Suppr超能文献

皮下脂膜炎样T细胞淋巴瘤的家族聚集性:一对同卵双胞胎兄弟的病例报告

Familial aggregation of subcutaneous panniculitis-like T cell lymphoma: A case report of monozygotic twin brothers.

作者信息

Shen Xun-Ze, Yu Shan-Lu, Liu Fang, Luo Zhou-Ye

机构信息

PET/CT Center.

Department of Pathology, Shaoxing People's Hospital, the First Affiliated Hospital of Shaoxing University, Shaoxing, Zhejiang Province, China.

出版信息

Medicine (Baltimore). 2020 Oct 16;99(42):e22629. doi: 10.1097/MD.0000000000022629.

Abstract

RATIONALE

Subcutaneous panniculitis-like T-cell lymphoma (SPTCL) is a rare subtype of cutaneous lymphoma, which was first defined as a clinical entity in 1991 as a cytotoxic T-cell lymphoma preferentially infiltrating subcutaneous tissue. Herein, we report 2 patients of SPTCL who are a pair of twin brothers.

PATIENT CONCERNS

The disease afflicted the monozygotic twin brothers at different time with an interval period of 5 years. The older twin brother had disease onset at 27 years of age. In June 2012, he developed prolonged fever accompanied by subcutaneous nodules in the left upper arm and left chest due to unknown origin. The younger twin brother had disease onset at 32 years of age. In June 2017, the younger brother presented with repeated high fever for more than 10 days, accompanied by head distension.

DIAGNOSIS

On August 7, 2012, skin biopsy was performed on the lesion of left upper arm of the older twin brother, and then, a diagnosis of subcutaneous panniculitis-like T cell lymphoma (SPTCL) was made. On June 19, 2017, the younger twin brother underwent whole-body fluorine-18 fluorodeoxyglucose positron emission tomography/computed tomography for diagnosis. Soon afterwards, abdominal subcutaneous nodule resection and biopsy was performed on June 28, 2018, and the specimen was diagnosed as SPTCL.

INTERVENTIONS

For the older brother, a total of 14 systemic chemotherapy sessions were performed from August 16, 2012, to September 21, 2014. For the younger brother, a total of 9 systemic chemotherapy sessions were performed from July 14, 2017, to March 8, 2018, then he was switched to oral chemotherapy with chidamide twice a week for 6 months.

OUTCOMES

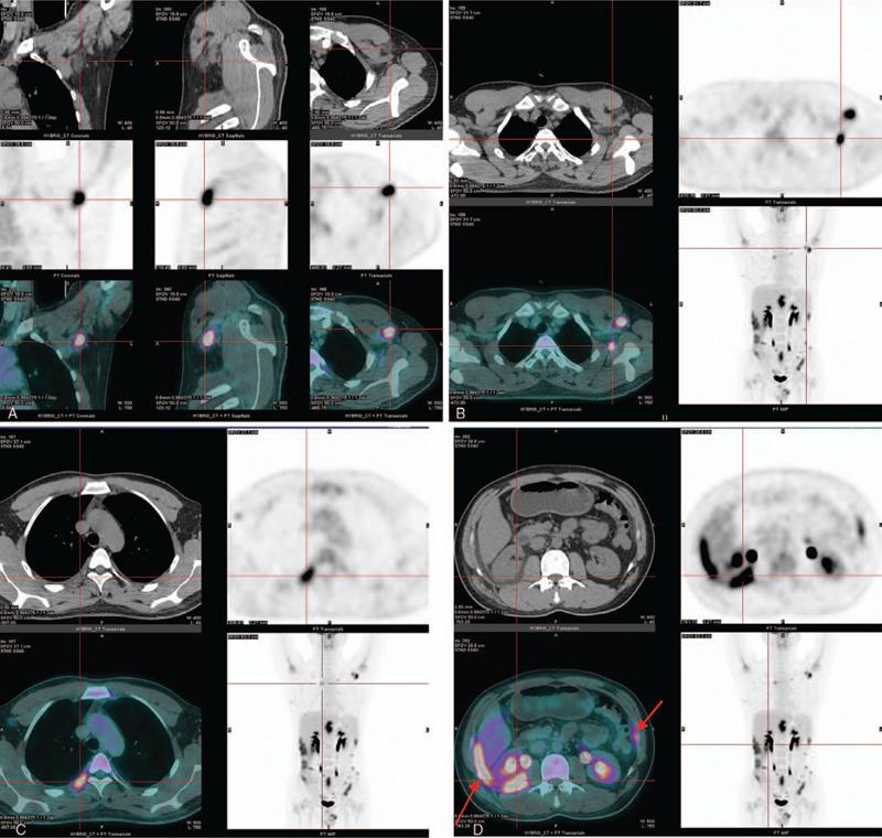
The older twin brother died in March 2015, the younger brother has recovered well and is no longer receiving any treatment LESSONS:: To the best of our knowledge, twin brothers both having this disease has never been previously reported. Moreover, some of the involved areas are also extremely rare detected by fluorine-18 fluorodeoxyglucose positron emission tomography/computed tomography at initial stage. It is beneficial to people to gain some new understanding for SPTCL by this special case and some extremely unusual involved sites in the younger twin brother.

摘要

理论依据

皮下脂膜炎样T细胞淋巴瘤(SPTCL)是皮肤淋巴瘤的一种罕见亚型,1991年首次被定义为一种临床实体,是一种优先浸润皮下组织的细胞毒性T细胞淋巴瘤。在此,我们报告2例SPTCL患者,他们是一对双胞胎兄弟。

患者情况

该疾病在这对同卵双胞胎兄弟中于不同时间发病,间隔为5年。年长的双胞胎兄弟27岁发病。2012年6月,他出现不明原因的长期发热,并伴有左上臂和左胸部皮下结节。年幼的双胞胎兄弟32岁发病。2017年6月,弟弟出现反复高热10余天,并伴有头部胀痛。

诊断

2012年8月7日,对年长双胞胎兄弟的左上臂病变进行皮肤活检,随后诊断为皮下脂膜炎样T细胞淋巴瘤(SPTCL)。2017年6月19日,年幼的双胞胎兄弟接受全身氟-18氟脱氧葡萄糖正电子发射断层扫描/计算机断层扫描以进行诊断。此后不久,于2018年6月28日进行腹部皮下结节切除及活检,标本诊断为SPTCL。

干预措施

对于年长的哥哥,从2012年8月16日至2014年9月21日共进行了14次全身化疗。对于年幼的弟弟,从2017年7月14日至2018年3月8日共进行了9次全身化疗,之后改为口服西达本胺,每周两次,持续6个月。

结果

年长的双胞胎兄弟于2015年3月去世,年幼的弟弟恢复良好,不再接受任何治疗。

经验教训

据我们所知,此前从未报道过双胞胎兄弟均患此病的情况。此外,一些受累部位在疾病初期通过氟-18氟脱氧葡萄糖正电子发射断层扫描/计算机断层扫描检测到也极为罕见。通过这个特殊病例以及年幼双胞胎兄弟一些极其不寻常的受累部位,有助于人们对SPTCL获得一些新的认识。

https://cdn.ncbi.nlm.nih.gov/pmc/blobs/40e8/7571882/c839c07593d8/medi-99-e22629-g001.jpg

文献AI研究员

20分钟写一篇综述,助力文献阅读效率提升50倍。

立即体验

用中文搜PubMed

大模型驱动的PubMed中文搜索引擎

马上搜索

文档翻译

学术文献翻译模型,支持多种主流文档格式。

立即体验