Suppr超能文献

2016年里约热内卢夏季奥运会参赛运动员膝关节软骨损伤及MRI显示的合并内部紊乱情况

Knee cartilage damage and concomitant internal derangement on MRI in athletes competing at the Rio de Janeiro 2016 Summer Olympics.

作者信息

Ahmad Zohaib, Murakami Akira M, Engebretsen Lars, Jarraya Mohamed, Roemer Frank W, Guermazi Ali, Kompel Andrew J

机构信息

Department of Radiology, Boston University School of Medicine, Boston, MA, United States.

Medical and Scientific Department, International Olympic Committee, Lausanne, Switzerland.

出版信息

Eur J Radiol Open. 2020 Sep 11;7:100258. doi: 10.1016/j.ejro.2020.100258. eCollection 2020.

Abstract

PURPOSE

To report the MRI patterns of knee cartilage damage and concomitant internal derangement in athletes participating at the Rio de Janeiro 2016 Olympic Games.

METHODS

Knee MRIs obtained at the core imaging facility of the International Olympic Committee were blindly, retrospectively reviewed by a board-certified musculoskeletal radiologist for meniscal, ligamentous, and tendon abnormalities. Cartilage assessment was based on the modified Outerbridge criteria.

RESULTS

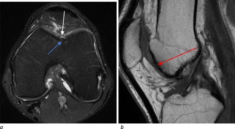
Of 122 athletes who received a knee MRI, 64 (52.4 %) had cartilage damage. Cartilage damage was more prevalent in the patellofemoral compartment (52 athletes, 42.6 %), followed by lateral (23 athletes, 18.9 %) and medial tibiofemoral compartments (12 athletes, 9.8 %). Patellofemoral cartilage damage was most prevalent in beach-volleyball (100 %), followed by volleyball (8 athletes, 66.7 %) and weightlifting (7 athletes, 70 %). Patellofemoral cartilage damage was most prevalent with quadriceps (8 athletes, 72.7 %) and patellar tendinosis (11 athletes, 61.1 %). Medial and lateral tibiofemoral cartilage damage was significantly associated with medial (8 athletes, 29.6 %) and lateral meniscal tears (16 athletes, 55.2 %), respectively. There was a trend for the percentage of athletes with cartilage damage to increase with age.

CONCLUSION

The majority of athletes at the 2016 Rio Summer Olympics who had a knee MRI showed cartilage damage. Patellofemoral compartment cartilage damage was most common and frequently observed in certain sports including volleyball, beach volleyball, and weightlifting. Overuse in these sports can contribute to patellofemoral cartilage damage and subsequent development of anterior knee pain. Cartilage damage was also observed with concomitant meniscal tears and older age.

摘要

目的

报告参加2016年里约热内卢奥运会的运动员膝关节软骨损伤及合并内部紊乱的MRI表现。

方法

由一名获得委员会认证的肌肉骨骼放射科医生对在国际奥委会核心影像设施处获得的膝关节MRI进行盲法、回顾性审查,以评估半月板、韧带和肌腱异常情况。软骨评估基于改良的Outerbridge标准。

结果

在接受膝关节MRI检查的122名运动员中,64名(52.4%)存在软骨损伤。软骨损伤在髌股关节最为常见(52名运动员,42.6%),其次是外侧(23名运动员,18.9%)和内侧胫股关节(12名运动员,9.8%)。髌股关节软骨损伤在沙滩排球运动员中最为常见(100%),其次是排球(8名运动员,66.7%)和举重(7名运动员,70%)。髌股关节软骨损伤在股四头肌损伤(8名运动员,72.7%)和髌腱病(11名运动员,61.1%)中最为常见。内侧和外侧胫股关节软骨损伤分别与内侧半月板撕裂(8名运动员,29.6%)和外侧半月板撕裂(16名运动员,55.2%)显著相关。软骨损伤运动员的百分比有随年龄增加的趋势。

结论

在2016年里约夏季奥运会接受膝关节MRI检查的大多数运动员存在软骨损伤。髌股关节软骨损伤最为常见,在排球、沙滩排球和举重等特定运动中经常观察到。这些运动中的过度使用会导致髌股关节软骨损伤及随后的膝前疼痛。还观察到软骨损伤合并半月板撕裂以及年龄较大的情况。

https://cdn.ncbi.nlm.nih.gov/pmc/blobs/ff50/7495057/451e5acb3f10/gr1.jpg

文献AI研究员

20分钟写一篇综述,助力文献阅读效率提升50倍。

立即体验

用中文搜PubMed

大模型驱动的PubMed中文搜索引擎

马上搜索

文档翻译

学术文献翻译模型,支持多种主流文档格式。

立即体验