Suppr超能文献

鳞状细胞癌抗原在低分化胃腺癌中的高表达:一例报告

High expression of squamous cell carcinoma antigen in poorly differentiated adenocarcinoma of the stomach: A case report.

作者信息

Wang Lin, Huang Lei, Xi Lei, Zhang Shi-Chang, Zhang Jie-Xin

机构信息

Department of Laboratory Medicine, The First Affiliated Hospital of Nanjing Medical University, Nanjing 210029, Jiangsu Province, China.

Department of Laboratory Medicine, Nanjing Medical University, Nanjing 210029, Jiangsu Province, China.

出版信息

World J Clin Cases. 2020 Oct 6;8(19):4572-4578. doi: 10.12998/wjcc.v8.i19.4572.

Abstract

BACKGROUND

Squamous cell carcinoma antigen (SCCA) is regarded as a specific indicator of epithelial malignancies and is widely used in the diagnosis of squamous cell carcinoma (SCC). However, the expression of SCCA in gastric adenocarcinoma has not been studied in detail.

CASE SUMMARY

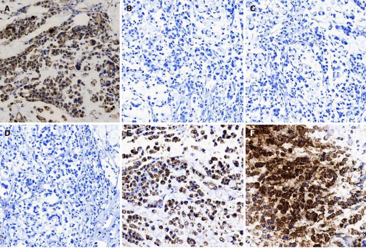
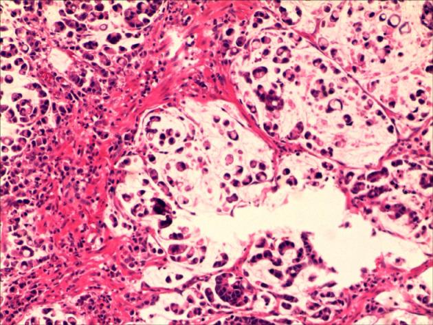
A 52-year-old man was admitted to our hospital for a 2.5 cm × 2.5 cm ulcer at the antrum-body junction with dull pain and fullness in the upper abdomen for 2 mo. His pre-surgery serological testing results showed 0.51 ng/mL SCCA (reference interval, < 1.5 ng/mL) and 9.9 ng/mL carcinoembryonic antigen (reference range, < 4.7 ng/mL). He underwent radical distal gastrectomy and Roux-en Y anastomosis and was diagnosed with poorly differentiated mucinous adenocarcinoma (Lauren classification: Diffuse) by pathological examination of the resected lesion. Immunohistochemistry showed that SCCA was highly expressed in the cytoplasm of cancer cells. After surgery, the patient received an S-1 adjuvant chemotherapy regimen for six cycles containing tegafur, gimeracil, and oteracil potassium. He showed no sign of recurrence or metastasis within 24-mo follow-up.

CONCLUSION

This is a frontal report of SCCA overexpression in poorly differentiated adenocarcinoma of the stomach.

摘要

背景

鳞状细胞癌抗原(SCCA)被视为上皮性恶性肿瘤的特异性指标,广泛应用于鳞状细胞癌(SCC)的诊断。然而,SCCA在胃腺癌中的表达尚未得到详细研究。

病例摘要

一名52岁男性因胃窦-胃体交界处2.5 cm×2.5 cm溃疡伴上腹部隐痛和饱胀2个月入院。术前血清学检测结果显示,SCCA为0.51 ng/mL(参考区间,<1.5 ng/mL),癌胚抗原为9.9 ng/mL(参考范围,<4.7 ng/mL)。他接受了根治性远端胃切除术和Roux-en Y吻合术,切除病变的病理检查诊断为低分化黏液腺癌(Lauren分类:弥漫型)。免疫组化显示SCCA在癌细胞胞质中高表达。术后,患者接受了含替加氟、吉美嘧啶和奥替拉西钾的S-1辅助化疗方案6个周期。在24个月的随访中,他没有复发或转移的迹象。

结论

这是一篇关于SCCA在低分化胃腺癌中过表达的前沿报道。

https://cdn.ncbi.nlm.nih.gov/pmc/blobs/456a/7559675/c5696ba33c96/WJCC-8-4572-g001.jpg

文献AI研究员

20分钟写一篇综述,助力文献阅读效率提升50倍。

立即体验

用中文搜PubMed

大模型驱动的PubMed中文搜索引擎

马上搜索

文档翻译

学术文献翻译模型,支持多种主流文档格式。

立即体验