Suppr超能文献

急性心肌炎的三角型 QRS-ST-T 波心电图模式:来自一家资源有限医院的病例报告。

Triangular QRS-ST-T Waveform Electrocardiographic Pattern in Acute Myopericarditis: A Case Report from a Limited-Resources Hospital.

机构信息

Department of Cardiology and Vascular Medicine, Dr. R. Koesma General Hospital, Tuban, Indonesia.

Faculty of Medicine Universitas Airlangga, Surabaya, Indonesia.

出版信息

Am J Case Rep. 2020 Oct 26;21:e926360. doi: 10.12659/AJCR.926360.

Abstract

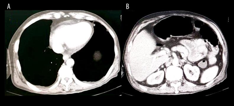
BACKGROUND Triangular QRS-ST-T waveform (TW) electrocardiography pattern has been found to be associated with poor prognosis in patients with ST-segment elevation myocardial infarction (STEMI). It identifies a subset of patients at high risk of both ventricular fibrillation and cardiogenic shock, with high in-hospital mortality. Therefore, aggressive treatment is needed in patients presenting with this electrocardiography pattern. However, this pattern is rarely present in non-ischemic cardiac diseases. CASE REPORT We report the case of a 50-year-old man who came to our emergency room with a chief complaint of gastrointestinal problems and partial bowel obstruction. After failure of initial conservative treatment, laparotomy was planned. Just before the surgery, the patient felt a non-specific chest discomfort and showed ST-segment elevation on ECG and slight elevation of cardiac enzyme. He was then treated for STEMI with an intravenous thrombolytic. However, the degree of ST-segment elevation further increased and showed a TW pattern. Transthoracic echocardiography revealed a moderate pericardial effusion with normal ejection fraction and a normokinetic left ventricle; hence, a diagnosis of acute myopericarditis was made. After treatment with low-dose steroid and colchicine, his symptoms improved, the electrocardiography pattern returned to normal, and the gastrointestinal symptoms resolved. CONCLUSIONS To the best of our knowledge, this is the first case report of an acute myopericarditis presenting with a TW electrocardiography pattern. Myopericarditis should always be considered in the differential diagnosis of acute chest pain and ST segment electrocardiography changes, including TW pattern. The use of echocardiography can help determine the diagnosis of myopericarditis.

摘要

背景

三角形 QRS-ST-T 波(TW)心电图模式与 ST 段抬高型心肌梗死(STEMI)患者的预后不良相关。它确定了一组同时存在心室颤动和心源性休克高风险的患者,院内死亡率较高。因此,对于出现这种心电图模式的患者需要进行积极治疗。然而,这种模式在非缺血性心脏疾病中很少见。

病例报告

我们报告了一位 50 岁男性的病例,他因胃肠道问题和部分肠梗阻的主诉来到我们的急诊室。在初始保守治疗失败后,计划进行剖腹手术。就在手术前,患者感到非特异性胸痛,心电图显示 ST 段抬高和轻度心肌酶升高。随后,他被诊断为 STEMI,并给予静脉溶栓治疗。然而,ST 段抬高程度进一步增加,并出现 TW 模式。经胸超声心动图显示中等量心包积液,射血分数正常,左心室运动正常;因此,诊断为急性心肌炎。给予小剂量激素和秋水仙碱治疗后,他的症状改善,心电图模式恢复正常,胃肠道症状缓解。

结论

据我们所知,这是首例急性心肌炎呈 TW 心电图模式的病例报告。在急性胸痛和 ST 段心电图变化的鉴别诊断中,包括 TW 模式,应始终考虑心肌炎。超声心动图的使用有助于确定心肌炎的诊断。

https://cdn.ncbi.nlm.nih.gov/pmc/blobs/2a1e/7598149/1ca7e201fd4a/amjcaserep-21-e926360-g001.jpg

文献检索

告别复杂PubMed语法,用中文像聊天一样搜索,搜遍4000万医学文献。AI智能推荐,让科研检索更轻松。

立即免费搜索

文件翻译

保留排版,准确专业,支持PDF/Word/PPT等文件格式,支持 12+语言互译。

免费翻译文档

深度研究

AI帮你快速写综述,25分钟生成高质量综述,智能提取关键信息,辅助科研写作。

立即免费体验