• 文献检索
  • 文档翻译
  • 深度研究
  • 学术资讯
  • Suppr Zotero 插件Zotero 插件
  • 邀请有礼
  • 套餐&价格
  • 历史记录
应用&插件
Suppr Zotero 插件Zotero 插件浏览器插件Mac 客户端Windows 客户端微信小程序
定价
高级版会员购买积分包购买API积分包
服务
文献检索文档翻译深度研究API 文档MCP 服务
关于我们
关于 Suppr公司介绍联系我们用户协议隐私条款
关注我们

Suppr 超能文献

核心技术专利:CN118964589B侵权必究
粤ICP备2023148730 号-1Suppr @ 2026

文献检索

告别复杂PubMed语法,用中文像聊天一样搜索,搜遍4000万医学文献。AI智能推荐,让科研检索更轻松。

立即免费搜索

文件翻译

保留排版,准确专业,支持PDF/Word/PPT等文件格式,支持 12+语言互译。

免费翻译文档

深度研究

AI帮你快速写综述,25分钟生成高质量综述,智能提取关键信息,辅助科研写作。

立即免费体验

Z-藁本内酯通过抗凋亡和抗氧化途径改善糖尿病大鼠视网膜功能障碍。

Z-Ligustilide Ameliorates Diabetic Rat Retinal Dysfunction Through Anti-Apoptosis and an Antioxidation Pathway.

作者信息

Yang Bing, Ma Guobin, Liu Yang

机构信息

Department of Endocrinology and Metabolism, 3201 Hospital, Xi'an Jiaotong University Health Science Center, Hanzhong, Shaanxi, China (mainland).

出版信息

Med Sci Monit. 2020 Oct 4;26:e925087. doi: 10.12659/MSM.925087.

DOI:10.12659/MSM.925087
PMID:33011733
原文链接:https://pmc.ncbi.nlm.nih.gov/articles/PMC7542994/
Abstract

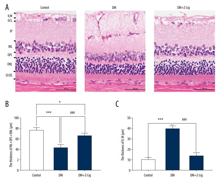
BACKGROUND Diabetic retinopathy (DR) is one of the major causes of vision impairment. Z-ligustilide (3-butylidene-4,5-dihydrophthalide; Z-LIG) is an important volatile oil from the Chinese herb Angelica sinensis (Oliv.) Diels. It has been extensively studied and reportedly has anti-inflammatory, antioxidant, antitumor, analgesic, vasodilatory, and neuroprotective effects. Its effects on DR, however, remain obscure. In this study, we attempted to explore the protective effects of Z-LIG on retinal dysfunction and the potential underlying mechanisms. MATERIAL AND METHODS A diabetic rat model was constructed with streptozotocin injection. Three study groups were constituted: control (CON), diabetic model (DM), and DM+Z-LIG. The DM+Z-LIG group was injected intraperitoneally with 10 mg/kg of Z-LIG. The other groups received the same volume of 3% solution of polysorbate 80. After a 12-week intervention, a series of assessments were performed, including tests for retinal function, morphology, and molecular biology. RESULTS Z-LIG treatment significantly elevated b-wave and OPs2-wave amplitude and thickened the inner layer of the nucleus of the retina, and the outer plexiform and nuclear layers (INL+OPL+ONL). Moreover, the rate of apoptosis and expression of bcl-2- associated X protein (BAX) and cleaved-Caspase-3 were clearly reduced, and the expression of bcl-2 was raised by Z-LIG in retinas of diabetic mice. In addition, the levels of retinal proinflammatory cytokines interleukin-1 and tumor necrosis factor-alpha were downregulated by Z-LIG. Furthermore, Z-LIG inhibited expression of vascular endothelial growth factor-alpha (VEGF-alpha) at the mRNA and protein levels. CONCLUSIONS Z-LIG can inhibit inflammatory response and cell apoptosis in retinas of diabetic rats by repressing the VEGF-alpha pathway. Therefore, it may serve as a potential therapeutic agent for DR.

摘要

背景 糖尿病性视网膜病变(DR)是视力损害的主要原因之一。Z-藁本内酯(3-亚丁基-4,5-二氢苯酞;Z-LIG)是中药当归中的一种重要挥发油。它已被广泛研究,据报道具有抗炎、抗氧化、抗肿瘤、镇痛、血管舒张和神经保护作用。然而,其对DR的影响仍不清楚。在本研究中,我们试图探讨Z-LIG对视网膜功能障碍的保护作用及其潜在的机制。

材料与方法 通过注射链脲佐菌素构建糖尿病大鼠模型。组成三个研究组:对照组(CON)、糖尿病模型组(DM)和DM+Z-LIG组。DM+Z-LIG组腹腔注射10mg/kg的Z-LIG。其他组接受相同体积的3%聚山梨酯80溶液。经过12周的干预后,进行了一系列评估,包括视网膜功能、形态学和分子生物学检测。

结果 Z-LIG治疗显著提高了b波和OPs2波振幅,并使视网膜内核层、外网状层和核层(INL+OPL+ONL)增厚。此外,Z-LIG明显降低了糖尿病小鼠视网膜中凋亡率以及bcl-2相关X蛋白(BAX)和裂解的半胱天冬酶-3的表达,并提高了bcl-2的表达。此外,Z-LIG下调了视网膜促炎细胞因子白细胞介素-1和肿瘤坏死因子-α的水平。此外,Z-LIG在mRNA和蛋白质水平上抑制血管内皮生长因子-α(VEGF-α)的表达。

结论 Z-LIG可通过抑制VEGF-α途径抑制糖尿病大鼠视网膜的炎症反应和细胞凋亡。因此,它可能成为DR的一种潜在治疗药物。

https://cdn.ncbi.nlm.nih.gov/pmc/blobs/c4a0/7542994/707a78651e82/medscimonit-26-e925087-g006.jpg
https://cdn.ncbi.nlm.nih.gov/pmc/blobs/c4a0/7542994/0c3d8eb3f3b2/medscimonit-26-e925087-g001.jpg
https://cdn.ncbi.nlm.nih.gov/pmc/blobs/c4a0/7542994/9f691cc88847/medscimonit-26-e925087-g002.jpg
https://cdn.ncbi.nlm.nih.gov/pmc/blobs/c4a0/7542994/4318a6ffe728/medscimonit-26-e925087-g003.jpg
https://cdn.ncbi.nlm.nih.gov/pmc/blobs/c4a0/7542994/8dd0bffa8927/medscimonit-26-e925087-g004.jpg
https://cdn.ncbi.nlm.nih.gov/pmc/blobs/c4a0/7542994/fe3d0c461643/medscimonit-26-e925087-g005.jpg
https://cdn.ncbi.nlm.nih.gov/pmc/blobs/c4a0/7542994/707a78651e82/medscimonit-26-e925087-g006.jpg
https://cdn.ncbi.nlm.nih.gov/pmc/blobs/c4a0/7542994/0c3d8eb3f3b2/medscimonit-26-e925087-g001.jpg
https://cdn.ncbi.nlm.nih.gov/pmc/blobs/c4a0/7542994/9f691cc88847/medscimonit-26-e925087-g002.jpg
https://cdn.ncbi.nlm.nih.gov/pmc/blobs/c4a0/7542994/4318a6ffe728/medscimonit-26-e925087-g003.jpg
https://cdn.ncbi.nlm.nih.gov/pmc/blobs/c4a0/7542994/8dd0bffa8927/medscimonit-26-e925087-g004.jpg
https://cdn.ncbi.nlm.nih.gov/pmc/blobs/c4a0/7542994/fe3d0c461643/medscimonit-26-e925087-g005.jpg
https://cdn.ncbi.nlm.nih.gov/pmc/blobs/c4a0/7542994/707a78651e82/medscimonit-26-e925087-g006.jpg

相似文献

1
Z-Ligustilide Ameliorates Diabetic Rat Retinal Dysfunction Through Anti-Apoptosis and an Antioxidation Pathway.Z-藁本内酯通过抗凋亡和抗氧化途径改善糖尿病大鼠视网膜功能障碍。
Med Sci Monit. 2020 Oct 4;26:e925087. doi: 10.12659/MSM.925087.
2
Ligustilide alleviates the insulin resistance, lipid accumulation, and pathological injury with elevated phosphorylated AMPK level in rats with diabetes mellitus.川芎内酯通过提高糖尿病大鼠磷酸化 AMPK 水平缓解胰岛素抵抗、脂质积累和病理损伤。
J Recept Signal Transduct Res. 2021 Feb;41(1):85-92. doi: 10.1080/10799893.2020.1789877. Epub 2020 Jul 9.
3
Danhong Huayu Koufuye Prevents Diabetic Retinopathy in Streptozotocin-Induced Diabetic Rats via Antioxidation and Anti-Inflammation.丹红化瘀口服液通过抗氧化和抗炎作用预防链脲佐菌素诱导的糖尿病大鼠的糖尿病视网膜病变。
Mediators Inflamm. 2017;2017:3059763. doi: 10.1155/2017/3059763. Epub 2017 May 30.
4
Protection against hydrogen peroxide-induced injury by Z-ligustilide in PC12 cells.Z-藁本内酯对过氧化氢诱导的PC12细胞损伤的保护作用。
Exp Brain Res. 2008 Jan;184(3):307-12. doi: 10.1007/s00221-007-1100-3. Epub 2007 Aug 24.
5
Effect of endothelin dual receptor antagonist on VEGF levels in streptozotocin-induced diabetic rat retina.内皮素双重受体拮抗剂对链脲佐菌素诱导的糖尿病大鼠视网膜中血管内皮生长因子水平的影响。
Exp Biol Med (Maywood). 2006 Jun;231(6):1090-4.
6
HMGB1 siRNA can reduce damage to retinal cells induced by high glucose in vitro and in vivo.高迁移率族蛋白B1(HMGB1)小干扰RNA(siRNA)在体内外均可减轻高糖对视网膜细胞造成的损伤。
Drug Des Devel Ther. 2017 Mar 15;11:783-795. doi: 10.2147/DDDT.S129913. eCollection 2017.
7
Retinal neuroprotective effects of quercetin in streptozotocin-induced diabetic rats.槲皮素对链脲佐菌素诱导的糖尿病大鼠视网膜神经保护作用。
Exp Eye Res. 2014 Aug;125:193-202. doi: 10.1016/j.exer.2014.06.009. Epub 2014 Jun 18.
8
Z-Ligustilide Selectively Targets AML by Restoring Nuclear Receptors Nur77 and NOR-1-mediated Apoptosis and Differentiation.Z-藁本内酯通过恢复核受体 Nur77 和 NOR-1 介导的凋亡和分化来选择性靶向 AML。
Phytomedicine. 2021 Feb;82:153448. doi: 10.1016/j.phymed.2020.153448. Epub 2020 Dec 25.
9
Effects of alpha-lipoic acid on retinal ganglion cells, retinal thicknesses, and VEGF production in an experimental model of diabetes.α-硫辛酸对糖尿病实验模型中视网膜神经节细胞、视网膜厚度及血管内皮生长因子生成的影响
Int Ophthalmol. 2017 Dec;37(6):1269-1278. doi: 10.1007/s10792-016-0396-z. Epub 2016 Nov 15.
10
Ligustilide attenuates nitric oxide-induced apoptosis in rat chondrocytes and cartilage degradation via inhibiting JNK and p38 MAPK pathways.川芎内酯通过抑制 JNK 和 p38 MAPK 通路减轻一氧化氮诱导的大鼠软骨细胞凋亡和软骨降解。
J Cell Mol Med. 2019 May;23(5):3357-3368. doi: 10.1111/jcmm.14226. Epub 2019 Feb 15.

引用本文的文献

1
Formulation and characterization of cholesterol-based nanoparticles of gabapentin protecting from retinal injury.加巴喷丁胆固醇基纳米粒的制备及其对视网膜损伤的保护作用表征
Front Chem. 2024 Oct 21;12:1449380. doi: 10.3389/fchem.2024.1449380. eCollection 2024.
2
Chinese Herbal Medicine Combined with Intravitreal Antivascular Growth Factor Agents in Treatment of Macular Edema Secondary to Retinal Vein Occlusion: A Systematic Review and Meta-Analysis.中药联合玻璃体内抗血管生成因子药物治疗视网膜静脉阻塞继发黄斑水肿的系统评价与Meta分析
J Ophthalmol. 2022 Dec 28;2022:4823677. doi: 10.1155/2022/4823677. eCollection 2022.
3

本文引用的文献

1
Ligustilide Ameliorates the Permeability of the Blood-Brain Barrier Model In Vitro During Oxygen-Glucose Deprivation Injury Through HIF/VEGF Pathway.川芎内酯通过 HIF/VEGF 通路减轻体外氧葡萄糖剥夺损伤血脑屏障模型的通透性。
J Cardiovasc Pharmacol. 2019 May;73(5):316-325. doi: 10.1097/FJC.0000000000000664.
2
The Oxidative Stress and Mitochondrial Dysfunction during the Pathogenesis of Diabetic Retinopathy.糖尿病视网膜病变发病过程中的氧化应激与线粒体功能障碍。
Oxid Med Cell Longev. 2018 Sep 5;2018:3420187. doi: 10.1155/2018/3420187. eCollection 2018.
3
Protective effect of the ethanol extract from Ligusticum chuanxiong rhizome against streptozotocin-induced diabetic nephropathy in mice.
Effectiveness and safety of traditional Chinese medicine for diabetic retinopathy: A systematic review and network meta-analysis of randomized clinical trials.
中药治疗糖尿病视网膜病变的有效性和安全性:随机临床试验的系统评价与网状Meta分析
World J Diabetes. 2023 Sep 15;14(9):1422-1449. doi: 10.4239/wjd.v14.i9.1422.
4
An Ethnopharmaceutical Study on the Hypolipidemic Formulae in Taiwan Issued by Traditional Chinese Medicine Pharmacies.一项关于台湾中药房所售降血脂配方的民族药学研究。
Front Pharmacol. 2022 Sep 15;13:900693. doi: 10.3389/fphar.2022.900693. eCollection 2022.
5
Ligustilide Improves Cognitive Impairment via Regulating the SIRT1/IRE1/XBP1s/CHOP Pathway in Vascular Dementia Rats.川芎内酯通过调节血管性痴呆大鼠的 SIRT1/IRE1/XBP1s/CHOP 通路改善认知障碍。
Oxid Med Cell Longev. 2022 Aug 16;2022:6664990. doi: 10.1155/2022/6664990. eCollection 2022.
6
Sprouty-related proteins with EVH1 domain (SPRED2) prevents high-glucose induced endothelial-mesenchymal transition and endothelial injury by suppressing MAPK activation. sprouty 相关蛋白具有 EVH1 结构域 (SPRED2),通过抑制 MAPK 激活,防止高糖诱导的内皮-间质转化和内皮损伤。
Bioengineered. 2022 May;13(5):13882-13892. doi: 10.1080/21655979.2022.2086351.
川芎乙醇提取物对链脲佐菌素诱导的糖尿病肾病小鼠的保护作用。
J Ethnopharmacol. 2018 Dec 5;227:166-175. doi: 10.1016/j.jep.2018.08.037. Epub 2018 Sep 1.
4
Müller glial dysfunction during diabetic retinopathy in rats is reduced by the acrolein-scavenging drug, 2-hydrazino-4,6-dimethylpyrimidine.醛类清除药物 2-氨基-4,6-二甲基嘧啶可减少糖尿病大鼠视网膜病变中的 Müller 胶质细胞功能障碍。
Diabetologia. 2018 Dec;61(12):2654-2667. doi: 10.1007/s00125-018-4707-y. Epub 2018 Aug 15.
5
A Natural Occurring Mouse Model with Adgrv1 Mutation of Usher Syndrome 2C and Characterization of its Recombinant Inbred Strains.一种自然发生的伴有2C型Usher综合征的Adgrv1突变的小鼠模型及其重组近交系的特征分析。
Cell Physiol Biochem. 2018;47(5):1883-1897. doi: 10.1159/000491068. Epub 2018 Jun 29.
6
Decreased Retinal Thickness in Type 1 Diabetic Children with Signs of Nonproliferative Diabetic Retinopathy.患有非增殖性糖尿病视网膜病变体征的1型糖尿病儿童视网膜厚度降低
Int J Endocrinol. 2018 Apr 26;2018:1078531. doi: 10.1155/2018/1078531. eCollection 2018.
7
Role of Inflammation in Diabetic Retinopathy.炎症在糖尿病视网膜病变中的作用。
Int J Mol Sci. 2018 Mar 22;19(4):942. doi: 10.3390/ijms19040942.
8
IDF Diabetes Atlas: Global estimates of diabetes prevalence for 2017 and projections for 2045.国际糖尿病联盟(IDF)糖尿病地图集:2017 年全球糖尿病患病率估计数和 2045 年预测值。
Diabetes Res Clin Pract. 2018 Apr;138:271-281. doi: 10.1016/j.diabres.2018.02.023. Epub 2018 Feb 26.
9
Animal Models of Diabetic Retinopathy.糖尿病视网膜病变的动物模型
Curr Diab Rep. 2017 Aug 24;17(10):93. doi: 10.1007/s11892-017-0913-0.
10
Transcription factors regulate GPR91-mediated expression of VEGF in hypoxia-induced retinopathy.转录因子调节低氧诱导性视网膜病变中 GPR91 介导的 VEGF 表达。
Sci Rep. 2017 Apr 4;7:45807. doi: 10.1038/srep45807.