• 文献检索
  • 文档翻译
  • 深度研究
  • 学术资讯
  • Suppr Zotero 插件Zotero 插件
  • 邀请有礼
  • 套餐&价格
  • 历史记录
应用&插件
Suppr Zotero 插件Zotero 插件浏览器插件Mac 客户端Windows 客户端微信小程序
定价
高级版会员购买积分包购买API积分包
服务
文献检索文档翻译深度研究API 文档MCP 服务
关于我们
关于 Suppr公司介绍联系我们用户协议隐私条款
关注我们

Suppr 超能文献

核心技术专利:CN118964589B侵权必究
粤ICP备2023148730 号-1Suppr @ 2026

文献检索

告别复杂PubMed语法,用中文像聊天一样搜索,搜遍4000万医学文献。AI智能推荐,让科研检索更轻松。

立即免费搜索

文件翻译

保留排版,准确专业,支持PDF/Word/PPT等文件格式,支持 12+语言互译。

免费翻译文档

深度研究

AI帮你快速写综述,25分钟生成高质量综述,智能提取关键信息,辅助科研写作。

立即免费体验

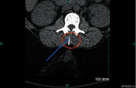
一位病态肥胖产妇在进行紧急剖宫产时发生脊柱穿刺针折断。

Broken Spinal Needle in a Morbidly Obese Parturient Presenting for Urgent Cesarean Section.

作者信息

Shah Saurin J, Vanderhoef Kristen, Ibrahim Michael

机构信息

Department of Anesthesiology, University of Florida College of Medicine Jacksonville, Jacksonville, FL, USA.

出版信息

Case Rep Anesthesiol. 2020 Sep 30;2020:8880464. doi: 10.1155/2020/8880464. eCollection 2020.

DOI:10.1155/2020/8880464
PMID:33062337
原文链接:https://pmc.ncbi.nlm.nih.gov/articles/PMC7545410/
Abstract

Neuraxial anesthesia has become the preferred method of anesthesia for nonemergent cesarean delivery and cases where regional anesthesia is not contraindicated. Multiple cases of broken spinal and epidural needles have been reported in the literature over the last several years; however, the specific incidence of needle breakage is still unknown. Less reliance on general anesthesia and increasing parturient body mass index (BMI) has likely contributed to more reports of broken needles during regional anesthesia for obstetric surgery. We describe a case of a broken spinal needle after attempted spinal anesthetic placement for cesarean delivery in a morbidly obese parturient, subsequent postoperative management, and current treatment recommendations.

摘要

神经轴索麻醉已成为非急诊剖宫产及区域麻醉无禁忌证情况下的首选麻醉方法。在过去几年的文献中已报道了多例腰麻和硬膜外穿刺针折断的病例;然而,针折断的具体发生率仍不清楚。对全身麻醉的依赖减少以及产妇体重指数(BMI)的增加,可能导致了产科手术区域麻醉期间更多针折断报告的出现。我们描述了一例病态肥胖产妇剖宫产术腰麻穿刺尝试后腰麻针折断的病例、后续的术后处理以及当前的治疗建议。

https://cdn.ncbi.nlm.nih.gov/pmc/blobs/99f6/7545410/26097264e87d/CRIA2020-8880464.002.jpg
https://cdn.ncbi.nlm.nih.gov/pmc/blobs/99f6/7545410/59558c9daca9/CRIA2020-8880464.001.jpg
https://cdn.ncbi.nlm.nih.gov/pmc/blobs/99f6/7545410/26097264e87d/CRIA2020-8880464.002.jpg
https://cdn.ncbi.nlm.nih.gov/pmc/blobs/99f6/7545410/59558c9daca9/CRIA2020-8880464.001.jpg
https://cdn.ncbi.nlm.nih.gov/pmc/blobs/99f6/7545410/26097264e87d/CRIA2020-8880464.002.jpg

相似文献

1
Broken Spinal Needle in a Morbidly Obese Parturient Presenting for Urgent Cesarean Section.一位病态肥胖产妇在进行紧急剖宫产时发生脊柱穿刺针折断。
Case Rep Anesthesiol. 2020 Sep 30;2020:8880464. doi: 10.1155/2020/8880464. eCollection 2020.
2
Spinal Introducer Needle Breakage During Spinal Anesthesia for Cesarean Section: A Case Report.剖宫产脊髓麻醉期间脊髓穿刺针折断:一例报告
Cureus. 2023 Oct 13;15(10):e46972. doi: 10.7759/cureus.46972. eCollection 2023 Oct.
3
[Successful epidural anesthesia using 120 mm epidural needle for cesarean section in a morbidly obese parturient with body mass index 50.2 kg x m(-2)].[体重指数为50.2kg/m²的病态肥胖产妇剖宫产术中使用120mm硬膜外针成功实施硬膜外麻醉]
Masui. 2006 Nov;55(11):1409-11.
4
Anesthetic management of super-morbidly obese parturients for cesarean delivery with a double neuraxial catheter technique: a case series.采用双椎管内导管技术对超病态肥胖产妇进行剖宫产的麻醉管理:病例系列
Int J Obstet Anesth. 2015 Aug;24(3):276-80. doi: 10.1016/j.ijoa.2015.04.001. Epub 2015 Apr 8.
5
Anesthetic and obstetric outcomes in morbidly obese parturients: a 20-year follow-up retrospective cohort study.病态肥胖产妇的麻醉与产科结局:一项20年随访的回顾性队列研究。
Int J Obstet Anesth. 2014 Nov;23(4):357-64. doi: 10.1016/j.ijoa.2014.05.004. Epub 2014 Jun 4.
6
Repeat cesarean section in a morbidly obese parturient: a new anesthetic option.
Acta Anaesthesiol Scand. 2002 Jul;46(6):753-4. doi: 10.1034/j.1399-6576.2002.460622.x.
7
Anesthetic and obstetric outcome in morbidly obese parturients.病态肥胖产妇的麻醉与产科结局
Anesthesiology. 1993 Dec;79(6):1210-8. doi: 10.1097/00000542-199312000-00011.
8
Anesthetic management of the morbidly obese parturient.病态肥胖产妇的麻醉管理
Curr Opin Anaesthesiol. 2007 Jun;20(3):175-80. doi: 10.1097/ACO.0b013e328014646b.
9
Continuous spinal anesthesia for cesarean section in a parturient with severe preeclampsia.重度子痫前期产妇剖宫产的连续脊髓麻醉
J Clin Anesth. 1998 Sep;10(6):510-3. doi: 10.1016/s0952-8180(98)00066-x.
10
Epidural anesthesia for cesarean delivery in a morbidly obese parturient with spinal meningioma.肥胖伴脊髓膜瘤产妇剖宫产的硬膜外麻醉
Ochsner J. 2012 Summer;12(2):145-8.

引用本文的文献

1
Emergent spinal pathologies in late-term pregnancy.晚期妊娠中的急诊脊柱病变
J Craniovertebr Junction Spine. 2024 Oct-Dec;15(4):391-397. doi: 10.4103/jcvjs.jcvjs_24_24. Epub 2025 Jan 15.
2
[Broken spinal needle: Clinical case and a brief review of the literature].[折断的脊椎穿刺针:临床病例及文献简要综述]
Rev Med Inst Mex Seguro Soc. 2024 May 6;62(3):1-6. doi: 10.5281/zenodo.10999015.
3
Spinal Introducer Needle Breakage During Spinal Anesthesia for Cesarean Section: A Case Report.剖宫产脊髓麻醉期间脊髓穿刺针折断:一例报告

本文引用的文献

1
Obesity And Obstetric Anesthesia: Current Insights.肥胖与产科麻醉:当前见解
Local Reg Anesth. 2019 Nov 18;12:111-124. doi: 10.2147/LRA.S186530. eCollection 2019.
2
Broken needle during spinal anesthesia: an avoidable complication.脊髓麻醉期间断针:一种可避免的并发症。
Local Reg Anesth. 2018 Nov 23;11:111-113. doi: 10.2147/LRA.S175547. eCollection 2018.
3
High Success Rates Using Ultrasound for Neuraxial Block in Obese Patients.超声引导在肥胖患者神经轴阻滞中的高成功率。
Cureus. 2023 Oct 13;15(10):e46972. doi: 10.7759/cureus.46972. eCollection 2023 Oct.
4
A Systemic Review of Spinal Needles Broken During Neuraxial Anesthesia.一项关于在神经轴索麻醉期间折断脊麻针的系统评价。
Cureus. 2023 Jun 11;15(6):e40241. doi: 10.7759/cureus.40241. eCollection 2023 Jun.
5
Successful Management of a Broken Spinal Needle During Difficult Spinal Anesthesia: A Case Report.困难腰麻时折断脊麻针的成功处理:一例报告
Cureus. 2023 May 10;15(5):e38822. doi: 10.7759/cureus.38822. eCollection 2023 May.
6
Broken Needle Embedded in the Body during Vascular Puncture.血管穿刺时断针嵌入体内。
Healthcare (Basel). 2022 Jul 31;10(8):1436. doi: 10.3390/healthcare10081436.
7
Integrating ultrasound with the combined spinal-epidural kit as a rescue technique during difficult spinal anaesthesia.将超声与联合脊麻-硬膜外套件结合作为困难椎管内麻醉时的抢救技术。
BMJ Case Rep. 2021 Nov 12;14(11):e246727. doi: 10.1136/bcr-2021-246727.
Isr Med Assoc J. 2016 Jan;18(1):36-9.
4
Broken spinal needle: case report and review of the literature.折断的脊髓穿刺针:病例报告及文献综述
J Clin Anesth. 2014 Jun;26(4):321-4. doi: 10.1016/j.jclinane.2014.01.008. Epub 2014 May 27.
5
Removal of a fractured spinal needle fragment six months after caesarean section.剖宫产术后六个月取出断裂的脊椎穿刺针碎片。
Int J Obstet Anesth. 2014 Feb;23(1):95-6. doi: 10.1016/j.ijoa.2013.08.006. Epub 2013 Aug 20.
6
A randomized controlled trial of preinsertion ultrasound guidance for spinal anaesthesia in pregnancy: outcomes among obese and lean parturients: ultrasound for spinal anesthesia in pregnancy.一项针对妊娠产妇行脊髓麻醉前超声引导的随机对照试验:肥胖和瘦弱产妇的结局:妊娠时的脊髓麻醉超声。
J Anesth. 2014 Jun;28(3):413-9. doi: 10.1007/s00540-013-1726-1. Epub 2013 Oct 20.
7
Ultrasound imaging facilitates spinal anesthesia in adults with difficult surface anatomic landmarks.超声成像有助于在体表解剖标志困难的成人中进行脊髓麻醉。
Anesthesiology. 2011 Jul;115(1):94-101. doi: 10.1097/ALN.0b013e31821a8ad4.
8
Broken micro-tip spinal needle.微尖端脊髓穿刺针破损。
Int J Obstet Anesth. 2009 Jul;18(3):295-6. doi: 10.1016/j.ijoa.2009.03.002. Epub 2009 May 19.