Suppr超能文献

非胰岛细胞瘤性低血糖症作为肝细胞癌合并终末期肝硬化的首发表现:一例病例报告及文献复习

Non-islet cell tumor hypoglycemia as an initial presentation of hepatocellular carcinoma coupled with end-stage liver cirrhosis: A case report and review of literature.

作者信息

Yu Bo, Douli Rana, Suarez Jose Amaya, Gutierrez Victor Perez, Aldiabat Mohammad, Khan Maria

机构信息

Department of Medicine, Lincoln Medical Center, Bronx, NY 10451-5504, United States.

出版信息

World J Hepatol. 2020 Aug 27;12(8):519-524. doi: 10.4254/wjh.v12.i8.519.

Abstract

BACKGROUND

Non-islet cell tumor hypoglycemia (NICTH) is a rare cause of persistent hypoglycemia seen in patients with hepatocellular carcinoma (HCC). It is likely to be underdiagnosed especially in the patients with poor hepatic function and malnutrition. Herein, we report a rare case of NICTH as the initial presentation of HCC in a patient with chronic hypoglycemia due to end-stage liver cirrhosis.

CASE SUMMARY

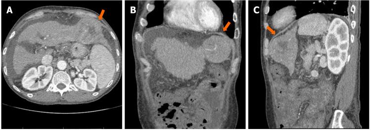
A 62-year-old male with chronic fasting hypoglycemia secondary to end-stage hepatitis C-related cirrhosis, presented with altered mental status and dizziness. He was found to have severe hypoglycemia refractory to glucose supplements. Imaging studies and biopsy discovered well differentiated HCC without metastasis. Further evaluation showed low insulin, C-peptide and beta-hydroxybutyrate along with a high insulin-like growth factor-2/insulin-like growth factor ratio, consistent with the diagnosis of NICTH. As patient was not a candidate for surgical resection or chemotherapy, he was started on prednisolone with some improvements in the glucose homeostasis, but soon decompensated after a superimposed hospital acquired pneumonia.

CONCLUSION

NICTH can occur as the sole initial presentation of HCC and is often difficult to correct without tumor removal. Clinicians should maintain high clinical suspicion for early recognition of paraneoplastic NICTH in patients at risk for HCC, even those with chronic fasting hypoglycemia in the setting of severe hepatic failure and malnutrition.

摘要

背景

非胰岛细胞瘤性低血糖症(NICTH)是肝细胞癌(HCC)患者持续性低血糖的罕见原因。它很可能未被充分诊断,尤其是在肝功能差和营养不良的患者中。在此,我们报告一例罕见的NICTH病例,该病例为终末期肝硬化导致慢性低血糖的患者中HCC的首发表现。

病例摘要

一名62岁男性,因丙型肝炎相关终末期肝硬化继发慢性空腹低血糖,出现精神状态改变和头晕。发现他患有严重低血糖,补充葡萄糖难以纠正。影像学检查和活检发现高分化HCC且无转移。进一步评估显示胰岛素、C肽和β-羟基丁酸水平低,同时胰岛素样生长因子-2/胰岛素样生长因子比值高,符合NICTH的诊断。由于患者不适合手术切除或化疗,开始使用泼尼松龙治疗,血糖稳态有一些改善,但在并发医院获得性肺炎后很快病情恶化。

结论

NICTH可作为HCC的唯一首发表现出现,且若无肿瘤切除往往难以纠正。临床医生应保持高度临床怀疑,以便在HCC风险患者中早期识别副肿瘤性NICTH,即使是那些在严重肝衰竭和营养不良情况下出现慢性空腹低血糖的患者。

https://cdn.ncbi.nlm.nih.gov/pmc/blobs/dbf9/7475778/350e968fc4a6/WJH-12-519-g001.jpg

文献AI研究员

20分钟写一篇综述,助力文献阅读效率提升50倍。

立即体验

用中文搜PubMed

大模型驱动的PubMed中文搜索引擎

马上搜索

文档翻译

学术文献翻译模型,支持多种主流文档格式。

立即体验