• 文献检索
  • 文档翻译
  • 深度研究
  • 学术资讯
  • Suppr Zotero 插件Zotero 插件
  • 邀请有礼
  • 套餐&价格
  • 历史记录
应用&插件
Suppr Zotero 插件Zotero 插件浏览器插件Mac 客户端Windows 客户端微信小程序
定价
高级版会员购买积分包购买API积分包
服务
文献检索文档翻译深度研究API 文档MCP 服务
关于我们
关于 Suppr公司介绍联系我们用户协议隐私条款
关注我们

Suppr 超能文献

核心技术专利:CN118964589B侵权必究
粤ICP备2023148730 号-1Suppr @ 2026

文献检索

告别复杂PubMed语法,用中文像聊天一样搜索,搜遍4000万医学文献。AI智能推荐,让科研检索更轻松。

立即免费搜索

文件翻译

保留排版,准确专业,支持PDF/Word/PPT等文件格式,支持 12+语言互译。

免费翻译文档

深度研究

AI帮你快速写综述,25分钟生成高质量综述,智能提取关键信息,辅助科研写作。

立即免费体验

探索性腹腔镜检查作为诊断巨大腹膜游离体的首选方法:一例报告

Exploratory laparoscopy as first choice procedure for the diagnosis of giant peritoneal loose body: a case report.

作者信息

Li RuiBin, Wan ZhiHeng, Li HaoTian

机构信息

First Affiliated Hospital of Baotou Medical College, Inner Mongolia University of Science and Technology, BaoTou, Inner Mongolia, China.

出版信息

J Int Med Res. 2020 Oct;48(10):300060520954714. doi: 10.1177/0300060520954714.

DOI:10.1177/0300060520954714
PMID:33100091
原文链接:https://pmc.ncbi.nlm.nih.gov/articles/PMC7607142/
Abstract

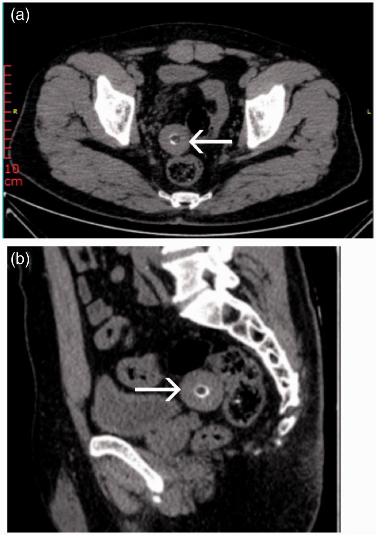
Peritoneal loose body (PLB) is an extremely rare clinical entity, and its preoperative diagnosis is often difficult. We report a case of giant PLB (GPLB) confirmed by exploratory laparoscopy. A 46-year-old man was admitted to hospital with an abdominal mass and urinary frequency. He underwent clinical and laboratory tests and computed tomography (CT), which indicated a lesion at the bottom of the bladder. Exploratory laparoscopic surgery revealed a GPLB, which was subsequently removed. The patient was comfortable after surgery and was discharged 3 days later. His symptoms of frequent urination improved during the 1-month follow-up period. The egg-shaped mass excised from the peritoneal cavity measured 45 × 40 × 33 mm. This case indicates that exploratory laparoscopy can be considered as the first-choice diagnostic procedure for patients with GPLB.

摘要

腹膜游离体(PLB)是一种极为罕见的临床实体,其术前诊断往往困难。我们报告一例经腹腔镜探查确诊的巨大腹膜游离体(GPLB)病例。一名46岁男性因腹部肿块和尿频入院。他接受了临床和实验室检查以及计算机断层扫描(CT),结果显示膀胱底部有一个病变。腹腔镜探查手术发现一个GPLB,随后将其切除。患者术后情况良好,3天后出院。在1个月的随访期内,他的尿频症状有所改善。从腹腔切除的椭圆形肿块尺寸为45×40×33mm。该病例表明,腹腔镜探查可被视为GPLB患者的首选诊断方法。

https://cdn.ncbi.nlm.nih.gov/pmc/blobs/45b1/7607142/9efa0a30c971/10.1177_0300060520954714-fig4.jpg
https://cdn.ncbi.nlm.nih.gov/pmc/blobs/45b1/7607142/8af110abfe50/10.1177_0300060520954714-fig1.jpg
https://cdn.ncbi.nlm.nih.gov/pmc/blobs/45b1/7607142/a951c417a352/10.1177_0300060520954714-fig2.jpg
https://cdn.ncbi.nlm.nih.gov/pmc/blobs/45b1/7607142/062a9c36193a/10.1177_0300060520954714-fig3.jpg
https://cdn.ncbi.nlm.nih.gov/pmc/blobs/45b1/7607142/9efa0a30c971/10.1177_0300060520954714-fig4.jpg
https://cdn.ncbi.nlm.nih.gov/pmc/blobs/45b1/7607142/8af110abfe50/10.1177_0300060520954714-fig1.jpg
https://cdn.ncbi.nlm.nih.gov/pmc/blobs/45b1/7607142/a951c417a352/10.1177_0300060520954714-fig2.jpg
https://cdn.ncbi.nlm.nih.gov/pmc/blobs/45b1/7607142/062a9c36193a/10.1177_0300060520954714-fig3.jpg
https://cdn.ncbi.nlm.nih.gov/pmc/blobs/45b1/7607142/9efa0a30c971/10.1177_0300060520954714-fig4.jpg

相似文献

1
Exploratory laparoscopy as first choice procedure for the diagnosis of giant peritoneal loose body: a case report.探索性腹腔镜检查作为诊断巨大腹膜游离体的首选方法:一例报告
J Int Med Res. 2020 Oct;48(10):300060520954714. doi: 10.1177/0300060520954714.
2
Giant peritoneal loose body : a case report and review of the literature.巨大腹膜游离体:一例报告并文献复习
Acta Gastroenterol Belg. 2019 Jul-Sep;82(3):441-443.
3
A Case of a Fixed Giant Peritoneal Loose Body outside the Peritoneum and near the Rectovesical Excavation.腹膜外固定性巨大腹膜假性瘤,紧邻直肠膀胱陷凹。
J Nippon Med Sch. 2023 Jun 29;90(3):276-281. doi: 10.1272/jnms.JNMS.2023_90-302. Epub 2022 Jan 25.
4
Two giant peritoneal loose bodies were simultaneously found in one patient: A case report and review of the literature.在一名患者中同时发现两个巨大的腹膜游离体:病例报告及文献复习。
Int J Surg Case Rep. 2017;36:74-77. doi: 10.1016/j.ijscr.2017.05.004. Epub 2017 May 18.
5
Giant peritoneal loose body and its protein composition: a case report.巨大腹膜假性黏液瘤及其蛋白成分:病例报告。
BMC Urol. 2024 Feb 17;24(1):43. doi: 10.1186/s12894-024-01425-8.
6
Laparoscopic extraction of a giant peritoneal loose body: Case report and review of literature.腹腔镜下取出巨大腹膜游离体:病例报告及文献复习
Int J Surg Case Rep. 2017;39:188-191. doi: 10.1016/j.ijscr.2017.08.033. Epub 2017 Aug 24.
7
Symptomatic giant peritoneal loose body in the pelvic cavity: A case report.盆腔内有症状的巨大腹膜游离体:一例报告。
Int J Surg Case Rep. 2016;21:32-5. doi: 10.1016/j.ijscr.2016.02.013. Epub 2016 Feb 12.
8
Giant peritoneal loose body in the pelvic cavity confirmed by laparoscopic exploration: a case report and review of the literature.经腹腔镜探查证实的盆腔巨大腹膜游离体:一例报告并文献复习
World J Surg Oncol. 2015 Mar 24;13:118. doi: 10.1186/s12957-015-0539-0.
9
A giant lipoma of the parietal peritoneum: Laparoscopic excision with the parietal peritoneum preserving procedure - a case report with literature review.巨大的腹膜后脂肪瘤:保留腹膜的腹腔镜切除术——病例报告并文献复习
BMC Surg. 2018 Aug 2;18(1):49. doi: 10.1186/s12893-018-0382-7.
10
Peritoneal loose body presenting as a hepatic mass: A case report and review of the literature.表现为肝脏肿块的腹膜游离体:一例报告并文献复习
Open Med (Wars). 2021 Sep 9;16(1):1356-1363. doi: 10.1515/med-2021-0351. eCollection 2021.

引用本文的文献

1
Peritoneal loose body presenting as a hepatic mass: A case report and review of the literature.表现为肝脏肿块的腹膜游离体:一例报告并文献复习
Open Med (Wars). 2021 Sep 9;16(1):1356-1363. doi: 10.1515/med-2021-0351. eCollection 2021.

本文引用的文献

1
Peritoneal loose bodies and the differentiation of fatty abdominal and pelvic lesions.腹膜游离体与腹部及盆腔脂肪性病变的鉴别
Radiol Case Rep. 2020 Jul 3;15(9):1506-1511. doi: 10.1016/j.radcr.2020.06.040. eCollection 2020 Sep.
2
Giant peritoneal loose body : a case report and review of the literature.巨大腹膜游离体:一例报告并文献复习
Acta Gastroenterol Belg. 2019 Jul-Sep;82(3):441-443.
3
Laparoscopic extraction of a giant peritoneal loose body: Case report and review of literature.腹腔镜下取出巨大腹膜游离体:病例报告及文献复习
Int J Surg Case Rep. 2017;39:188-191. doi: 10.1016/j.ijscr.2017.08.033. Epub 2017 Aug 24.
4
Two giant peritoneal loose bodies were simultaneously found in one patient: A case report and review of the literature.在一名患者中同时发现两个巨大的腹膜游离体:病例报告及文献复习。
Int J Surg Case Rep. 2017;36:74-77. doi: 10.1016/j.ijscr.2017.05.004. Epub 2017 May 18.
5
A pelvic "loose" body tumour causing urinary symptoms in a 73-year-old man.一名73岁男性因盆腔“游离”体肿瘤出现泌尿系统症状。
S Afr J Surg. 2016 Jun;54(2):53-54.
6
Symptomatic giant peritoneal loose body in the pelvic cavity: A case report.盆腔内有症状的巨大腹膜游离体:一例报告。
Int J Surg Case Rep. 2016;21:32-5. doi: 10.1016/j.ijscr.2016.02.013. Epub 2016 Feb 12.
7
Giant peritoneal loose body in the pelvic cavity confirmed by laparoscopic exploration: a case report and review of the literature.经腹腔镜探查证实的盆腔巨大腹膜游离体:一例报告并文献复习
World J Surg Oncol. 2015 Mar 24;13:118. doi: 10.1186/s12957-015-0539-0.
8
Images in clinical medicine. Peritoneal loose body.临床医学影像。腹膜游离体。
N Engl J Med. 2015 Apr 2;372(14):1359. doi: 10.1056/NEJMicm1316094.
9
Giant peritoneal loose body: a case report and review of literature.巨大腹膜游离体:一例报告并文献复习
J Clin Diagn Res. 2014 Jan;8(1):187-8. doi: 10.7860/JCDR/2014/7352.3925. Epub 2014 Jan 12.
10
A giant peritoneal loose body.一个巨大的腹膜游离体。
Korean J Pathol. 2013 Aug;47(4):378-82. doi: 10.4132/KoreanJPathol.2013.47.4.378. Epub 2013 Aug 26.