• 文献检索
  • 文档翻译
  • 深度研究
  • 学术资讯
  • Suppr Zotero 插件Zotero 插件
  • 邀请有礼
  • 套餐&价格
  • 历史记录
应用&插件
Suppr Zotero 插件Zotero 插件浏览器插件Mac 客户端Windows 客户端微信小程序
定价
高级版会员购买积分包购买API积分包
服务
文献检索文档翻译深度研究API 文档MCP 服务
关于我们
关于 Suppr公司介绍联系我们用户协议隐私条款
关注我们

Suppr 超能文献

核心技术专利:CN118964589B侵权必究
粤ICP备2023148730 号-1Suppr @ 2026

文献检索

告别复杂PubMed语法,用中文像聊天一样搜索,搜遍4000万医学文献。AI智能推荐,让科研检索更轻松。

立即免费搜索

文件翻译

保留排版,准确专业,支持PDF/Word/PPT等文件格式,支持 12+语言互译。

免费翻译文档

深度研究

AI帮你快速写综述,25分钟生成高质量综述,智能提取关键信息,辅助科研写作。

立即免费体验

不同部位近期皮质下小梗死灶(RSSIs)发生及演变的相关因素

Factors Associated With the Occurrence and Evolution of Recent Small Subcortical Infarcts (RSSIs) in Different Locations.

作者信息

Hong Hui, Zhang Ruiting, Yu Xinfeng, Jiaerken Yeerfan, Wang Shuyue, Luo Xiao, Lou Min, Huang Peiyu, Zhang Minming

机构信息

Department of Radiology, The Second Affiliated Hospital, School of Medicine, Zhejiang University, Hangzhou, China.

Department of Neurology, The Second Affiliated Hospital, School of Medicine, Zhejiang University, Hangzhou, China.

出版信息

Front Aging Neurosci. 2020 Aug 26;12:264. doi: 10.3389/fnagi.2020.00264. eCollection 2020.

DOI:10.3389/fnagi.2020.00264
PMID:33005145
原文链接:https://pmc.ncbi.nlm.nih.gov/articles/PMC7479090/
Abstract

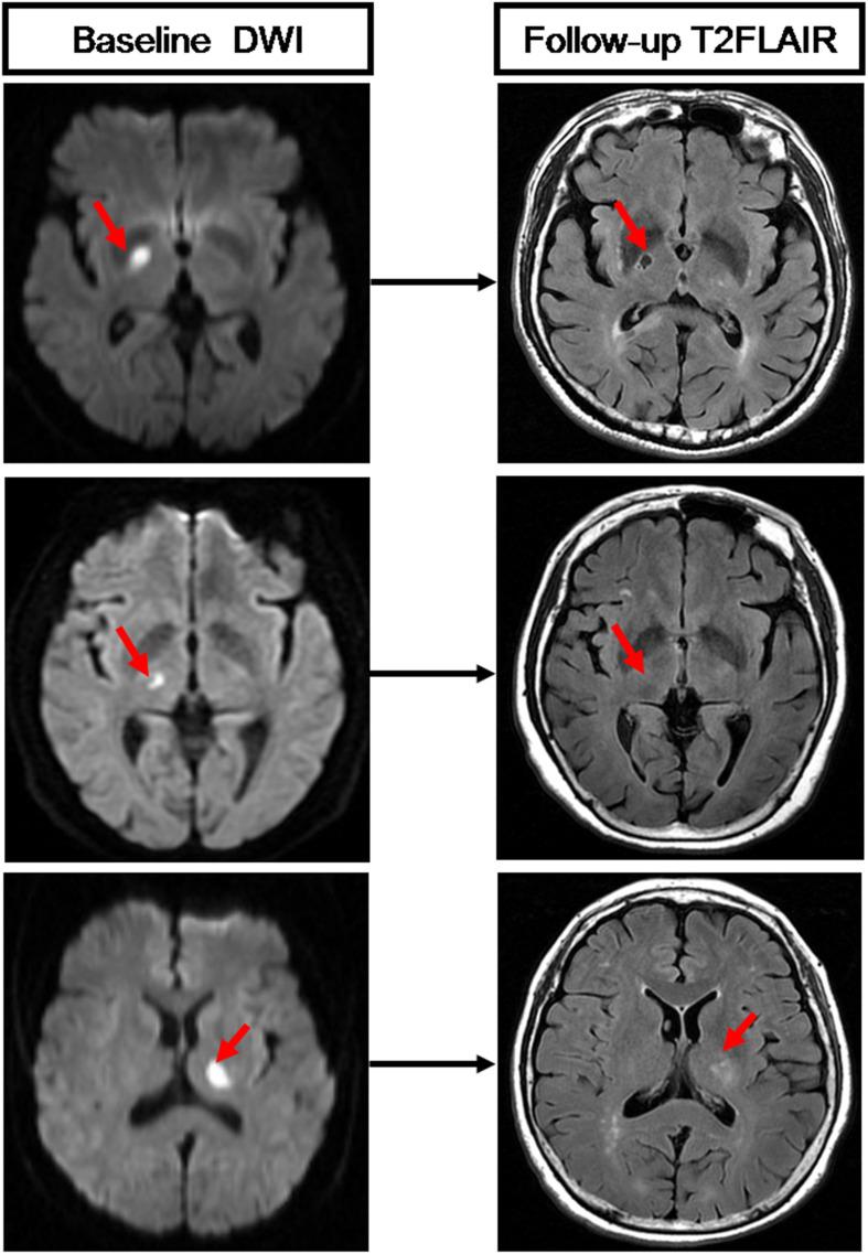
Recent small subcortical infarcts (RSSIs) can occur in different brain regions. Distinct etiologies might be involved for RSSIs in different locations and could further affect RSSI cavitation and functional outcomes. In this study, we aim to analyze the baseline clinical and imaging characteristics associated with the occurrence and cavitation of RSSIs in different locations. We retrospectively include patients who presented with RSSIs from a database for cerebral small vessel disease. Detailed information, including demographic, clinical, laboratory, and radiological data, were collected. We identify baseline RSSIs on diffusion-weighted images and divide them into brainstem, subcortical white matter, and basal ganglia region groups. Cavitation is evaluated on follow-up T2 fluid-attenuated inversion recovery (FLAIR) images. Statistical analysis is performed to determine factors associated with the occurrence and cavitation of RSSIs in different locations. We find that patients with brainstem RSSIs have a higher proportion of diabetes (64.1%) compared to patients with subcortical white matter (27.3%, < 0.001) and basal ganglia region RSSIs (35.2%, = 0.006) and have higher levels of HbA1c (7.20%) compared to patients with subcortical white matter (6.10%, = 0.001) and basal ganglia region RSSIs (6.20%, = 0.003). In addition, patients with brainstem RSSIs have higher NIHSS scores than patients with subcortical white matter RSSIs (2 vs 0, = 0.001). Patients with subcortical white matter RSSIs have higher a white matter hyperintensity (WMH) burden compared to patients with basal ganglia region RSSIs (21.64 cm vs 11.10 cm, = 0.004). Follow-up analysis demonstrates that basal ganglia region RSSIs are less likely to cavitate than subcortical white matter RSSIs (61.4% vs 83.6%, = 0.010), and contacting with WMH is associated with the cavitation of subcortical white matter RSSIs (OR: 101.760, = 0.003). Our study demonstrates that RSSIs in different locations are associated with different clinical and imaging characteristics. Furthermore, cavitation of RSSIs might be affected by local lesion features and the surrounding environment rather than general demographic and clinical factors.

摘要

近期皮质下小梗死灶(RSSIs)可发生于不同脑区。不同部位的RSSIs可能涉及不同病因,且可能进一步影响RSSIs的空洞形成及功能转归。在本研究中,我们旨在分析与不同部位RSSIs的发生及空洞形成相关的基线临床和影像学特征。我们回顾性纳入了来自脑小血管病数据库中出现RSSIs的患者。收集了详细信息,包括人口统计学、临床、实验室及放射学数据。我们在扩散加权图像上识别基线RSSIs,并将其分为脑干、皮质下白质和基底节区组。在随访的T2液体衰减反转恢复(FLAIR)图像上评估空洞形成情况。进行统计分析以确定与不同部位RSSIs的发生及空洞形成相关的因素。我们发现,与皮质下白质RSSIs患者(27.3%,P<0.001)及基底节区RSSIs患者(35.2%,P = 0.006)相比,脑干RSSIs患者糖尿病比例更高(64.1%);与皮质下白质RSSIs患者(6.10%,P = 0.001)及基底节区RSSIs患者(6.20%,P = 0.003)相比,脑干RSSIs患者糖化血红蛋白(HbA1c)水平更高(7.20%)。此外,脑干RSSIs患者的美国国立卫生研究院卒中量表(NIHSS)评分高于皮质下白质RSSIs患者(2分对0分,P = 0.001)。与基底节区RSSIs患者相比,皮质下白质RSSIs患者的白质高信号(WMH)负荷更高(21.64 cm对11.10 cm,P = 0.004)。随访分析表明,基底节区RSSIs比皮质下白质RSSIs空洞形成的可能性更小(61.4%对83.6%,P = 0.010),且与WMH接触与皮质下白质RSSIs的空洞形成相关(比值比:101.760,P = 0.003)。我们的研究表明,不同部位的RSSIs与不同的临床和影像学特征相关。此外,RSSIs的空洞形成可能受局部病变特征及周围环境影响,而非一般人口统计学和临床因素。

https://cdn.ncbi.nlm.nih.gov/pmc/blobs/5a8a/7479090/bdf4aa548d4f/fnagi-12-00264-g004.jpg
https://cdn.ncbi.nlm.nih.gov/pmc/blobs/5a8a/7479090/e1d10d9b0d79/fnagi-12-00264-g001.jpg
https://cdn.ncbi.nlm.nih.gov/pmc/blobs/5a8a/7479090/e5b875bd0059/fnagi-12-00264-g002.jpg
https://cdn.ncbi.nlm.nih.gov/pmc/blobs/5a8a/7479090/7b1b1fd54db7/fnagi-12-00264-g003.jpg
https://cdn.ncbi.nlm.nih.gov/pmc/blobs/5a8a/7479090/bdf4aa548d4f/fnagi-12-00264-g004.jpg
https://cdn.ncbi.nlm.nih.gov/pmc/blobs/5a8a/7479090/e1d10d9b0d79/fnagi-12-00264-g001.jpg
https://cdn.ncbi.nlm.nih.gov/pmc/blobs/5a8a/7479090/e5b875bd0059/fnagi-12-00264-g002.jpg
https://cdn.ncbi.nlm.nih.gov/pmc/blobs/5a8a/7479090/7b1b1fd54db7/fnagi-12-00264-g003.jpg
https://cdn.ncbi.nlm.nih.gov/pmc/blobs/5a8a/7479090/bdf4aa548d4f/fnagi-12-00264-g004.jpg

相似文献

1
Factors Associated With the Occurrence and Evolution of Recent Small Subcortical Infarcts (RSSIs) in Different Locations.不同部位近期皮质下小梗死灶(RSSIs)发生及演变的相关因素
Front Aging Neurosci. 2020 Aug 26;12:264. doi: 10.3389/fnagi.2020.00264. eCollection 2020.
2
Association of total cerebral small vessel disease burden with the cavitation of recent small subcortical infarcts.总脑小血管病负担与近期小皮质下梗死空洞的关系。
Acta Radiol. 2023 Jan;64(1):295-300. doi: 10.1177/02841851211066583. Epub 2021 Dec 13.
3
Are morphologic features of recent small subcortical infarcts related to specific etiologic aspects?近期小的皮质下梗死灶的形态学特征与特定病因学方面有关吗?
Ther Adv Neurol Disord. 2019 Apr 22;12:1756286419835716. doi: 10.1177/1756286419835716. eCollection 2019.
4
Morphologic evolution of recent small sub-cortical infarcts and adjacent white matter in the basal ganglia in a Chinese cohort.中国队列中基底节区近期小皮质下梗死及相邻白质的形态学演变
Chin Med J (Engl). 2020 Oct 5;133(19):2302-2307. doi: 10.1097/CM9.0000000000001041.
5
Prevalence and Predictors of Hemorrhagic Foci on Long-term Follow-up MRI of Recent Single Subcortical Infarcts.近期单发性皮质下梗死长期随访MRI上出血灶的患病率及预测因素
Transl Stroke Res. 2025 Apr;16(2):410-420. doi: 10.1007/s12975-023-01224-7. Epub 2023 Dec 14.
6
Longitudinal MRI dynamics of recent small subcortical infarcts and possible predictors.近期小皮质下梗死的纵向 MRI 动态及其可能的预测因子。
J Cereb Blood Flow Metab. 2019 Sep;39(9):1669-1677. doi: 10.1177/0271678X18775215. Epub 2018 May 8.
7
Interhemispheric characterization of small vessel disease imaging markers after subcortical infarct.皮质下梗死后小血管病影像学标志物的半球间特征。
Brain Behav. 2016 Nov 3;7(1):e00595. doi: 10.1002/brb3.595. eCollection 2017 Jan.
8
[Analysis of related factors affecting evolution of recent small subcortical infarcts with cerebral small vessel disease].[影响近期小皮质下梗死伴脑小血管病演变的相关因素分析]
Zhonghua Yi Xue Za Zhi. 2019 Nov 19;99(43):3420-3423. doi: 10.3760/cma.j.issn.0376-2491.2019.43.014.
9
Predictors of Lesion Cavitation After Recent Small Subcortical Stroke.近期小皮质下卒中后病变空洞化的预测因素。
Transl Stroke Res. 2020 Jun;11(3):402-411. doi: 10.1007/s12975-019-00741-8. Epub 2019 Nov 8.
10
Do Lacunar Infarcts Have Different Aetiologies? Risk Factor Profiles of Lacunar Infarcts in Deep White Matter and Basal Ganglia: The Second Manifestations of ARTerial Disease-Magnetic Resonance Study.腔隙性梗死有不同的病因吗?深部白质和基底节区腔隙性梗死的危险因素概况:动脉疾病磁共振研究的二次表现
Cerebrovasc Dis. 2017;43(3-4):161-168. doi: 10.1159/000454782. Epub 2017 Jan 31.

引用本文的文献

1
Roles of neuroimaging markers and biomarkers in cerebral small vessel disease and their associations with cognitive function.神经影像学标志物和生物标志物在脑小血管病中的作用及其与认知功能的关联。
Front Neurol. 2025 May 1;16:1483842. doi: 10.3389/fneur.2025.1483842. eCollection 2025.
2
Atherogenic and Inflammatory Markers in Recent Small Subcortical Infarcts: Associations with Location, Morphology, and Short-Term Recurrence.近期小皮质下梗死中的致动脉粥样硬化和炎症标志物:与部位、形态及短期复发的关联
J Inflamm Res. 2025 May 1;18:5881-5893. doi: 10.2147/JIR.S511651. eCollection 2025.
3
Cerebral Small Vessel Disease Outperforms Brain Atrophy as an Imaging Biomarker in Diabetic Retinopathy.

本文引用的文献

1
Within-lesion heterogeneity of subcortical DWI lesion evolution, and stroke outcome: A voxel-based analysis.皮层下 DWI 病变演变的病变内异质性与卒中转归:基于体素的分析。
J Cereb Blood Flow Metab. 2020 Jul;40(7):1482-1491. doi: 10.1177/0271678X19865916. Epub 2019 Jul 25.
2
Are morphologic features of recent small subcortical infarcts related to specific etiologic aspects?近期小的皮质下梗死灶的形态学特征与特定病因学方面有关吗?
Ther Adv Neurol Disord. 2019 Apr 22;12:1756286419835716. doi: 10.1177/1756286419835716. eCollection 2019.
3
Evolution of acute lacunar lesions in terms of size and shape: a PICASSO sub-study.
在糖尿病视网膜病变中,脑小血管疾病作为一种影像学生物标志物比脑萎缩表现更优。
J Diabetes. 2025 Feb;17(2):e70058. doi: 10.1111/1753-0407.70058.
急性腔隙性病变大小和形态的演变:PICASSO 子研究。
J Neurol. 2019 Mar;266(3):766-772. doi: 10.1007/s00415-019-09201-7. Epub 2019 Jan 23.
4
Advances in Understanding the Pathophysiology of Lacunar Stroke: A Review.腔隙性卒中病理生理学研究进展:综述。
JAMA Neurol. 2018 Oct 1;75(10):1273-1281. doi: 10.1001/jamaneurol.2018.1073.
5
Progression of White Matter Hyperintensities Contributes to Lacunar Infarction.白质高信号的进展导致腔隙性脑梗死。
Aging Dis. 2018 Jun 1;9(3):444-452. doi: 10.14336/AD.2017.0808. eCollection 2018 Jun.
6
Longitudinal MRI dynamics of recent small subcortical infarcts and possible predictors.近期小皮质下梗死的纵向 MRI 动态及其可能的预测因子。
J Cereb Blood Flow Metab. 2019 Sep;39(9):1669-1677. doi: 10.1177/0271678X18775215. Epub 2018 May 8.
7
Long-Term Morphological Changes of Symptomatic Lacunar Infarcts and Surrounding White Matter on Structural Magnetic Resonance Imaging.症状性腔隙性梗死及周围白质的结构磁共振成像的长期形态学变化。
Stroke. 2018 May;49(5):1183-1188. doi: 10.1161/STROKEAHA.117.020495. Epub 2018 Mar 22.
8
Numerical and length densities of microvessels in the human brain: Correlation with preferential orientation of microvessels in the cerebral cortex, subcortical grey matter and white matter, pons and cerebellum.人类大脑中微血管的数量密度和长度密度:与大脑皮层、皮层下灰质和白质、脑桥及小脑中微血管的优先取向的相关性。
J Chem Neuroanat. 2018 Mar;88:22-32. doi: 10.1016/j.jchemneu.2017.11.005. Epub 2017 Nov 4.
9
Lesion location and cognitive impact of cerebral small vessel disease.脑小血管病的病变位置与认知影响
Clin Sci (Lond). 2017 Apr 25;131(8):715-728. doi: 10.1042/CS20160452.
10
Do Lacunar Infarcts Have Different Aetiologies? Risk Factor Profiles of Lacunar Infarcts in Deep White Matter and Basal Ganglia: The Second Manifestations of ARTerial Disease-Magnetic Resonance Study.腔隙性梗死有不同的病因吗?深部白质和基底节区腔隙性梗死的危险因素概况:动脉疾病磁共振研究的二次表现
Cerebrovasc Dis. 2017;43(3-4):161-168. doi: 10.1159/000454782. Epub 2017 Jan 31.