• 文献检索
  • 文档翻译
  • 深度研究
  • 学术资讯
  • Suppr Zotero 插件Zotero 插件
  • 邀请有礼
  • 套餐&价格
  • 历史记录
应用&插件
Suppr Zotero 插件Zotero 插件浏览器插件Mac 客户端Windows 客户端微信小程序
定价
高级版会员购买积分包购买API积分包
服务
文献检索文档翻译深度研究API 文档MCP 服务
关于我们
关于 Suppr公司介绍联系我们用户协议隐私条款
关注我们

Suppr 超能文献

核心技术专利:CN118964589B侵权必究
粤ICP备2023148730 号-1Suppr @ 2026

文献检索

告别复杂PubMed语法,用中文像聊天一样搜索,搜遍4000万医学文献。AI智能推荐,让科研检索更轻松。

立即免费搜索

文件翻译

保留排版,准确专业,支持PDF/Word/PPT等文件格式,支持 12+语言互译。

免费翻译文档

深度研究

AI帮你快速写综述,25分钟生成高质量综述,智能提取关键信息,辅助科研写作。

立即免费体验

原发性眼睑皮肤印戒细胞/组织细胞样癌的诊断和治疗挑战。

Diagnostic and treatment challenges of a case of primary cutaneous signet-ring cell/histiocytoid carcinoma of the eyelid.

机构信息

Department of Ophthalmology and Visual Sciences; Faculty of Medicine and Dentistry, University of Alberta, Edmonton, Alberta, Canada.

Royal Alexandra Hospital, 2319 -10240 Kingsway Avenue NW, Edmonton, AB, T5H 3V9, Canada.

出版信息

BMC Ophthalmol. 2020 Oct 14;20(1):410. doi: 10.1186/s12886-020-01685-6.

DOI:10.1186/s12886-020-01685-6
PMID:33054772
原文链接:https://pmc.ncbi.nlm.nih.gov/articles/PMC7556944/
Abstract

BACKGROUND

Primary cutaneous signet-ring cell/histiocytoid carcinoma of the eyelid is an extremely rare but aggressive neoplasm diagnosed primarily in elderly men. Until now there are 32 published cases of signet-ring cell carcinoma or histiocytoid carcinoma of the eyelid. We report the clinical, radiographic and histological features of the 33rd reported case of PCSRCC in the eyelid of a 73-year-old male, and review diagnostic and treatment challenges of this rare entity.

CASE PRESENTATION

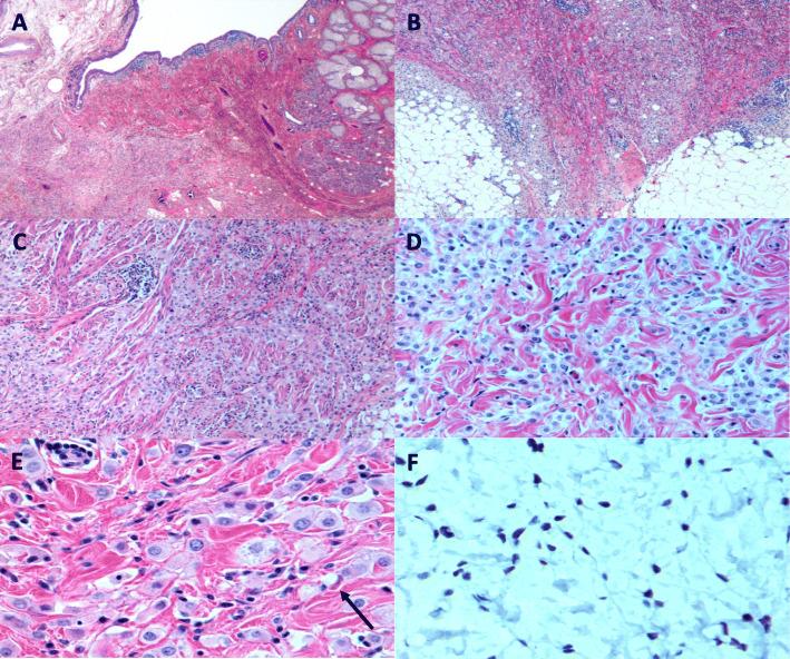
Our case highlights a 73-year-old male who was referred for surgical correction of right eye ptosis that was present for 2 years. Upon assessment, he was noted to have an upper lateral orbital rim mass. Computed tomography (CT) noted ill-defined soft tissue thickening anterior to the right globe, predominantly pre-septal but with slight post-septal extension. The pathology revealed diffusely and deeply infiltrating tumour cells extending through the dermis, subcutis, orbicularis muscle bundles and nerve fibers; the tumour cells were noted to have a monotonous histiocytoid appearance with foamy granular eosinophilic cytoplasm. At high magnification, intracytoplasmic vacuoles and occasional intermixed signet ring cells were identified. Immunohistochemical staining revealed the tumour cells to be AE1/AE3, CK7, GCDFP-15, E-cadherin, androgen receptor stain and GATA3 positive. Final pathology report confirmed the diagnosis of primary cutaneous signet-ring cell/histiocytoid carcinoma. Further imaging failed to identify a distant primary malignancy or metastatic disease. The decision was made to attempt surgical excision of the tumor. After the bulk of the grossly apparent tumor was removed, intraoperative frozen sections were sent. Superficial biopsies of the right periorbital region were performed, which revealed extension significantly further than the gross disease. Thereafter, the patient underwent a wide orbital exenteration with reconstruction using a temporary split-thickness skin graft. Due to positive margins on final permanent sections, the patient underwent further wide resection with free muscle-skin flap reconstruction followed by adjuvant radiation treatment.

CONCLUSION

Our case represents the 33rd case of primary signet-ring cell/histiocytoid carcinoma of the eyelid in a 73-year-old male, the first documented case with GATA3 positivity and the second documented case with androgen receptor stain positivity.

摘要

背景

原发性皮肤扣状细胞/组织细胞样癌眼睑是一种极其罕见但具有侵袭性的肿瘤,主要发生在老年男性。到目前为止,已经有 32 例关于眼睑扣状细胞癌或组织细胞样癌的报道。我们报告了第 33 例原发性皮肤扣状细胞/组织细胞样癌眼睑的临床、放射影像学和组织学特征,并回顾了这种罕见实体的诊断和治疗挑战。

病例介绍

我们的病例突出了一位 73 岁的男性,他因右眼上睑下垂 2 年而被转介进行手术矫正。评估时,他被发现有一个眶外侧上缘肿块。计算机断层扫描(CT)显示右眼球前有界限不清的软组织增厚,主要是前隔,但有轻微的后隔延伸。病理显示肿瘤细胞弥漫性和深部浸润真皮、皮下组织、眼轮匝肌束和神经纤维;肿瘤细胞具有单调的组织细胞样外观,细胞质呈泡沫状颗粒状嗜酸性。高倍镜下,可识别出细胞质内空泡和偶尔混合的扣状细胞。免疫组织化学染色显示肿瘤细胞 AE1/AE3、CK7、GCDFP-15、E-钙黏蛋白、雄激素受体染色和 GATA3 阳性。最终病理报告证实了原发性皮肤扣状细胞/组织细胞样癌的诊断。进一步的影像学检查未能发现远处原发性恶性肿瘤或转移性疾病。决定尝试手术切除肿瘤。在切除大部分明显的肿瘤后,送检了术中冰冻切片。对右侧眶周进行了浅层活检,结果显示病变延伸明显超过肉眼所见。此后,患者接受了广泛的眼眶内容物切除术,并使用临时的断层皮片进行重建。由于最终的永久切片有阳性边缘,患者进一步接受了广泛切除,并使用游离肌皮瓣重建,随后进行辅助放疗。

结论

我们的病例代表了第 33 例 73 岁男性原发性皮肤扣状细胞/组织细胞样癌眼睑,这是第一例有 GATA3 阳性和第二例有雄激素受体染色阳性的病例。

https://cdn.ncbi.nlm.nih.gov/pmc/blobs/1655/7556944/8a1cdc087f42/12886_2020_1685_Fig3_HTML.jpg
https://cdn.ncbi.nlm.nih.gov/pmc/blobs/1655/7556944/bb454cc08d49/12886_2020_1685_Fig1_HTML.jpg
https://cdn.ncbi.nlm.nih.gov/pmc/blobs/1655/7556944/493c4f79b640/12886_2020_1685_Fig2_HTML.jpg
https://cdn.ncbi.nlm.nih.gov/pmc/blobs/1655/7556944/8a1cdc087f42/12886_2020_1685_Fig3_HTML.jpg
https://cdn.ncbi.nlm.nih.gov/pmc/blobs/1655/7556944/bb454cc08d49/12886_2020_1685_Fig1_HTML.jpg
https://cdn.ncbi.nlm.nih.gov/pmc/blobs/1655/7556944/493c4f79b640/12886_2020_1685_Fig2_HTML.jpg
https://cdn.ncbi.nlm.nih.gov/pmc/blobs/1655/7556944/8a1cdc087f42/12886_2020_1685_Fig3_HTML.jpg

相似文献

1
Diagnostic and treatment challenges of a case of primary cutaneous signet-ring cell/histiocytoid carcinoma of the eyelid.原发性眼睑皮肤印戒细胞/组织细胞样癌的诊断和治疗挑战。
BMC Ophthalmol. 2020 Oct 14;20(1):410. doi: 10.1186/s12886-020-01685-6.
2
Primary signet-ring cell/histiocytoid carcinoma of the eyelid: a clinicopathologic study of 5 cases and review of the literature.眼睑原发性印戒细胞/组织细胞癌:5 例临床病理研究及文献复习。
Am J Surg Pathol. 2011 Mar;35(3):378-91. doi: 10.1097/PAS.0b013e318209cac7.
3
Primary Adnexal Signet-Ring Cell/Histiocytoid Carcinoma.原发性附件器官印戒细胞/组织细胞样癌。
Ophthalmic Plast Reconstr Surg. 2021;37(4):e134-e136. doi: 10.1097/IOP.0000000000001909.
4
Uncorrectable ptosis: primary cutaneous signet-ring cell carcinoma.不可纠正的上睑下垂:原发性皮肤印戒细胞癌。
Dermatol Online J. 2013 Sep 14;19(9):19615.
5
A case of primary signet-ring cell/histiocytoid carcinoma of the eyelid: immunohistochemical comparison with the normal sweat gland and review of the literature.眼睑原发性印戒细胞/组织细胞样癌1例:与正常汗腺的免疫组化比较及文献复习
Am J Dermatopathol. 2012 Dec;34(8):e139-45. doi: 10.1097/DAD.0b013e3182590ec1.
6
Molecular profiling of a primary cutaneous signet-ring cell/histiocytoid carcinoma of the eyelid.眼睑原发性皮肤印戒细胞/组织细胞样癌的分子特征分析
J Cutan Pathol. 2020 Sep;47(9):860-864. doi: 10.1111/cup.13733. Epub 2020 Jun 15.
7
Primary Signet-Ring Cell/Histiocytoid Carcinoma of the Eyelid: A "Binocle" Presentation of the "Monocle Tumor".原发性眼睑印戒细胞/组织细胞样癌:“单眼肿瘤”的“双眼镜”表现
Am J Dermatopathol. 2016 Aug;38(8):623-7. doi: 10.1097/DAD.0000000000000564.
8
Primary Signet Ring Cell/Histiocytoid Carcinoma of the Eyelid: Somatic Mutations in and Other Clinically Actionable Mutations Imply Early Use of Targeted Agents.眼睑原发性印戒细胞/组织细胞样癌: 和其他临床可操作突变的体细胞突变提示早期使用靶向药物。
Curr Oncol. 2021 Feb 16;28(1):918-927. doi: 10.3390/curroncol28010090.
9
Signet-ring cell/histiocytoid carcinoma of the eyelid: a case report and review of the literature.眼睑印戒细胞/组织细胞样癌:一例报告并文献复习
Am J Dermatopathol. 2013 Feb;35(1):e1-5. doi: 10.1097/DAD.0b013e318264991c.
10
Primary cutaneous histiocytoid carcinoma with distant metastasis.伴有远处转移的原发性皮肤组织细胞样癌。
J Cutan Pathol. 2017 Apr;44(4):376-380. doi: 10.1111/cup.12875. Epub 2017 Jan 25.

引用本文的文献

1
A Rare Malignancy of the Eyelid: Report A Case of Primary Periocular Histiocytoid Carcinoma.一种罕见的眼睑恶性肿瘤:原发性眼周组织细胞样癌1例报告
Iran J Pathol. 2024;19(3):359-362. doi: 10.30699/IJP.2024.2016655.3219. Epub 2024 Jul 24.
2
Clinicopathological diagnosis of axillary signet-ring cell-like/histiocytoid carcinoma: A case report and literature review.腋窝印戒样/组织细胞样癌的临床病理诊断:一例报告及文献复习
Histol Histopathol. 2025 Jun;40(6):911-917. doi: 10.14670/HH-18-828. Epub 2024 Oct 4.
3
Genetic Panel Test of Double Cancer of Signet-Ring Cell/Histiocytoid Carcinoma of the Eyelid and Papillary Thyroid Carcinoma: Case Report and Literature Review.

本文引用的文献

1
Primary signet-ring cell/histiocytoid carcinoma of the eyelid expressing androgen receptors and treated with bicalutamide.原发性眼睑印戒细胞/组织细胞样癌伴雄激素受体表达及比卡鲁胺治疗
J Dermatol. 2017 Sep;44(9):e230-e231. doi: 10.1111/1346-8138.13915. Epub 2017 May 23.
2
Primary Signet-Ring Cell/Histiocytoid Carcinoma of the Eyelid: A "Binocle" Presentation of the "Monocle Tumor".原发性眼睑印戒细胞/组织细胞样癌:“单眼肿瘤”的“双眼镜”表现
Am J Dermatopathol. 2016 Aug;38(8):623-7. doi: 10.1097/DAD.0000000000000564.
3
Primary signet ring cell carcinoma of the eyelid.
眼睑印戒细胞/组织细胞样癌与甲状腺乳头状癌双癌的基因检测:病例报告及文献复习
Cureus. 2022 May 21;14(5):e25192. doi: 10.7759/cureus.25192. eCollection 2022 May.
4
Current Diagnosis and Treatment Options for Cutaneous Adnexal Neoplasms with Apocrine and Eccrine Differentiation.具有大汗腺和小汗腺分化的皮肤附件肿瘤的当前诊断和治疗选择。
Int J Mol Sci. 2021 May 11;22(10):5077. doi: 10.3390/ijms22105077.
5
Primary Signet Ring Cell/Histiocytoid Carcinoma of the Eyelid: Somatic Mutations in and Other Clinically Actionable Mutations Imply Early Use of Targeted Agents.眼睑原发性印戒细胞/组织细胞样癌: 和其他临床可操作突变的体细胞突变提示早期使用靶向药物。
Curr Oncol. 2021 Feb 16;28(1):918-927. doi: 10.3390/curroncol28010090.
原发性眼睑印戒细胞癌。
Orbit. 2013 Dec;32(6):399-401. doi: 10.3109/01676830.2013.833254. Epub 2013 Sep 24.
4
Uncorrectable ptosis: primary cutaneous signet-ring cell carcinoma.不可纠正的上睑下垂:原发性皮肤印戒细胞癌。
Dermatol Online J. 2013 Sep 14;19(9):19615.
5
Sentinel node biopsy and frozen section procedure in signet ring cell carcinoma of the eyelid and orbit.眼睑及眼眶印戒细胞癌的前哨淋巴结活检及冰冻切片检查
Acta Ophthalmol. 2014 Aug;92(5):486-7. doi: 10.1111/aos.12252. Epub 2013 Aug 3.
6
A case of primary signet-ring cell/histiocytoid carcinoma of the eyelid: immunohistochemical comparison with the normal sweat gland and review of the literature.眼睑原发性印戒细胞/组织细胞样癌1例:与正常汗腺的免疫组化比较及文献复习
Am J Dermatopathol. 2012 Dec;34(8):e139-45. doi: 10.1097/DAD.0b013e3182590ec1.
7
Signet-ring cell/histiocytoid carcinoma of the eyelid: a case report and review of the literature.眼睑印戒细胞/组织细胞样癌:一例报告并文献复习
Am J Dermatopathol. 2013 Feb;35(1):e1-5. doi: 10.1097/DAD.0b013e318264991c.
8
Primary signet ring cell carcinoma of the eyelid in a young woman.一名年轻女性的原发性眼睑印戒细胞癌。
Eye (Lond). 2011 Oct;25(10):1380-2. doi: 10.1038/eye.2011.163. Epub 2011 Jul 8.
9
A case of histiocytoid variant eccrine sweat gland carcinoma of the orbit.1例眼眶组织细胞样变异型小汗腺癌
Korean J Ophthalmol. 2011 Feb;25(1):54-6. doi: 10.3341/kjo.2011.25.1.54. Epub 2011 Jan 17.
10
Primary signet-ring cell/histiocytoid carcinoma of the eyelid: a clinicopathologic study of 5 cases and review of the literature.眼睑原发性印戒细胞/组织细胞癌:5 例临床病理研究及文献复习。
Am J Surg Pathol. 2011 Mar;35(3):378-91. doi: 10.1097/PAS.0b013e318209cac7.