Suppr超能文献

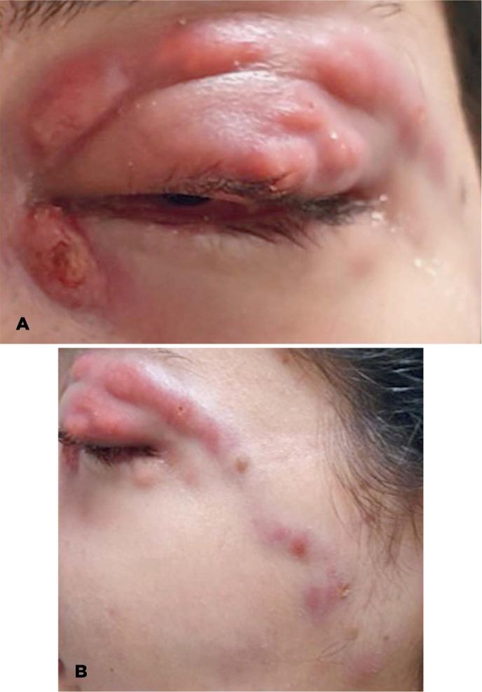
Different clinical manifestations of ocular sporotrichosis in the same patient: an alert to ophthalmologists in nonendemic areas.

作者信息

Paiva Alexandre de Carvalho Mendes, Biancardi Ana Luiza, Curi André Luiz Land

机构信息

Ophthalmology Department, Universidade Federal do Estado do Rio de Janeiro, Rio de Janeiro, RJ, Brazil.

Instituto Nacional de Infectologia, Fundação Oswaldo Cruz, Rio de Janeiro, RJ, Brazil.

出版信息

Arq Bras Oftalmol. 2020 Sep-Oct;83(5):457-458. doi: 10.5935/0004-2749.20200107.

Abstract
摘要
https://cdn.ncbi.nlm.nih.gov/pmc/blobs/e97f/12289272/1cba3c9352f9/abo-83-05-0457-g01.jpg

文献AI研究员

20分钟写一篇综述,助力文献阅读效率提升50倍。

立即体验

用中文搜PubMed

大模型驱动的PubMed中文搜索引擎

马上搜索

文档翻译

学术文献翻译模型,支持多种主流文档格式。

立即体验