Suppr超能文献

在转基因D4Z4小鼠中,Dnmt3b以组织依赖的方式调节DUX4的表达。

Dnmt3b regulates DUX4 expression in a tissue-dependent manner in transgenic D4Z4 mice.

作者信息

Bouwman Linde F, den Hamer Bianca, Verveer Elwin P, Lerink Lente J S, Krom Yvonne D, van der Maarel Silvère M, de Greef Jessica C

机构信息

Department of Human Genetics, Leiden University Medical Center, Albinusdreef 2, 2333, ZA, Leiden, The Netherlands.

Department of Neurology, Leiden University Medical Center, Albinusdreef 2, 2333, ZA, Leiden, The Netherlands.

出版信息

Skelet Muscle. 2020 Oct 1;10(1):27. doi: 10.1186/s13395-020-00247-0.

Abstract

BACKGROUND

Facioscapulohumeral muscular dystrophy (FSHD) is a skeletal muscle disorder that is caused by derepression of the transcription factor DUX4 in skeletal muscle cells. Apart from SMCHD1, DNMT3B was recently identified as a disease gene and disease modifier in FSHD. However, the exact role of DNMT3B at the D4Z4 repeat array remains unknown.

METHODS

To determine the role of Dnmt3b on DUX4 repression, hemizygous mice with a FSHD-sized D4Z4 repeat array (D4Z4-2.5 mice) were cross-bred with mice carrying an in-frame exon skipping mutation in Dnmt3b (Dnmt3b mice). Additionally, siRNA knockdowns of Dnmt3b were performed in mouse embryonic stem cells (mESCs) derived from the D4Z4-2.5 mouse model.

RESULTS

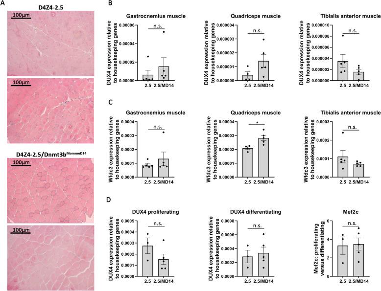
In mESCs derived from D4Z4-2.5 mice, Dnmt3b was enriched at the D4Z4 repeat array and DUX4 transcript levels were upregulated after a knockdown of Dnmt3b. In D4Z4-2.5/Dnmt3b mice, Dnmt3b protein levels were reduced; however, DUX4 RNA levels in skeletal muscles were not enhanced and no pathology was observed. Interestingly, D4Z4-2.5/Dnmt3b mice showed a loss of DNA methylation at the D4Z4 repeat array and significantly higher DUX4 transcript levels in secondary lymphoid organs. As these lymphoid organs seem to be more sensitive to epigenetic modifiers of the D4Z4 repeat array, different immune cell populations were quantified in the spleen and inguinal lymph nodes of D4Z4-2.5 mice crossed with Dnmt3b mice or Smchd1 mice. Only in D4Z4-2.5/Smchd1 mice the immune cell populations were disturbed.

CONCLUSIONS

Our data demonstrates that loss of Dnmt3b results in derepression of DUX4 in lymphoid tissues and mESCs but not in myogenic cells of D4Z4-2.5/Dnmt3b mice. In addition, the Smchd1 variant seems to have a more potent role in DUX4 derepression. Our studies suggest that the immune system is particularly but differentially sensitive to D4Z4 chromatin modifiers which may provide a molecular basis for the yet underexplored immune involvement in FSHD.

摘要

背景

面肩肱型肌营养不良症(FSHD)是一种骨骼肌疾病,由骨骼肌细胞中转录因子DUX4的去抑制引起。除了SMCHD1外,DNMT3B最近被鉴定为FSHD中的疾病基因和疾病修饰因子。然而,DNMT3B在D4Z4重复序列上的确切作用仍不清楚。

方法

为了确定Dnmt3b对DUX4抑制的作用,将具有FSHD大小的D4Z4重复序列的半合子小鼠(D4Z4-2.5小鼠)与携带Dnmt3b框内外显子跳跃突变的小鼠(Dnmt3b小鼠)杂交。此外,在源自D4Z4-2.5小鼠模型的小鼠胚胎干细胞(mESCs)中进行Dnmt3b的siRNA敲低。

结果

在源自D4Z4-2.5小鼠的mESCs中,Dnmt3b在D4Z4重复序列处富集,并且在敲低Dnmt3b后DUX4转录水平上调。在D4Z4-2.5/Dnmt3b小鼠中,Dnmt3b蛋白水平降低;然而,骨骼肌中的DUX4 RNA水平没有升高,也未观察到病理学变化。有趣的是,D4Z4-2.5/Dnmt3b小鼠在D4Z4重复序列处表现出DNA甲基化缺失,并且在次级淋巴器官中DUX4转录水平显著更高。由于这些淋巴器官似乎对D4Z4重复序列的表观遗传修饰剂更敏感,因此在与Dnmt3b小鼠或Smchd1小鼠杂交的D4Z4-2.5小鼠的脾脏和腹股沟淋巴结中对不同的免疫细胞群体进行了定量。只有在D4Z4-2.5/Smchd1小鼠中免疫细胞群体受到干扰。

结论

我们的数据表明,Dnmt3b的缺失导致淋巴组织和mESCs中DUX4的去抑制,但在D4Z4-2.5/Dnmt3b小鼠的成肌细胞中不会。此外,Smchd1变体似乎在DUX4去抑制中具有更强的作用。我们的研究表明,免疫系统对D4Z4染色质修饰剂特别敏感,但敏感性存在差异,这可能为FSHD中尚未充分探索的免疫参与提供分子基础。

https://cdn.ncbi.nlm.nih.gov/pmc/blobs/9012/7528343/5a3fb2271265/13395_2020_247_Fig1_HTML.jpg

文献检索

告别复杂PubMed语法,用中文像聊天一样搜索,搜遍4000万医学文献。AI智能推荐,让科研检索更轻松。

立即免费搜索

文件翻译

保留排版,准确专业,支持PDF/Word/PPT等文件格式,支持 12+语言互译。

免费翻译文档

深度研究

AI帮你快速写综述,25分钟生成高质量综述,智能提取关键信息,辅助科研写作。

立即免费体验