• 文献检索
  • 文档翻译
  • 深度研究
  • 学术资讯
  • Suppr Zotero 插件Zotero 插件
  • 邀请有礼
  • 套餐&价格
  • 历史记录
应用&插件
Suppr Zotero 插件Zotero 插件浏览器插件Mac 客户端Windows 客户端微信小程序
定价
高级版会员购买积分包购买API积分包
服务
文献检索文档翻译深度研究API 文档MCP 服务
关于我们
关于 Suppr公司介绍联系我们用户协议隐私条款
关注我们

Suppr 超能文献

核心技术专利:CN118964589B侵权必究
粤ICP备2023148730 号-1Suppr @ 2026

文献检索

告别复杂PubMed语法,用中文像聊天一样搜索,搜遍4000万医学文献。AI智能推荐,让科研检索更轻松。

立即免费搜索

文件翻译

保留排版,准确专业,支持PDF/Word/PPT等文件格式,支持 12+语言互译。

免费翻译文档

深度研究

AI帮你快速写综述,25分钟生成高质量综述,智能提取关键信息,辅助科研写作。

立即免费体验

脑脊液中检测到携带EGFR基因第18外显子p.G719A突变的肺腺癌软脑膜转移患者使用阿法替尼治疗有效:一例报告

Effective Treatment With Afatinib of Lung Adenocarcinoma With Leptomeningeal Metastasis Harboring the Exon 18 p.G719A Mutation in the EGFR Gene Was Detected in Cerebrospinal Fluid: A Case Report.

作者信息

Ma Chunhua, Wang Shuyuan, Mu Ning, Li Jinduo, Liu Mei, Li Lin, Jiang Rong

机构信息

Tianjin Key Laboratory of Cerebrovascular and Neurodegenerative Disease, Department of Intervention, Tianjin Huanhu Hospital, Tianjin, China.

Tianjin Key Laboratory of Cerebrovascular and Neurodegenerative Disease, Department of Neurosurgery, Tianjin Huanhu Hospital, Tianjin, China.

出版信息

Front Oncol. 2020 Sep 8;10:1635. doi: 10.3389/fonc.2020.01635. eCollection 2020.

DOI:10.3389/fonc.2020.01635
PMID:33014823
原文链接:https://pmc.ncbi.nlm.nih.gov/articles/PMC7506151/
Abstract

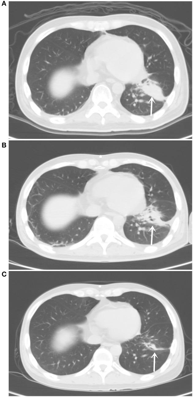
In patients with lung adenocarcinoma and leptomeningeal metastases, it remains unknown whether non-classical mutations in the epidermal growth factor receptor (EGFR) gene can be detected in the cerebrospinal fluid (CSF) and how it may be used to design directed therapy. On April 18, 2018, the Interventional Department of Tianjin Huanhu Hospital admitted a 34-years-old male patient with lung adenocarcinoma and leptomeningeal metastasis. An emergency lateral ventriculoperitoneal shunt was performed to relieve the clinical symptoms of intracranial hypertension. Next-generation sequencing (NGS) of the CFS specimens revealed a mutation in EGFR exon 18 p.G719A, and afatinib was administered. Follow-up showed significantly relieved headache, with significantly reduced soft leptomeningeal abnormal enhancement as revealed by enhanced magnetic resonance imaging and significantly smaller tumors in the left lung by chest computed tomography. Carcinoembryonic antigens (CEAs) in cerebrospinal fluid and peripheral blood were significantly reduced. The patient responded well to afatinib, with mild adverse complications. The patient died on October 27, 2019 from respiratory failure as a result of lung infection unrelated to cancer progression. The overall survival (OS) using afatinib was 530 days. CSF can be used as a liquid biopsy for NGS gene detection in patients with lung adenocarcinoma and leptomeningeal metastases. Afatinib exhibits a beneficial effect in patients with lung adenocarcinoma and leptomeningeal metastases harboring the EGFR exon 18 p.G719A mutation.

摘要

在肺腺癌合并软脑膜转移的患者中,目前尚不清楚脑脊液(CSF)中是否能检测到表皮生长因子受体(EGFR)基因的非经典突变,以及如何利用这些突变来设计靶向治疗方案。2018年4月18日,天津环湖医院介入科收治了一名34岁的男性肺腺癌合并软脑膜转移患者。紧急进行了侧脑室腹腔分流术以缓解颅内高压的临床症状。对脑脊液标本进行二代测序(NGS)发现EGFR基因第18外显子存在p.G719A突变,随后给予阿法替尼治疗。随访结果显示,患者头痛明显缓解,增强磁共振成像显示软脑膜异常强化明显减轻,胸部计算机断层扫描显示左肺肿瘤明显缩小。脑脊液和外周血中的癌胚抗原(CEA)显著降低。患者对阿法替尼反应良好,出现轻度不良并发症。患者于2019年10月27日因与癌症进展无关的肺部感染导致呼吸衰竭死亡。使用阿法替尼治疗的总生存期(OS)为530天。脑脊液可作为肺腺癌合并软脑膜转移患者进行NGS基因检测的液体活检样本。阿法替尼对携带EGFR基因第18外显子p.G719A突变的肺腺癌合并软脑膜转移患者具有有益疗效。

https://cdn.ncbi.nlm.nih.gov/pmc/blobs/f94b/7506151/aad675531843/fonc-10-01635-g0003.jpg
https://cdn.ncbi.nlm.nih.gov/pmc/blobs/f94b/7506151/b1bce2045386/fonc-10-01635-g0001.jpg
https://cdn.ncbi.nlm.nih.gov/pmc/blobs/f94b/7506151/ff235cb89cdc/fonc-10-01635-g0002.jpg
https://cdn.ncbi.nlm.nih.gov/pmc/blobs/f94b/7506151/aad675531843/fonc-10-01635-g0003.jpg
https://cdn.ncbi.nlm.nih.gov/pmc/blobs/f94b/7506151/b1bce2045386/fonc-10-01635-g0001.jpg
https://cdn.ncbi.nlm.nih.gov/pmc/blobs/f94b/7506151/ff235cb89cdc/fonc-10-01635-g0002.jpg
https://cdn.ncbi.nlm.nih.gov/pmc/blobs/f94b/7506151/aad675531843/fonc-10-01635-g0003.jpg

相似文献

1
Effective Treatment With Afatinib of Lung Adenocarcinoma With Leptomeningeal Metastasis Harboring the Exon 18 p.G719A Mutation in the EGFR Gene Was Detected in Cerebrospinal Fluid: A Case Report.脑脊液中检测到携带EGFR基因第18外显子p.G719A突变的肺腺癌软脑膜转移患者使用阿法替尼治疗有效:一例报告
Front Oncol. 2020 Sep 8;10:1635. doi: 10.3389/fonc.2020.01635. eCollection 2020.
2
Afatinib for Advanced Non-small Cell Lung Cancer in a Case With an Uncommon Epidermal Growth Factor Receptor Mutation (G719A) Identified in the Cerebrospinal Fluid.阿法替尼用于脑脊液中发现罕见表皮生长因子受体突变(G719A)的晚期非小细胞肺癌患者。
Front Oncol. 2019 Jul 23;9:628. doi: 10.3389/fonc.2019.00628. eCollection 2019.
3
Efficacy of afatinib for pulmonary adenocarcinoma with leptomeningeal metastases harboring an epidermal growth factor receptor complex mutation (exon 19del+K754E): A case report.阿法替尼治疗伴有软脑膜转移且携带表皮生长因子受体复合突变(外显子19缺失+K754E)的肺腺癌的疗效:一例报告
Medicine (Baltimore). 2020 Oct 23;99(43):e22851. doi: 10.1097/MD.0000000000022851.
4
Cerebrospinal Fluid Penetration Rate and Efficacy of Afatinib in Patients with EGFR Mutation-positive Non-small Cell Lung Cancer with Leptomeningeal Carcinomatosis: A Multicenter Prospective Study.阿法替尼在伴有软脑膜癌病的EGFR突变阳性非小细胞肺癌患者中的脑脊液穿透率及疗效:一项多中心前瞻性研究
Anticancer Res. 2017 Aug;37(8):4177-4182. doi: 10.21873/anticanres.11806.
5
EGFR (p. G719A+L747V)/EML4-ALK Co-alterations in Lung Adenocarcinoma with Leptomeningeal Metastasis Responding to Afatinib Treatment: A Case Report.表皮生长因子受体(p.G719A+L747V)/棘皮动物微管相关蛋白样4-间变性淋巴瘤激酶共改变的肺腺癌伴软脑膜转移对阿法替尼治疗有反应:一例报告
Onco Targets Ther. 2021 Apr 23;14:2823-2828. doi: 10.2147/OTT.S294635. eCollection 2021.
6
Erlotinib and bevacizumab combination therapy for afatinib-refractory leptomeningeal carcinomatosis from EGFR-mutated lung cancer.厄洛替尼与贝伐单抗联合治疗EGFR突变型肺癌导致的阿法替尼耐药性软脑膜癌病
Int Cancer Conf J. 2019 Jan 18;8(2):81-85. doi: 10.1007/s13691-019-00358-6. eCollection 2019 Apr.
7
Epidermal Growth Factor Receptor Mutation Detection in Cerebrospinal Fluid of Lung Adenocarcinoma Patients with Leptomeningeal Metastasis.肺腺癌脑膜转移患者脑脊液中表皮生长因子受体突变检测。
Cancer Biother Radiopharm. 2019 Mar;34(2):128-133. doi: 10.1089/cbr.2018.2580. Epub 2018 Nov 16.
8
Different next-generation sequencing pipelines based detection of tumor DNA in cerebrospinal fluid of lung adenocarcinoma cancer patients with leptomeningeal metastases.不同的基于下一代测序技术的肿瘤 DNA 检测方法在肺癌腺癌伴软脑膜转移患者脑脊液中的应用。
BMC Cancer. 2019 Feb 12;19(1):143. doi: 10.1186/s12885-019-5348-3.
9
Clinical Efficacy of Afatinib Treatment for a Patient with Leptomeningeal Carcinomatosis.阿法替尼治疗软脑膜癌病患者的临床疗效
Chemotherapy. 2017;62(3):147-150. doi: 10.1159/000454727. Epub 2016 Dec 29.
10
Comparing the effects of afatinib with gefitinib or Erlotinib in patients with advanced-stage lung adenocarcinoma harboring non-classical epidermal growth factor receptor mutations.比较阿法替尼与吉非替尼或厄洛替尼对携带非经典表皮生长因子受体突变的晚期肺腺癌患者的疗效。
Lung Cancer. 2017 Aug;110:56-62. doi: 10.1016/j.lungcan.2017.06.007. Epub 2017 Jun 13.

引用本文的文献

1
Osimertinib is associated with improved outcomes in pre-treated non-small cell lung cancer leptomeningeal metastases: A systematic review and meta-analysiss.奥希替尼与经治的非小细胞肺癌软脑膜转移患者预后改善相关:一项系统评价和荟萃分析。
Heliyon. 2024 Apr 17;10(9):e29668. doi: 10.1016/j.heliyon.2024.e29668. eCollection 2024 May 15.
2
Structure-based classification predicts drug response in EGFR-mutant NSCLC.基于结构的分类预测 EGFR 突变型 NSCLC 的药物反应。
Nature. 2021 Sep;597(7878):732-737. doi: 10.1038/s41586-021-03898-1. Epub 2021 Sep 15.
3
EGFR (p. G719A+L747V)/EML4-ALK Co-alterations in Lung Adenocarcinoma with Leptomeningeal Metastasis Responding to Afatinib Treatment: A Case Report.

本文引用的文献

1
Tyrosine Kinase Inhibitors Could Be Effective Against Non-small Cell Lung Cancer Brain Metastases Harboring Uncommon Mutations.酪氨酸激酶抑制剂可能对携带罕见突变的非小细胞肺癌脑转移有效。
Front Oncol. 2020 Mar 5;10:224. doi: 10.3389/fonc.2020.00224. eCollection 2020.
2
Digital PCR-Based Detection of EGFR Mutations in Paired Plasma and CSF Samples of Lung Adenocarcinoma Patients with Central Nervous System Metastases.基于数字 PCR 的方法检测伴有中枢神经系统转移的肺腺癌患者配对血浆和脑脊液样本中的 EGFR 突变。
Target Oncol. 2019 Jun;14(3):343-350. doi: 10.1007/s11523-019-00645-5.
3
Local mutational diversity drives intratumoral immune heterogeneity in non-small cell lung cancer.
表皮生长因子受体(p.G719A+L747V)/棘皮动物微管相关蛋白样4-间变性淋巴瘤激酶共改变的肺腺癌伴软脑膜转移对阿法替尼治疗有反应:一例报告
Onco Targets Ther. 2021 Apr 23;14:2823-2828. doi: 10.2147/OTT.S294635. eCollection 2021.
局部突变多样性驱动非小细胞肺癌肿瘤内免疫异质性。
Nat Commun. 2018 Dec 18;9(1):5361. doi: 10.1038/s41467-018-07767-w.
4
Management of Brain Metastases in Epidermal Growth Factor Receptor Mutant Non-Small-Cell Lung Cancer.表皮生长因子受体突变型非小细胞肺癌脑转移的管理
Front Oncol. 2018 Jul 3;8:208. doi: 10.3389/fonc.2018.00208. eCollection 2018.
5
Recent advances in the biology and treatment of brain metastases of non-small cell lung cancer: summary of a multidisciplinary roundtable discussion.非小细胞肺癌脑转移生物学与治疗的最新进展:多学科圆桌讨论总结
ESMO Open. 2018 Jan 26;3(1):e000262. doi: 10.1136/esmoopen-2017-000262. eCollection 2018.
6
Unique genetic profiles from cerebrospinal fluid cell-free DNA in leptomeningeal metastases of EGFR-mutant non-small-cell lung cancer: a new medium of liquid biopsy.脑脊液游离 DNA 中的独特基因突变谱在 EGFR 突变型非小细胞肺癌脑膜转移中的作用:一种新的液体活检方法。
Ann Oncol. 2018 Apr 1;29(4):945-952. doi: 10.1093/annonc/mdy009.
7
Cell-Cycle and DNA-Damage Response Pathway Is Involved in Leptomeningeal Metastasis of Non-Small Cell Lung Cancer.细胞周期和 DNA 损伤反应通路与非小细胞肺癌的脑膜转移有关。
Clin Cancer Res. 2018 Jan 1;24(1):209-216. doi: 10.1158/1078-0432.CCR-17-1582. Epub 2017 Oct 13.
8
Detection of Driver and Resistance Mutations in Leptomeningeal Metastases of NSCLC by Next-Generation Sequencing of Cerebrospinal Fluid Circulating Tumor Cells.通过对脑脊液循环肿瘤细胞进行下一代测序检测 NSCLC 脑膜转移中的驱动和耐药突变。
Clin Cancer Res. 2017 Sep 15;23(18):5480-5488. doi: 10.1158/1078-0432.CCR-17-0047. Epub 2017 Jun 12.
9
Hostile takeover: how tumours hijack pre-existing vascular environments to thrive.恶性接管:肿瘤如何劫持预先存在的血管环境以实现生长。
J Pathol. 2017 Jul;242(3):267-272. doi: 10.1002/path.4904.
10
Clonal Heterogeneity and Tumor Evolution: Past, Present, and the Future.克隆异质性与肿瘤演进:过去、现在与未来。
Cell. 2017 Feb 9;168(4):613-628. doi: 10.1016/j.cell.2017.01.018.