Yamani Mariam, Obaid Elaf F, Hemida Amr H
Medicine, Umm Al-Qura University, Mecca, SAU.
Internal Medicine, Al Noor Specialist Hospital, Mecca, SAU.
Cureus. 2020 Aug 24;12(8):e10001. doi: 10.7759/cureus.10001.
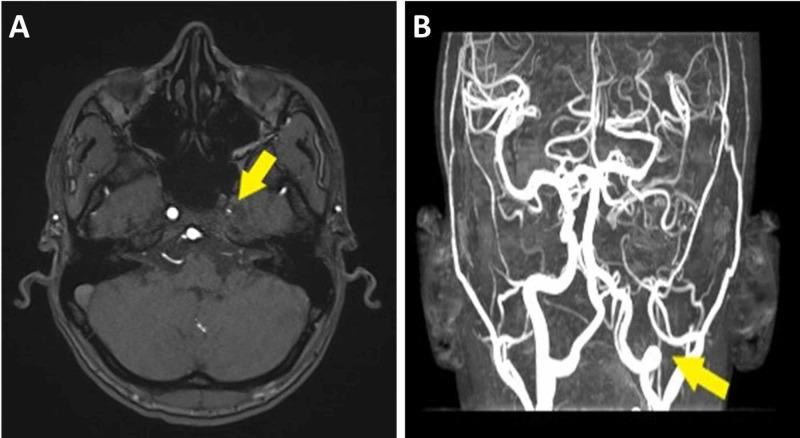
Moyamoya disease (MMD) is an unusual vasculopathy in which the blood vessels of the brain are occluded, resulting in thrombosis. When MMD occurs in association with an underlying pathology, it is known as moyamoya syndrome. The association of moyamoya syndrome with sickle cell disease is uncommon. Herein, we report a case of moyamoya syndrome in a 32-year-old male adult patient.
烟雾病(MMD)是一种罕见的血管病变,其中脑血管闭塞,导致血栓形成。当烟雾病与潜在病理状况相关联时,称为烟雾综合征。烟雾综合征与镰状细胞病的关联并不常见。在此,我们报告一例32岁成年男性患者的烟雾综合征病例。