibition ameliorated oxLDL-induced loss of NO bioavailability and eNOS phosphorylation in cultured endothelial cells. Further analysis revealed that BRG1 regulated eNOS phosphorylation and NO synthesis by activating the transcription of protein phosphatase 2A (PP2A) structural subunit a (encoded by ). BRG1 interacted with ETS1, was recruited by ETS1 to the promoter, and cooperated with ETS1 to activate transcription. Finally, depletion of ETS1, similar to BRG1, repressed induction, normalized eNOS phosphorylation, and rescued NO biosynthesis in endothelial cells treated with oxLDL. In conclusion, our data characterize a novel transcriptional cascade that regulates NO bioavailability in vascular endothelial cells.
血管内皮细胞通过产生和释放血管分泌因子,参与心血管疾病的发病机制。一氧化氮(NO)由内皮型一氧化氮合酶(eNOS)催化产生,是典型的血管分泌因子之一。eNOS的活性受位点特异性磷酸化调节。我们之前已经表明,在小鼠中内皮特异性敲低BRG1可减轻动脉粥样硬化的发展,其中eNOS依赖的NO催化起拮抗作用。在此我们报告,敲低BRG1减轻小鼠动脉粥样硬化的同时,动脉中NO生物合成部分恢复了44%,并且eNOS丝氨酸1177磷酸化同时上调了59%。事实上,BRG1的缺失或抑制改善了氧化型低密度脂蛋白(oxLDL)诱导的培养内皮细胞中NO生物利用度的丧失和eNOS磷酸化。进一步分析表明,BRG1通过激活蛋白磷酸酶2A(PP2A)结构亚基a(由 编码)的转录来调节eNOS磷酸化和NO合成。BRG1与ETS1相互作用,被ETS1招募到 启动子,并与ETS1协同激活 转录。最后,与BRG1类似,敲低ETS1可抑制 诱导,使eNOS磷酸化正常化,并挽救oxLDL处理的内皮细胞中的NO生物合成。总之,我们的数据描述了一种调节血管内皮细胞中NO生物利用度的新型转录级联反应。