Radioloical Institute, Friedrich-Alexander-University-Erlangen-Nuremberg, Maximiliansplatz 1, 91054, Erlangen, Germany.
Int J Cardiovasc Imaging. 2021 Feb;37(2):613-621. doi: 10.1007/s10554-020-02024-y. Epub 2020 Sep 14.
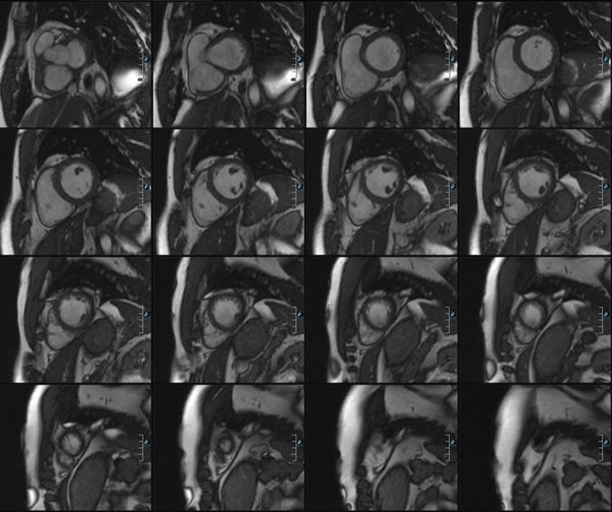
The obstructive sleep apnoea syndrome (OSAS) is a disorder with a high prevalence and is associated with an elevated cardiovascular risk and increased morbidity and mortality. For longitudinal studies and functional analysis cardiac MRI is regarded as the gold standard. Aim of this study was to evaluate the long-term effect of continuous positive airway pressure (CPAP) therapy on cardiac functional parameters with cardiac Magnetic Resonance Imaging (cMRI). 54 patients with OSAS (mean apnea hypopnea index-AHI: 31) were prospectively enrolled in this study and cMRI was performed before and after 7 months of CPAP therapy. Data were acquired on a 1.5 T MRI and right and left ventricular cardiac function were analysed. CPAP treatment was considered compliant when used ≥ 4 h per night. 24-h blood pressure was measured at baseline and follow up. 33 patients could be assigned to the compliance group. Left ventricular stroke volume (LV SV) and right ventricular ejection fraction (RV EF) improved significantly with CPAP therapy (LV SV from 93 ± 19 to 99 ± 20 ml, p = 0.02; RV EF from 50 ± 6 to 52 ± 6%, p = 0.04). All other cardiac parameters did not change significantly while mean systolic and diastolic blood pressure improved significantly (p < 0.01). 21 patients were assigned to the non-compliance group and were considered as a control group. There were no relevant differences in cardiac parameters between baseline and follow up examination in these patients. CPAP therapy seems to improve LV SV, RV EF, systolic and diastolic blood pressure in OSAS patients, but reproducibility of our results need to be confirmed in a larger patient population.
阻塞性睡眠呼吸暂停综合征(OSAS)是一种患病率较高的疾病,与心血管风险增加、发病率和死亡率增加有关。对于纵向研究和功能分析,心脏磁共振成像(cMRI)被认为是金标准。本研究旨在评估持续气道正压通气(CPAP)治疗对心脏功能参数的长期影响,使用心脏磁共振成像(cMRI)进行评估。 54 例 OSAS 患者(平均呼吸暂停低通气指数-AHI:31)前瞻性纳入本研究,并在 CPAP 治疗前和治疗后 7 个月进行 cMRI 检查。数据在 1.5T MRI 上采集,分析右心室和左心室心脏功能。当 CPAP 治疗每晚使用时间≥4 小时时,被认为是符合治疗要求的。在基线和随访时测量 24 小时血压。33 例患者可以被分配到符合治疗要求的组中。左心室每搏量(LV SV)和右心室射血分数(RV EF)在 CPAP 治疗后显著改善(LV SV 从 93±19 增加到 99±20ml,p=0.02;RV EF 从 50±6%增加到 52±6%,p=0.04)。其他所有心脏参数均无显著变化,而收缩压和舒张压显著改善(p<0.01)。21 例患者被分配到不符合治疗要求的组中,并被视为对照组。这些患者在心脏参数方面,在基线和随访检查之间没有明显差异。CPAP 治疗似乎可以改善 OSAS 患者的 LV SV、RV EF、收缩压和舒张压,但需要在更大的患者群体中验证我们结果的可重复性。