Suppr超能文献

23例外耳道腺样囊性癌的临床经验

Clinical experience of 23 cases of adenoid cystic carcinoma of the external auditory canal.

作者信息

Jiang Xiaojun, Jia Lifeng, Zhang Xueyuan, Zhong Cheng, Tang Feng, Chen Xiaoling, Yuan Wei

机构信息

Department of Otolaryngology Head and Neck Surgery, Chongqing Renji Hospital, University of Chinese Academy of Sciences (Chongqing Fifth People's Hospital), Chongqing 400062, P.R. China.

Department of Otolaryngology Head and Neck Surgery, The First Affiliated Hospital of The Third Military Medical University, Chongqing 400038, P.R. China.

出版信息

Oncol Lett. 2020 Nov;20(5):144. doi: 10.3892/ol.2020.12005. Epub 2020 Aug 21.

Abstract

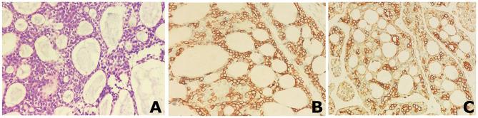
Adenoid cystic carcinoma (ACC) of the external auditory canal (EAC) is a rare tumor. The present study aimed to describe the clinical features and survival of patients with ACC of the EAC. The present retrospective study included 23 patients (mean age, 51.4±15.4 years; 12 males) diagnosed with ACC of the EAC between January 2010 and September 2017 at The First Affiliated Hospital of The Third Military Medical University (Chongqing, China). The median disease course was 24 months. The presenting features were earache in 16 patients, otorrhea in 7 patients, hearing loss in 5 patients, feeling of aural fullness in 2 patients and EAC mass in 4 patients. Tumor stage was T1 in 13 patients, T2 in 3 patients, T3 in 3 patients and T4 in 4 patients. Among patients with T1 tumors, 5 underwent en bloc external EAC resection; 3 underwent local EAC resection; 1 underwent en bloc EAC resection and superficial parotidectomy; 1 underwent subtotal temporal bone resection for postoperative recurrence; Among patients with T4 tumors, 1 underwent extended temporal bone resection, right parotidectomy, right resection of middle cranial fossa tumors and right resection of temporomandibular joint capsule. 1 underwent subtotal temporal bone resection. Among these 15 patients who underwent surgery, 2 received postoperative radiotherapy, 1 received postoperative chemotherapy, 5 received postoperative chemo-radiotherapy, and 7 did not receive postoperative chemo-radiotherapy. The 3- and 5-year cumulative survival rates of the 23 patients were 47.8% and 17.4%, respectively. Survival may have been improved in patients who received postoperative chemo-radiotherapy and early diagnosis may be the key to improving survival.

摘要

外耳道腺样囊性癌(ACC)是一种罕见的肿瘤。本研究旨在描述外耳道腺样囊性癌患者的临床特征和生存率。本回顾性研究纳入了2010年1月至2017年9月期间在第三军医大学第一附属医院(中国重庆)诊断为外耳道腺样囊性癌的23例患者(平均年龄51.4±15.4岁;男性12例)。中位病程为24个月。主要症状为:16例患者有耳痛,7例患者有耳漏,5例患者有听力损失,2例患者有耳闷感,4例患者有外耳道肿物。肿瘤分期为T1期13例,T2期3例,T3期3例,T4期4例。T1期肿瘤患者中,5例行外耳道整块切除术;3例行外耳道局部切除术;1例行外耳道整块切除术加腮腺浅叶切除术;1例术后复发患者行颞骨次全切除术;T4期肿瘤患者中,1例行扩大颞骨切除术、右侧腮腺切除术、右侧中颅窝肿瘤切除术及右侧颞下颌关节囊切除术。1例行颞骨次全切除术。在这15例接受手术的患者中,2例接受了术后放疗,1例接受了术后化疗,5例接受了术后放化疗,7例未接受术后放化疗。23例患者的3年和5年累积生存率分别为47.8%和17.4%。接受术后放化疗的患者生存率可能有所提高,早期诊断可能是提高生存率的关键。

https://cdn.ncbi.nlm.nih.gov/pmc/blobs/f8ee/7471729/50ccfed09f51/ol-20-05-12005-g00.jpg

文献AI研究员

20分钟写一篇综述,助力文献阅读效率提升50倍。

立即体验

用中文搜PubMed

大模型驱动的PubMed中文搜索引擎

马上搜索

文档翻译

学术文献翻译模型,支持多种主流文档格式。

立即体验