Suppr超能文献

非龋性颈壁缺损中复合树脂修复-哪种窝洞预备更具临床可靠性?

Composite restorations placed in non-carious cervical lesions-Which cavity preparation is clinically reliable?

机构信息

Department of Conservative Dentistry, Periodontology and Preventive Dentistry, Hannover Medical School, Hannover, Germany.

出版信息

Clin Exp Dent Res. 2020 Oct;6(5):558-567. doi: 10.1002/cre2.310. Epub 2020 Sep 13.

Abstract

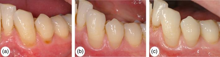
The purpose of this in-vivo study was to evaluate the clinical performance of restorations placed in non-carious cervical lesions (NCCLs), using different cavity preparation designs, after 7.7 years. A total of 85 NCCLs with coronal margins in enamel and cervical margins in dentin were randomly assigned to the following treatment protocols: dentin surface cleaning, dentin surface roughening with round bur plus flowable composite, dentin surface roughening/cervical groove preparation with round bur, dentin surface roughening/cervical groove preparation with round bur plus flowable composite. After enamel beveling and selective enamel etching, the defects were restored with composite. The restorations were assessed by two independent, calibrated and blinded investigators, using modified USPHS criteria. At 7 years (7.7 (± 0.35)), a total of 64 restorations (75.3%) were available for follow-up examination. The total retention rate, irrespective of the test groups, was 82.8%. Restorations placed without any preparation showed the highest loss rate (27.8%). Esthetic appearance, marginal adaptation, anatomic form and marginal discoloration did not differ significantly between the groups. Composites are long-term stable materials for restoring NCCLs. Restorations placed without any dentin preparation (cavity cleaning only) showed the highest loss rate.

摘要

本体内研究的目的是评估在 7.7 年后,使用不同的窝洞预备设计对非龋性颈壁缺损(NCCLs)进行修复的临床效果。共有 85 个牙颈部位于牙本质、牙冠部位于釉质的 NCCLs 被随机分为以下治疗方案:牙本质表面清洁、圆钻加流动复合树脂处理牙本质表面粗化、圆钻预备牙本质表面/颈缘沟、圆钻加流动复合树脂预备牙本质表面/颈缘沟。完成牙釉质斜面预备和选择性牙釉质酸蚀后,使用复合树脂修复缺损。使用改良的 USPHS 标准,由两位独立的、经过校准和盲法的调查员对修复体进行评估。7 年后(7.7(±0.35)),共有 64 个修复体(75.3%)可用于随访检查。无论测试组如何,总保留率为 82.8%。未进行任何预备处理的修复体的失效率最高(27.8%)。各组间的美观效果、边缘适合性、解剖形态和边缘变色无显著差异。复合树脂是一种长期稳定的 NCCLs 修复材料。未进行任何牙本质预备(仅牙本质清洁)的修复体失效率最高。

https://cdn.ncbi.nlm.nih.gov/pmc/blobs/c5bd/7545222/a1f0d9f7fcd7/CRE2-6-558-g001.jpg

文献检索

告别复杂PubMed语法,用中文像聊天一样搜索,搜遍4000万医学文献。AI智能推荐,让科研检索更轻松。

立即免费搜索

文件翻译

保留排版,准确专业,支持PDF/Word/PPT等文件格式,支持 12+语言互译。

免费翻译文档

深度研究

AI帮你快速写综述,25分钟生成高质量综述,智能提取关键信息,辅助科研写作。

立即免费体验