Suppr超能文献

罕见病例:一名26岁女性的早发性多发性骨髓瘤

Far and Few Between: Early Onset Multiple Myeloma in a 26-Year-Old Female.

作者信息

Khan Abdul Wali, Khan Asad Ali, Almas Talal, Ishaq Muhammad, Ullah Irfan

机构信息

Internal Medicine, Hayatabad Medical Complex, Peshawar, PAK.

Internal Medicine, Khyber Teaching Hospital, Peshawar, PAK.

出版信息

Cureus. 2020 Aug 6;12(8):e9588. doi: 10.7759/cureus.9588.

Abstract

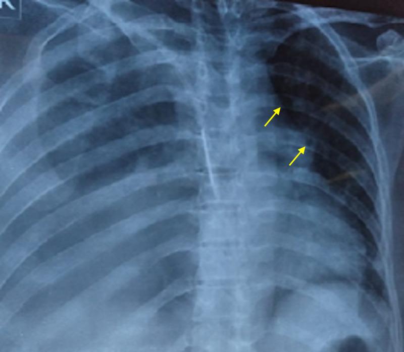
Multiple myeloma (MM), a common hematologic malignancy, is predominantly a disease of old age with a median age at diagnosis hovering around 70 years. Medical literature remains largely bereft of reports of the ailment in young female patients. We chronicle the case of a 26-year-old female patient who presented with a history of fever, weight loss, constipation, frequent infections, and back and chest pain. Laboratory workup divulged underlying anemia, renal impairment, increased calcium, and significant urinary proteins, insinuating a diagnosis of MM. Subsequent bone marrow examination confirmed a diagnosis of MM. Following treatment with a concoction of dexamethasone, cyclophosphamide and bortezomib, the patient improved rapidly, and her clinical symptoms abated. This article further accentuates the need for physicians to be cognizant of the possibility of early-onset MM in unusually young patients.

摘要

多发性骨髓瘤(MM)是一种常见的血液系统恶性肿瘤,主要是一种老年疾病,诊断时的中位年龄徘徊在70岁左右。医学文献中关于年轻女性患者患此病的报道仍然很少。我们记录了一名26岁女性患者的病例,她有发热、体重减轻、便秘、频繁感染以及背部和胸部疼痛的病史。实验室检查发现有潜在的贫血、肾功能损害、血钙升高和大量尿蛋白,提示诊断为MM。随后的骨髓检查确诊为MM。在用地塞米松、环磷酰胺和硼替佐米联合治疗后,患者迅速好转,临床症状减轻。本文进一步强调了医生需要认识到异常年轻患者中早发性MM的可能性。

https://cdn.ncbi.nlm.nih.gov/pmc/blobs/cf6f/7478686/ddab14e08cd2/cureus-0012-00000009588-i01.jpg

文献AI研究员

20分钟写一篇综述,助力文献阅读效率提升50倍。

立即体验

用中文搜PubMed

大模型驱动的PubMed中文搜索引擎

马上搜索

文档翻译

学术文献翻译模型,支持多种主流文档格式。

立即体验