Suppr超能文献

白细胞介素-2 (IL-2) 与白细胞介素-2 受体β (IL-2Rβ) 相互作用:增强牙鲆 ( ) CD4+ T 淋巴细胞增殖的潜力。

Interleukin-2 (IL-2) Interacts With IL-2 Receptor Beta (IL-2Rβ): Its Potential to Enhance the Proliferation of CD4+ T Lymphocytes in Flounder ().

机构信息

Laboratory of Pathology and Immunology of Aquatic Animals, KLMME, Ocean University of China, Qingdao, China.

Laboratory for Marine Fisheries Science and Food Production Processes, Qingdao National Laboratory for Marine Science and Technology, Qingdao, China.

出版信息

Front Immunol. 2020 Sep 9;11:531785. doi: 10.3389/fimmu.2020.531785. eCollection 2020.

Abstract

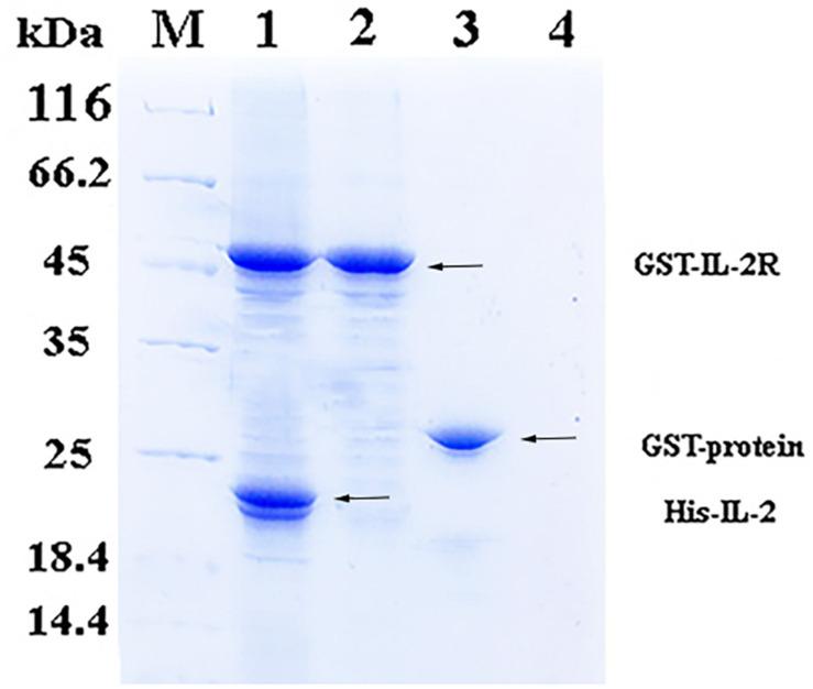
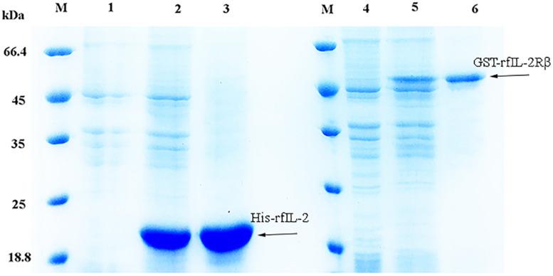
Interleukin-2 (IL-2) is an important immunomodulatory cytokine that primarily promotes the activation, proliferation, and differentiation of CD4+ T helper subsets and CD4+ T regulatory cells. In our previous studies, IL-2 and IL-2 receptor beta (IL-2Rβ) genes of flounder () were cloned, and IL-2Rβ molecules expressed on both B and T lymphocytes were identified. In the present study, the interaction of flounder IL-2 (fIL-2) with the IL-2 receptor beta (fIL-2Rβ) was investigated. The proportion of CD4+ T lymphocytes and IL-2Rβ+ cells were detected both and . Firstly, the binding of recombinant flounder IL-2 protein (rfIL-2) and rfIL-2Rβ was verified by pull-down assay and enzyme-linked immunosorbent assay. Indirect immunofluorescence assay showed that rfIL-2 enhanced the proliferation of CD4+ and IL-2Rβ+ cells in the gill and spleen. Furthermore, CD4-1+, CD4-2+ T lymphocytes and IL-2Rβ+ cells were significantly upregulated in cultured peripheral blood lymphocytes (PBLs) with addition of rfIL-2, as shown by Flow cytometry. The related genes were examined by Q-PCR in cultured PBLs with added rfIL-2. The results showed that the IL-2-IL-2R interaction induced upregulated expression of T lymphocyte surface makers, Th1-related cytokines or transcription factors, and critical genes of the IL-2 signaling pathway. In addition, these IL-2-elicited biological functions and immune responses were downregulated by blocked with anti-rfIL-2Rβ and anti-rfIL-2 Abs, showing that IL-2Rβ plays an indispensable role in IL-2 elicited biological function. Our results demonstrated that the interaction between IL-2 and IL-2Rβ showed its potential to enhance the proliferation of CD4+ T lymphocytes in flounder. As found in mammals, a Th1-mediated mechanism regulated by this interaction exists in teleost.

摘要

白细胞介素 2(IL-2)是一种重要的免疫调节细胞因子,主要促进 CD4+T 辅助亚群和 CD4+T 调节细胞的激活、增殖和分化。在我们之前的研究中,我们克隆了牙鲆的 IL-2(fIL-2)和 IL-2 受体β(IL-2Rβ)基因,并鉴定了在 B 和 T 淋巴细胞上表达的 IL-2Rβ 分子。在本研究中,我们研究了牙鲆白细胞介素 2(fIL-2)与 IL-2 受体β(fIL-2Rβ)的相互作用。我们检测了 和 时 CD4+T 淋巴细胞和 IL-2Rβ+细胞的比例。首先,通过下拉实验和酶联免疫吸附试验验证了重组牙鲆白细胞介素 2 蛋白(rfIL-2)和 rfIL-2Rβ 的结合。间接免疫荧光实验表明,rfIL-2 增强了鳃和脾脏中 CD4+和 IL-2Rβ+细胞的增殖。此外,流式细胞术显示,在添加 rfIL-2 的培养外周血淋巴细胞(PBLs)中,CD4-1+、CD4-2+T 淋巴细胞和 IL-2Rβ+细胞明显上调。在添加 rfIL-2 的培养 PBLs 中,通过 Q-PCR 检查相关基因。结果表明,IL-2-IL-2R 相互作用诱导了 T 淋巴细胞表面标志物、Th1 相关细胞因子或转录因子以及 IL-2 信号通路关键基因的上调表达。此外,这些由 IL-2 引发的生物学功能和免疫反应被抗-rfIL-2Rβ 和抗-rfIL-2 Abs 阻断,表明 IL-2Rβ 在 IL-2 引发的生物学功能中发挥不可或缺的作用。我们的结果表明,IL-2 与 IL-2Rβ 的相互作用显示其有潜力增强牙鲆 CD4+T 淋巴细胞的增殖。与哺乳动物一样,在鱼类中存在一种由这种相互作用调节的 Th1 介导的机制。

https://cdn.ncbi.nlm.nih.gov/pmc/blobs/c331/7509493/004107f6795a/fimmu-11-531785-g001.jpg

文献检索

告别复杂PubMed语法,用中文像聊天一样搜索,搜遍4000万医学文献。AI智能推荐,让科研检索更轻松。

立即免费搜索

文件翻译

保留排版,准确专业,支持PDF/Word/PPT等文件格式,支持 12+语言互译。

免费翻译文档

深度研究

AI帮你快速写综述,25分钟生成高质量综述,智能提取关键信息,辅助科研写作。

立即免费体验