Suppr超能文献

动物双歧杆菌亚种乳双歧杆菌 HN019 具有抗牙周病原菌的潜力,并调节牙周炎患者口腔黏膜的免疫反应。

Bifidobacterium animalis subsp lactis HN019 presents antimicrobial potential against periodontopathogens and modulates the immunological response of oral mucosa in periodontitis patients.

机构信息

Department of Oral and Maxillofacial Surgery and Periodontology, School of Dentistry of Ribeirão Preto, University of São Paulo - USP, Ribeirão Preto, São Paulo, Brazil.

Department of Clinical Analyses, School of Pharmaceutical Sciences of Ribeirão Preto, University of São Paulo - USP, Ribeirão Preto, São Paulo, Brazil.

出版信息

PLoS One. 2020 Sep 22;15(9):e0238425. doi: 10.1371/journal.pone.0238425. eCollection 2020.

Abstract

OBJECTIVE

To evaluate the effects of Bifidobacterium animalis subsp. lactis HN019 (HN019) on clinical periodontal parameters (plaque accumulation and gingival bleeding), on immunocompetence of gingival tissues [expression of beta-defensin (BD)-3, toll-like receptor 4 (TLR4), cluster of differentiation(CD)-57 and CD-4], and on immunological properties of saliva (IgA levels) in non-surgical periodontal therapy in generalized chronic periodontitis (GCP) patients. Adhesion to buccal epithelial cells (BEC) and the antimicrobial properties of HN019 were also investigated.

MATERIALS AND METHODS

Thirty patients were recruited and monitored clinically at baseline (before scaling and root planing-SRP) and after 30 and 90 days. Patients were randomly assigned to Test (SRP+Probiotic, n = 15) or Control (SRP+Placebo, n = 15) group. Probiotic lozenges were used for 30 days. Gingival tissues and saliva were immunologically analyzed. The adhesion of HN019 with or without Porphyromonas gingivalis in BEC and its antimicrobial properties were investigated in in vitro assays. Data were statistically analyzed (p<0.05).

RESULTS

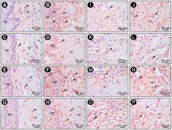
Test group presented lower plaque index (30 days) and lower marginal gingival bleeding (90 days) when compared with Control group. Higher BD-3, TLR4 and CD-4 expressions were observed in gingival tissues in Test group than in Control group. HN019 reduced the adhesion of P. gingivalis to BEC and showed antimicrobial potential against periodontopathogens.

CONCLUSION

Immunological and antimicrobial properties of B. lactis HN019 make it a potential probiotic to be used in non-surgical periodontal therapy of patients with GCP.

CLINICAL RELEVANCE

B. lactis HN019 may be a potential probiotic to improve the effects of non-surgical periodontal therapy. Name of the registry and registration number (ClinicalTrials.gov): "Effects of probiotic therapy in the treatment of periodontitis"-NCT03408548.

摘要

目的

评估动物双歧杆菌亚种。乳双歧杆菌 HN019(HN019)对临床牙周参数(菌斑积聚和牙龈出血)、牙龈组织免疫功能[β-防御素(BD)-3、Toll 样受体 4(TLR4)、分化群(CD)-57 和 CD-4 的表达]以及唾液的免疫特性(IgA 水平)的影响在非手术牙周治疗中的作用在广泛性慢性牙周炎(GCP)患者中。还研究了 HN019 对颊上皮细胞(BEC)的黏附和抗菌特性。

材料和方法

招募了 30 名患者,并在基线(刮治和根面平整前)以及 30 和 90 天后进行临床监测。患者被随机分配到试验(SRP+益生菌,n=15)或对照组(SRP+安慰剂,n=15)。使用益生菌含片 30 天。对牙龈组织和唾液进行免疫分析。在体外试验中研究了 HN019 与牙龈卟啉单胞菌结合或不结合时对 BEC 的黏附及其抗菌特性。对数据进行了统计学分析(p<0.05)。

结果

与对照组相比,试验组的菌斑指数(30 天)和边缘牙龈出血(90 天)较低。与对照组相比,试验组牙龈组织中 BD-3、TLR4 和 CD-4 的表达更高。HN019 减少了牙龈卟啉单胞菌对 BEC 的黏附,并显示出对牙周病原体的抗菌潜力。

结论

B. lactis HN019 的免疫和抗菌特性使其成为 GCP 患者非手术牙周治疗的潜在益生菌。

临床相关性

B. lactis HN019 可能是一种潜在的益生菌,可改善非手术牙周治疗的效果。注册名称和注册号(ClinicalTrials.gov):“益生菌治疗在牙周炎治疗中的作用”-NCT03408548。

https://cdn.ncbi.nlm.nih.gov/pmc/blobs/6d0f/7508403/89dc0439d077/pone.0238425.g001.jpg

文献AI研究员

20分钟写一篇综述,助力文献阅读效率提升50倍。

立即体验

用中文搜PubMed

大模型驱动的PubMed中文搜索引擎

马上搜索

文档翻译

学术文献翻译模型,支持多种主流文档格式。

立即体验