Suppr超能文献

腹腔镜下胆囊胃瘘行胆囊切除术及网膜修补术:一例报告及文献复习

Laparoscopic approach in cholecystogastric fistula with cholecystectomy and omental patching: A case report and review.

作者信息

Nayak Sunil Kumar, Parthasarathi R, Gupta G H V Raghavendra, Palanivelu Chinnusamy

机构信息

GEM Hospital and Research Centre, Coimbatore, Tamil Nadu, India.

出版信息

J Minim Access Surg. 2021 Apr-Jun;17(2):245-248. doi: 10.4103/jmas.JMAS_87_20.

Abstract

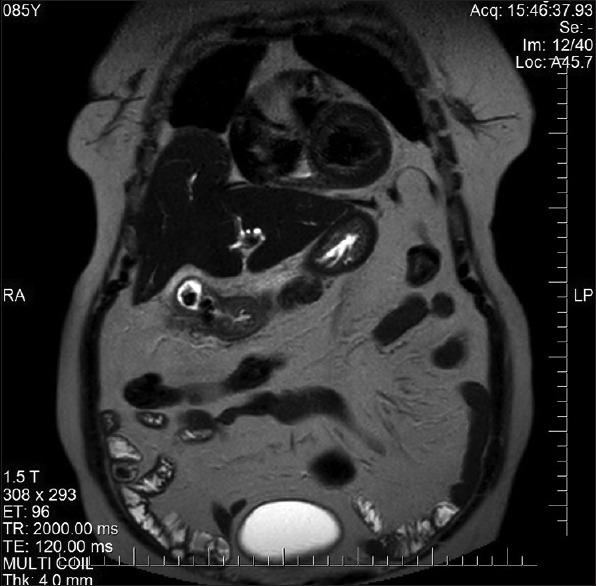
Cholecystoenteric fistulas are rare complications of cholelithiasis, with cholecystogastric fistulas (CGFs) being the rarest. Recommended treatment is surgery; however, select asymptomatic patients can be managed conservatively. The population frequently involved is old age with multiple comorbidities. Open surgery comes with its added morbidities, especially in this subgroup and hence laparoscopic surgery might be beneficial. Sometimes, these fistulas can be incomplete. Here, we describe a case of incomplete CGF managed by laparoscopic cholecystectomy and omental patching along with a brief review of the literature.

摘要

胆囊肠瘘是胆石症的罕见并发症,其中胆囊胃瘘(CGF)最为罕见。推荐的治疗方法是手术;然而,部分无症状患者可进行保守治疗。常涉及的人群是老年且伴有多种合并症。开放手术会带来额外的发病风险,尤其是在这一亚组患者中,因此腹腔镜手术可能有益。有时,这些瘘可能是不完全性的。在此,我们描述一例通过腹腔镜胆囊切除术和网膜修补术治疗的不完全性CGF病例,并对相关文献进行简要回顾。

https://cdn.ncbi.nlm.nih.gov/pmc/blobs/0b7c/8083744/66067b082365/JMAS-17-245-g001.jpg

文献检索

告别复杂PubMed语法,用中文像聊天一样搜索,搜遍4000万医学文献。AI智能推荐,让科研检索更轻松。

立即免费搜索

文件翻译

保留排版,准确专业,支持PDF/Word/PPT等文件格式,支持 12+语言互译。

免费翻译文档

深度研究

AI帮你快速写综述,25分钟生成高质量综述,智能提取关键信息,辅助科研写作。

立即免费体验