• 文献检索
  • 文档翻译
  • 深度研究
  • 学术资讯
  • Suppr Zotero 插件Zotero 插件
  • 邀请有礼
  • 套餐&价格
  • 历史记录
应用&插件
Suppr Zotero 插件Zotero 插件浏览器插件Mac 客户端Windows 客户端微信小程序
定价
高级版会员购买积分包购买API积分包
服务
文献检索文档翻译深度研究API 文档MCP 服务
关于我们
关于 Suppr公司介绍联系我们用户协议隐私条款
关注我们

Suppr 超能文献

核心技术专利:CN118964589B侵权必究
粤ICP备2023148730 号-1Suppr @ 2026

文献检索

告别复杂PubMed语法,用中文像聊天一样搜索,搜遍4000万医学文献。AI智能推荐,让科研检索更轻松。

立即免费搜索

文件翻译

保留排版,准确专业,支持PDF/Word/PPT等文件格式,支持 12+语言互译。

免费翻译文档

深度研究

AI帮你快速写综述,25分钟生成高质量综述,智能提取关键信息,辅助科研写作。

立即免费体验

5-FU 通过 p53 介导的 WNT/β-catenin 通路激活促进结直肠癌细胞干性。

5-FU promotes stemness of colorectal cancer via p53-mediated WNT/β-catenin pathway activation.

机构信息

Department of Biotechnology, College of Life Science and Biotechnology, Yonsei University, Seoul, 03722, Korea.

Hubrecht Institute, Cancer Genomics Netherlands, UMC Utrecht, 3584CT, Utrecht, Netherlands.

出版信息

Nat Commun. 2020 Oct 21;11(1):5321. doi: 10.1038/s41467-020-19173-2.

DOI:10.1038/s41467-020-19173-2
PMID:33087710
原文链接:https://pmc.ncbi.nlm.nih.gov/articles/PMC7578039/
Abstract

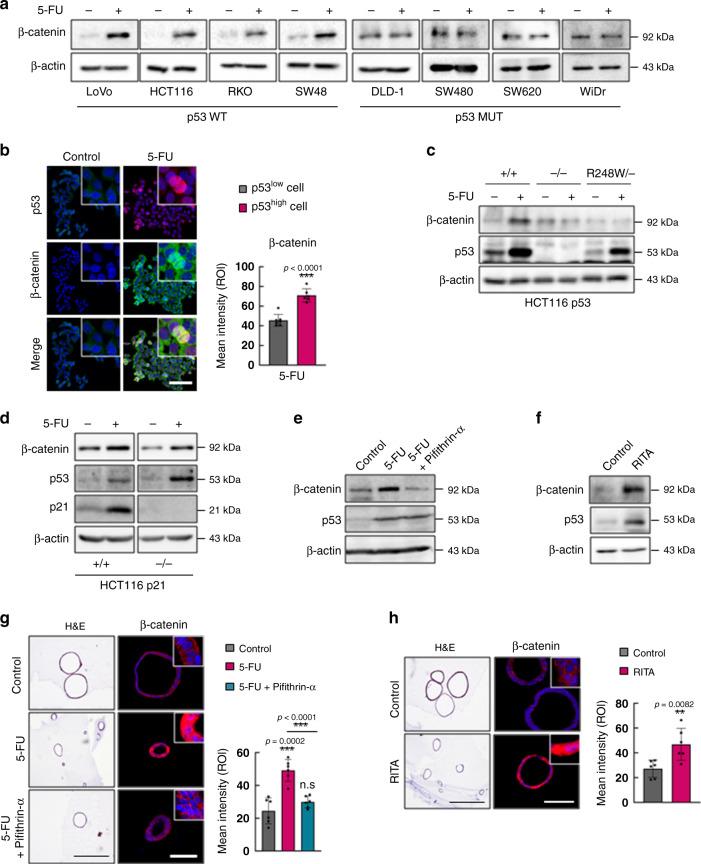
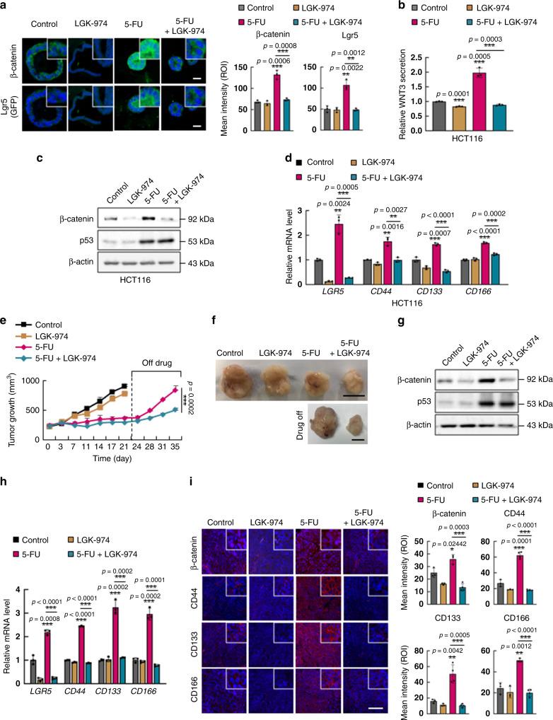
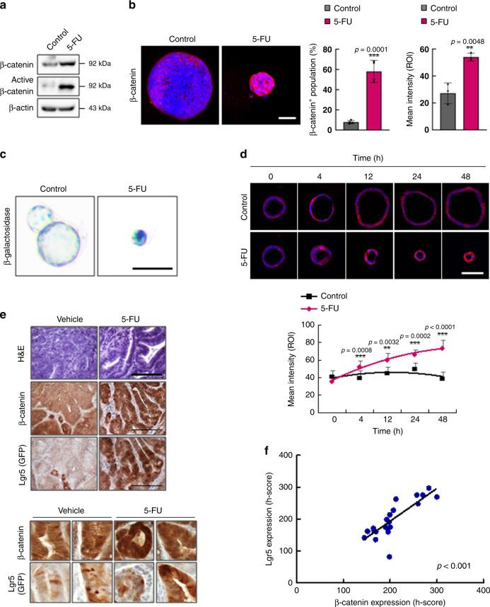
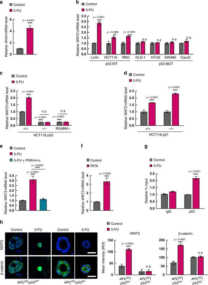
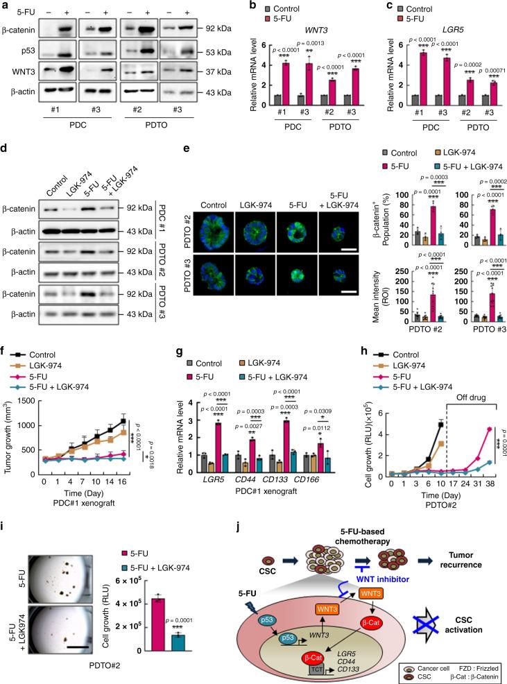
5-Fluorouracil (5-FU) remains the first-line treatment for colorectal cancer (CRC). Although 5-FU initially de-bulks the tumor mass, recurrence after chemotherapy is the barrier to effective clinical outcomes for CRC patients. Here, we demonstrate that p53 promotes WNT3 transcription, leading to activation of the WNT/β-catenin pathway in Apc/Lgr5 mice, CRC patient-derived tumor organoids (PDTOs) and patient-derived tumor cells (PDCs). Through this regulation, 5-FU induces activation and enrichment of cancer stem cells (CSCs) in the residual tumors, contributing to recurrence after treatment. Combinatorial treatment of a WNT inhibitor and 5-FU effectively suppresses the CSCs and reduces tumor regrowth after discontinuation of treatment. These findings indicate p53 as a critical mediator of 5-FU-induced CSC activation via the WNT/β-catenin signaling pathway and highlight the significance of combinatorial treatment of WNT inhibitor and 5-FU as a compelling therapeutic strategy to improve the poor outcomes of current 5-FU-based therapies for CRC patients.

摘要

5-氟尿嘧啶(5-FU)仍然是结直肠癌(CRC)的一线治疗药物。尽管 5-FU 最初使肿瘤体积缩小,但化疗后的复发是 CRC 患者获得有效临床效果的障碍。在这里,我们证明 p53 促进 WNT3 的转录,导致 APC/Lgr5 小鼠、CRC 患者来源的肿瘤类器官(PDTOs)和患者来源的肿瘤细胞(PDCs)中 WNT/β-catenin 通路的激活。通过这种调节,5-FU 在残留肿瘤中诱导癌症干细胞(CSCs)的激活和富集,导致治疗后复发。WNT 抑制剂和 5-FU 的联合治疗可有效抑制 CSCs,并减少治疗停止后的肿瘤再生长。这些发现表明 p53 是 5-FU 诱导的 CSC 通过 WNT/β-catenin 信号通路激活的关键介质,并强调了联合应用 WNT 抑制剂和 5-FU 的治疗策略的重要性,这是改善当前基于 5-FU 的 CRC 患者治疗效果不佳的一种有吸引力的治疗策略。

https://cdn.ncbi.nlm.nih.gov/pmc/blobs/f287/7578039/117f4150793f/41467_2020_19173_Fig6_HTML.jpg
https://cdn.ncbi.nlm.nih.gov/pmc/blobs/f287/7578039/d2cbd0101957/41467_2020_19173_Fig1_HTML.jpg
https://cdn.ncbi.nlm.nih.gov/pmc/blobs/f287/7578039/d75b7616ccad/41467_2020_19173_Fig2_HTML.jpg
https://cdn.ncbi.nlm.nih.gov/pmc/blobs/f287/7578039/e7fe0e5018f1/41467_2020_19173_Fig3_HTML.jpg
https://cdn.ncbi.nlm.nih.gov/pmc/blobs/f287/7578039/d86c96894109/41467_2020_19173_Fig4_HTML.jpg
https://cdn.ncbi.nlm.nih.gov/pmc/blobs/f287/7578039/320389d85e35/41467_2020_19173_Fig5_HTML.jpg
https://cdn.ncbi.nlm.nih.gov/pmc/blobs/f287/7578039/117f4150793f/41467_2020_19173_Fig6_HTML.jpg
https://cdn.ncbi.nlm.nih.gov/pmc/blobs/f287/7578039/d2cbd0101957/41467_2020_19173_Fig1_HTML.jpg
https://cdn.ncbi.nlm.nih.gov/pmc/blobs/f287/7578039/d75b7616ccad/41467_2020_19173_Fig2_HTML.jpg
https://cdn.ncbi.nlm.nih.gov/pmc/blobs/f287/7578039/e7fe0e5018f1/41467_2020_19173_Fig3_HTML.jpg
https://cdn.ncbi.nlm.nih.gov/pmc/blobs/f287/7578039/d86c96894109/41467_2020_19173_Fig4_HTML.jpg
https://cdn.ncbi.nlm.nih.gov/pmc/blobs/f287/7578039/320389d85e35/41467_2020_19173_Fig5_HTML.jpg
https://cdn.ncbi.nlm.nih.gov/pmc/blobs/f287/7578039/117f4150793f/41467_2020_19173_Fig6_HTML.jpg

相似文献

1
5-FU promotes stemness of colorectal cancer via p53-mediated WNT/β-catenin pathway activation.5-FU 通过 p53 介导的 WNT/β-catenin 通路激活促进结直肠癌细胞干性。
Nat Commun. 2020 Oct 21;11(1):5321. doi: 10.1038/s41467-020-19173-2.
2
TRIB3 Interacts With β-Catenin and TCF4 to Increase Stem Cell Features of Colorectal Cancer Stem Cells and Tumorigenesis.TRIB3 通过与β-catenin 和 TCF4 相互作用来增加结直肠癌细胞干细胞的干细胞特征和肿瘤发生。
Gastroenterology. 2019 Feb;156(3):708-721.e15. doi: 10.1053/j.gastro.2018.10.031. Epub 2018 Oct 24.
3
Chlorquinaldol targets the β-catenin and T-cell factor 4 complex and exerts anti-colorectal cancer activity.氯喹那多靶向β-连环蛋白和 T 细胞因子 4 复合物,并发挥抗结直肠癌活性。
Pharmacol Res. 2020 Sep;159:104955. doi: 10.1016/j.phrs.2020.104955. Epub 2020 May 30.
4
In Colorectal Cancer Cells With Mutant KRAS, SLC25A22-Mediated Glutaminolysis Reduces DNA Demethylation to Increase WNT Signaling, Stemness, and Drug Resistance.在突变型 KRAS 的结直肠癌细胞中,SLC25A22 介导的谷氨酰胺分解作用降低 DNA 去甲基化以增加 WNT 信号、干性和耐药性。
Gastroenterology. 2020 Dec;159(6):2163-2180.e6. doi: 10.1053/j.gastro.2020.08.016. Epub 2020 Aug 16.
5
Sec62 promotes stemness and chemoresistance of human colorectal cancer through activating Wnt/β-catenin pathway.Sec62 通过激活 Wnt/β-catenin 通路促进人结直肠癌细胞的干性和化疗耐药性。
J Exp Clin Cancer Res. 2021 Apr 15;40(1):132. doi: 10.1186/s13046-021-01934-6.
6
Knockdown of aquaporin-5 sensitizes colorectal cancer cells to 5-fluorouracil via inhibition of the Wnt-β-catenin signaling pathway.水通道蛋白5的敲低通过抑制Wnt-β-连环蛋白信号通路使结肠癌细胞对5-氟尿嘧啶敏感。
Biochem Cell Biol. 2018 Oct;96(5):572-579. doi: 10.1139/bcb-2017-0162. Epub 2018 Feb 1.
7
Co-expression of Lgr5 and CXCR4 characterizes cancer stem-like cells of colorectal cancer.Lgr5与CXCR4的共表达是结直肠癌癌干细胞样细胞的特征。
Oncotarget. 2016 Dec 6;7(49):81144-81155. doi: 10.18632/oncotarget.13214.
8
MiR-30-5p suppresses cell chemoresistance and stemness in colorectal cancer through USP22/Wnt/β-catenin signaling axis.miR-30-5p 通过 USP22/Wnt/β-catenin 信号轴抑制结直肠癌细胞的化疗耐药性和干性。
J Cell Mol Med. 2019 Jan;23(1):630-640. doi: 10.1111/jcmm.13968. Epub 2018 Oct 19.
9
WNT/β-Catenin Signaling Inhibitor IC-2 Suppresses Sphere Formation and Sensitizes Colorectal Cancer Cells to 5-Fluorouracil.WNT/β-连环蛋白信号通路抑制剂IC-2抑制结直肠癌细胞的成球能力并使其对5-氟尿嘧啶敏感。
Anticancer Res. 2017 Aug;37(8):4085-4091. doi: 10.21873/anticanres.11795.
10
MEK inhibitors activate Wnt signalling and induce stem cell plasticity in colorectal cancer.MEK 抑制剂激活结直肠癌中的 Wnt 信号通路并诱导干细胞可塑性。
Nat Commun. 2019 May 16;10(1):2197. doi: 10.1038/s41467-019-09898-0.

引用本文的文献

1
Investigating the shared genetic architecture between adiposity measures and obesity-related cancers.探究肥胖指标与肥胖相关癌症之间的共同遗传结构。
Brief Bioinform. 2025 Jul 2;26(4). doi: 10.1093/bib/bbaf439.
2
Elucidating the Role of in Regulating Cancer Cell Growth via the Modulation of p53 and c-Myc Expression.通过调节p53和c-Myc表达阐明[具体物质]在调控癌细胞生长中的作用。 (注:原文中“Elucidating the Role of in...”这里少了具体所指物质)
Curr Issues Mol Biol. 2025 Aug 4;47(8):615. doi: 10.3390/cimb47080615.
3
Navigating the Molecular Signaling: Deciphering Cancer Stem Cell Self-Renewal Pathways.

本文引用的文献

1
The multiple mechanisms that regulate p53 activity and cell fate.调控 p53 活性和细胞命运的多种机制。
Nat Rev Mol Cell Biol. 2019 Apr;20(4):199-210. doi: 10.1038/s41580-019-0110-x.
2
Cancer statistics, 2019.癌症统计数据,2019 年。
CA Cancer J Clin. 2019 Jan;69(1):7-34. doi: 10.3322/caac.21551. Epub 2019 Jan 8.
3
c-Cbl Expression Correlates with Human Colorectal Cancer Survival and Its Wnt/β-Catenin Suppressor Function Is Regulated by Tyr371 Phosphorylation.c-Cbl 表达与人类结直肠癌生存相关,其 Wnt/β-连环蛋白抑制功能受 Tyr371 磷酸化调节。
探索分子信号传导:解读癌症干细胞自我更新途径。
Int J Mol Cell Med. 2025 Jul 1;14(2):735-776. doi: 10.22088/IJMCM.BUMS.14.2.753. eCollection 2025.
4
Wnt5a suppresses colorectal cancer progression via TGF-β/NOTUM/OLFM4 axis in patient-derived organoids.Wnt5a通过TGF-β/NOTUM/OLFM4轴在患者来源的类器官中抑制结直肠癌进展。
Cell Commun Signal. 2025 Aug 5;23(1):365. doi: 10.1186/s12964-025-02364-z.
5
Predicting colorectal cancer risk in FAP patients using patient-specific organoids.使用患者特异性类器官预测家族性腺瘤性息肉病患者的结直肠癌风险。
Cancer Gene Ther. 2025 Jul 22. doi: 10.1038/s41417-025-00923-7.
6
A self-reinforced activatable photosensitizer prodrug enabling synergistic photodynamic and chemotherapy.一种可实现光动力疗法与化疗协同作用的自增强可激活光敏前药。
Smart Mol. 2024 Jun 14;2(4):e20240005. doi: 10.1002/smo.20240005. eCollection 2024 Dec.
7
Microcurrent stimulation induces cell death in p53-mutant and 5-FU-resistant breast cancer.微电流刺激可诱导p53基因发生突变且对5-氟尿嘧啶耐药的乳腺癌细胞死亡。
J Biol Chem. 2025 Jun 24;301(8):110414. doi: 10.1016/j.jbc.2025.110414.
8
ALKBH5 Promotes Breast Cancer Stemness Through Regulating Wnt/β-Catenin Signaling.ALKBH5通过调控Wnt/β-连环蛋白信号通路促进乳腺癌干性。
Breast Cancer (Dove Med Press). 2025 Jun 6;17:471-482. doi: 10.2147/BCTT.S520532. eCollection 2025.
9
Wnt/β-catenin mediated signaling pathways in cancer: recent advances, and applications in cancer therapy.Wnt/β-连环蛋白介导的癌症信号通路:最新进展及其在癌症治疗中的应用
Mol Cancer. 2025 Jun 10;24(1):171. doi: 10.1186/s12943-025-02363-1.
10
Therapeutic efficacy of baicalein and 6-(methylsulfinyl)hexyl isothiocyanate, alone or in combination with 5-fluorouracil, in the treatment of colorectal cancer.黄芩素和6-(甲基亚磺酰基)己基异硫氰酸酯单独或与5-氟尿嘧啶联合用于治疗结直肠癌的疗效。
Naunyn Schmiedebergs Arch Pharmacol. 2025 Jun 10. doi: 10.1007/s00210-025-04274-w.
Am J Pathol. 2018 Aug;188(8):1921-1933. doi: 10.1016/j.ajpath.2018.05.007. Epub 2018 Jul 17.
4
Phospholipase D1 Inhibition Linked to Upregulation of ICAT Blocks Colorectal Cancer Growth Hyperactivated by Wnt/β-Catenin and PI3K/Akt Signaling.磷脂酶 D1 抑制与 ICAT 的上调有关,ICAT 阻断 Wnt/β-连环蛋白和 PI3K/Akt 信号通路的过度激活,抑制结直肠癌细胞生长。
Clin Cancer Res. 2017 Dec 1;23(23):7340-7350. doi: 10.1158/1078-0432.CCR-17-0749. Epub 2017 Sep 22.
5
The p53 Family Coordinates Wnt and Nodal Inputs in Mesendodermal Differentiation of Embryonic Stem Cells.p53家族在胚胎干细胞中胚层分化过程中协调Wnt和Nodal信号输入。
Cell Stem Cell. 2017 Jan 5;20(1):70-86. doi: 10.1016/j.stem.2016.10.002. Epub 2016 Nov 23.
6
Small-molecule binding of the axin RGS domain promotes β-catenin and Ras degradation.小分子结合轴突生长抑制因子 RGS 结构域促进β-连环蛋白和 Ras 的降解。
Nat Chem Biol. 2016 Aug;12(8):593-600. doi: 10.1038/nchembio.2103. Epub 2016 Jun 13.
7
Irinotecan, a key chemotherapeutic drug for metastatic colorectal cancer.伊立替康,一种用于转移性结直肠癌的关键化疗药物。
World J Gastroenterol. 2015 Nov 21;21(43):12234-48. doi: 10.3748/wjg.v21.i43.12234.
8
Sequential cancer mutations in cultured human intestinal stem cells.人类肠道干细胞培养中的连续癌症突变。
Nature. 2015 May 7;521(7550):43-7. doi: 10.1038/nature14415. Epub 2015 Apr 29.
9
Ionizing radiations sustain glioblastoma cell dedifferentiation to a stem-like phenotype through survivin: possible involvement in radioresistance.电离辐射通过生存素维持胶质母细胞瘤细胞去分化为干细胞样表型:可能与放射抗性有关。
Cell Death Dis. 2014 Nov 27;5(11):e1543. doi: 10.1038/cddis.2014.509.
10
Role of oncogenic K-Ras in cancer stem cell activation by aberrant Wnt/β-catenin signaling.致癌性 K-Ras 在异常 Wnt/β-连环蛋白信号通路激活肿瘤干细胞中的作用。
J Natl Cancer Inst. 2014 Feb;106(2):djt373. doi: 10.1093/jnci/djt373.