• 文献检索
  • 文档翻译
  • 深度研究
  • 学术资讯
  • Suppr Zotero 插件Zotero 插件
  • 邀请有礼
  • 套餐&价格
  • 历史记录
应用&插件
Suppr Zotero 插件Zotero 插件浏览器插件Mac 客户端Windows 客户端微信小程序
定价
高级版会员购买积分包购买API积分包
服务
文献检索文档翻译深度研究API 文档MCP 服务
关于我们
关于 Suppr公司介绍联系我们用户协议隐私条款
关注我们

Suppr 超能文献

核心技术专利:CN118964589B侵权必究
粤ICP备2023148730 号-1Suppr @ 2026

文献检索

告别复杂PubMed语法,用中文像聊天一样搜索,搜遍4000万医学文献。AI智能推荐,让科研检索更轻松。

立即免费搜索

文件翻译

保留排版,准确专业,支持PDF/Word/PPT等文件格式,支持 12+语言互译。

免费翻译文档

深度研究

AI帮你快速写综述,25分钟生成高质量综述,智能提取关键信息,辅助科研写作。

立即免费体验

腹腔镜子宫肌瘤切除术后寄生性平滑肌瘤的穿刺部位植入及其组织病理学

Port-site implantation of parasitic leiomyoma after laparoscopic myomectomy and its histopathology.

作者信息

Kai Kentaro, Aoyagi Yoko, Nishida Masakazu, Arakane Motoki, Kawano Yasushi, Narahara Hisashi

机构信息

Department of Obstetrics and Gynecology, Faculty of Medicine, Oita University, Oita, Japan.

Department of Diagnostic Pathology, Faculty of Medicine, Oita University, Oita, Japan.

出版信息

SAGE Open Med Case Rep. 2020 Sep 18;8:2050313X20959223. doi: 10.1177/2050313X20959223. eCollection 2020.

DOI:10.1177/2050313X20959223
PMID:32995003
原文链接:https://pmc.ncbi.nlm.nih.gov/articles/PMC7502794/
Abstract

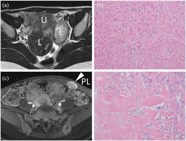
Although parasitic leiomyoma could be spontaneous or iatrogenic in origin, port-site implantation of parasitic leiomyoma is an iatrogenic benign sequela of laparoscopic surgery. A 30-year-old, primigravida Japanese woman was referred after unresponsiveness to preoperative gonadotropin-releasing hormone for intramural fibroids. Magnetic resonance imaging showed multiple intramural fibroids and left ovarian endometrioma with no malignant features. Laparoscopic myomectomy with power morcellation and ovarian cystectomy were performed, followed by treatment with a combined oral contraceptive. Seven years after the primary surgery, she underwent abdominal myomectomy for a port-site, and peritoneal recurrence of the leiomyoma and intramural leiomyomas was detected. Microscopic examination revealed that resected specimens from the port-site demonstrated leiomyoma with lesser cell density and more prominent hyalinization than those from the uterus. Therefore, clinicians should counsel patients regarding the risks and benefits of laparoscopy with morcellation versus laparotomy. Further development of techniques for uterine tissues extraction is warranted.

摘要

尽管寄生性平滑肌瘤的起源可能是自发的或医源性的,但寄生性平滑肌瘤的穿刺孔植入是腹腔镜手术的一种医源性良性后遗症。一名30岁的初产妇日本女性因术前使用促性腺激素释放激素治疗壁间肌瘤无效而前来就诊。磁共振成像显示多个壁间肌瘤和左侧卵巢子宫内膜瘤,无恶性特征。进行了腹腔镜子宫肌瘤切除术和电动粉碎术以及卵巢囊肿切除术,随后使用复方口服避孕药进行治疗。初次手术后七年,她因穿刺孔处的肌瘤接受了腹部子宫肌瘤切除术,并检测到平滑肌瘤和壁间肌瘤的腹膜复发。显微镜检查显示,穿刺孔处切除的标本显示平滑肌瘤的细胞密度低于子宫标本,玻璃样变更明显。因此,临床医生应就腹腔镜粉碎术与开腹手术的风险和益处向患者提供咨询。子宫组织提取技术的进一步发展是必要的。

https://cdn.ncbi.nlm.nih.gov/pmc/blobs/b086/7502794/980f1077a204/10.1177_2050313X20959223-fig1.jpg
https://cdn.ncbi.nlm.nih.gov/pmc/blobs/b086/7502794/980f1077a204/10.1177_2050313X20959223-fig1.jpg
https://cdn.ncbi.nlm.nih.gov/pmc/blobs/b086/7502794/980f1077a204/10.1177_2050313X20959223-fig1.jpg

相似文献

1
Port-site implantation of parasitic leiomyoma after laparoscopic myomectomy and its histopathology.腹腔镜子宫肌瘤切除术后寄生性平滑肌瘤的穿刺部位植入及其组织病理学
SAGE Open Med Case Rep. 2020 Sep 18;8:2050313X20959223. doi: 10.1177/2050313X20959223. eCollection 2020.
2
Port site parasitic leiomyoma after laparoscopic myomectomy: a case report and review of the literature.腹腔镜子宫肌瘤切除术后切口部位寄生性平滑肌瘤:一例病例报告及文献复习
J Med Case Rep. 2018 Nov 15;12(1):339. doi: 10.1186/s13256-018-1873-y.
3
Parasitic leiomyoma in the trocar site after laparoscopic myomectomy: A case report.腹腔镜子宫肌瘤剔除术后套管针穿刺部位的寄生性平滑肌瘤:病例报告
World J Clin Cases. 2022 Mar 26;10(9):2895-2900. doi: 10.12998/wjcc.v10.i9.2895.
4
The management of uterine leiomyomas.子宫平滑肌瘤的管理
J Obstet Gynaecol Can. 2015 Feb;37(2):157-178. doi: 10.1016/S1701-2163(15)30338-8.
5
Iatrogenic parasitic leiomyoma and leiomyomatosis peritonealis disseminata following uterine morcellation.子宫粉碎术后的医源性寄生性平滑肌瘤和播散性腹膜平滑肌瘤病
J Obstet Gynaecol Res. 2016 Aug;42(8):990-9. doi: 10.1111/jog.13011. Epub 2016 Apr 28.
6
Risk of morcellation of uterine leiomyosarcomas in laparoscopic supracervical hysterectomy and laparoscopic myomectomy, a retrospective trial including 4791 women.腹腔镜次全子宫切除术和腹腔镜子宫肌瘤剔除术中子宫平滑肌肉瘤粉碎术的风险:一项纳入4791名女性的回顾性试验
J Minim Invasive Gynecol. 2015 Mar-Apr;22(3):410-4. doi: 10.1016/j.jmig.2014.10.022. Epub 2014 Nov 1.
7
Laparoscopic Resection of a Symptomatic Parasitic Leiomyoma of Paravesical and Obturator Fossa.腹腔镜切除膀胱旁和闭孔窝的症状性寄生平滑肌瘤。
J Minim Invasive Gynecol. 2021 Jul;28(7):1277. doi: 10.1016/j.jmig.2020.08.485. Epub 2020 Sep 2.
8
Power morcellation-induced dissemination of sarcomatous component arising in leiomyoma.子宫肌瘤中平滑肌瘤肉瘤成分因动力粉碎术导致的播散。
J Obstet Gynaecol Res. 2018 Sep;44(9):1843-1849. doi: 10.1111/jog.13694. Epub 2018 Jul 5.
9
Recurrence complicated with peritoneal dissemination after single-port gasless myomectomy for cellular uterine leiomyoma: A case report and literature review.单发免气腹腹腔镜子宫肌瘤剔除术后复发并腹膜播散:1 例病例报告及文献复习。
Medicine (Baltimore). 2024 Mar 15;103(11):e37444. doi: 10.1097/MD.0000000000037444.
10
Tips for Safe Laparoscopic Multiple Myomectomy.腹腔镜下多发性子宫肌瘤切除术的安全要点
J Minim Invasive Gynecol. 2017 Feb;24(2):193. doi: 10.1016/j.jmig.2016.07.012. Epub 2016 Jul 20.

引用本文的文献

1
Diagnosis, treatment and clinical outcomes of extrauterine sites of leiomyomatosis: a systematic review.平滑肌瘤病子宫外部位的诊断、治疗及临床结局:一项系统评价
Ann Med. 2025 Dec;57(1):2546681. doi: 10.1080/07853890.2025.2546681. Epub 2025 Aug 21.
2
Parasitic Leiomyoma at Laparoscopic Trocar Site: A Report of 2 Cases.腹腔镜trocar 部位寄生性平滑肌瘤 2 例报告
Am J Case Rep. 2024 Sep 23;25:e944951. doi: 10.12659/AJCR.944951.
3
Port Site Leiomyoma and Leiomyomatosis Peritonealis Disseminata Following Uncontained Uterine Power Morcellation: A Case Report.

本文引用的文献

1
Port site parasitic leiomyoma after laparoscopic myomectomy: a case report and review of the literature.腹腔镜子宫肌瘤切除术后切口部位寄生性平滑肌瘤:一例病例报告及文献复习
J Med Case Rep. 2018 Nov 15;12(1):339. doi: 10.1186/s13256-018-1873-y.
2
Long-term sequelae of unconfined morcellation during laparoscopic gynecological surgery.腹腔镜妇科手术中未加限制的碎瘤术的长期后遗症。
Maturitas. 2017 Mar;97:1-5. doi: 10.1016/j.maturitas.2016.11.007. Epub 2016 Nov 18.
3
Oestrogen-induced angiogenesis and implantation contribute to the development of parasitic myomas after laparoscopic morcellation.
未控制的子宫动力性碎瘤术后切口部位平滑肌瘤及播散性腹膜平滑肌瘤病:一例报告
J Obstet Gynaecol India. 2023 Apr;73(2):183-188. doi: 10.1007/s13224-022-01699-8. Epub 2023 Feb 4.
4
Unusual Case of a Parasitic Extra-Uterine Leiomyoma Presenting With Lower Abdominal Pain.一例以腹痛为表现的寄生性子宫外平滑肌瘤罕见病例。
Cureus. 2022 Oct 10;14(10):e30141. doi: 10.7759/cureus.30141. eCollection 2022 Oct.
5
Parasitic leiomyoma in the trocar site after laparoscopic myomectomy: A case report.腹腔镜子宫肌瘤剔除术后套管针穿刺部位的寄生性平滑肌瘤:病例报告
World J Clin Cases. 2022 Mar 26;10(9):2895-2900. doi: 10.12998/wjcc.v10.i9.2895.
6
Complications in laparoscopic and robotic-assisted surgery: definitions, classifications, incidence and risk factors - an up-to-date review.腹腔镜手术及机器人辅助手术的并发症:定义、分类、发生率及危险因素——最新综述
Wideochir Inne Tech Maloinwazyjne. 2021 Sep;16(3):501-525. doi: 10.5114/wiitm.2021.108800. Epub 2021 Aug 28.
雌激素诱导的血管生成和植入促进了腹腔镜肌瘤粉碎术后寄生性肌瘤的发展。
Reprod Biol Endocrinol. 2016 Oct 6;14(1):64. doi: 10.1186/s12958-016-0200-y.
4
Spontaneous parasitic leiomyoma in a post-partum woman.
J Obstet Gynaecol Res. 2016 Dec;42(12):1874-1877. doi: 10.1111/jog.13145. Epub 2016 Sep 19.
5
Parasitic leiomyomas: a systematic review.寄生性平滑肌瘤:一项系统评价
Eur J Obstet Gynecol Reprod Biol. 2016 Aug;203:250-9. doi: 10.1016/j.ejogrb.2016.05.025. Epub 2016 Jun 10.
6
Iatrogenic parasitic leiomyoma and leiomyomatosis peritonealis disseminata following uterine morcellation.子宫粉碎术后的医源性寄生性平滑肌瘤和播散性腹膜平滑肌瘤病
J Obstet Gynaecol Res. 2016 Aug;42(8):990-9. doi: 10.1111/jog.13011. Epub 2016 Apr 28.
7
Angiogenesis and Vascularization of Uterine Leiomyoma: Clinical Value of Pseudocapsule Containing Peptides and Neurotransmitters.子宫平滑肌瘤的血管生成与血管化:含肽类和神经递质的假包膜的临床价值
Curr Protein Pept Sci. 2017;18(2):129-139. doi: 10.2174/1389203717666160322150338.
8
Contained tissue extraction using power morcellation: prospective evaluation of leakage parameters.使用电动组织粉碎器进行内容物提取:渗漏参数的前瞻性评估。
Am J Obstet Gynecol. 2016 Feb;214(2):257.e1-257.e6. doi: 10.1016/j.ajog.2015.08.076. Epub 2015 Sep 6.
9
Parasitic myomas may be more common than we think.寄生性肌瘤可能比我们想象的更常见。
BJOG. 2016 Jan;123(1):76. doi: 10.1111/1471-0528.13573. Epub 2015 Sep 3.
10
FIGO classification system (PALM-COEIN) for causes of abnormal uterine bleeding in nongravid women of reproductive age.FIGO 分类系统(PALM-COEIN)用于非妊娠育龄妇女异常子宫出血的病因。
Int J Gynaecol Obstet. 2011 Apr;113(1):3-13. doi: 10.1016/j.ijgo.2010.11.011. Epub 2011 Feb 22.