Suppr超能文献

持续的雄激素受体信号是黑色素瘤细胞生长潜力和肿瘤发生的决定因素。

Sustained androgen receptor signaling is a determinant of melanoma cell growth potential and tumorigenesis.

机构信息

Department of Biochemistry, University of Lausanne, Epalinges, Switzerland.

Department of Computational Biology, University of Lausanne, Lausanne, Switzerland.

出版信息

J Exp Med. 2021 Feb 1;218(2). doi: 10.1084/jem.20201137.

Abstract

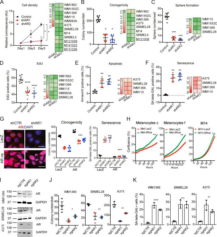
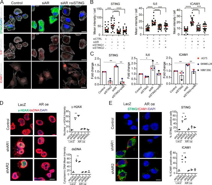
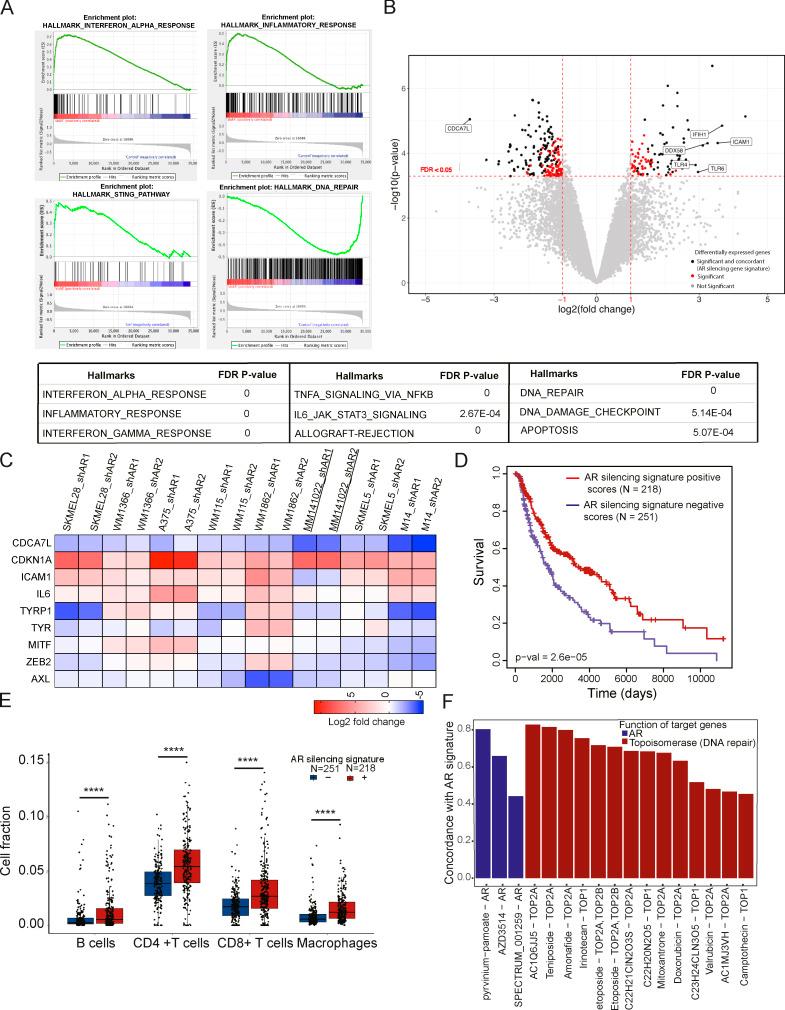
Melanoma susceptibility differs significantly in male versus female populations. Low levels of androgen receptor (AR) in melanocytes of the two sexes are accompanied by heterogeneous expression at various stages of the disease. Irrespective of expression levels, genetic and pharmacological suppression of AR activity in melanoma cells blunts proliferation and induces senescence, while increased AR expression or activation exert opposite effects. AR down-modulation elicits a shared gene expression signature associated with better patient survival, related to interferon and cytokine signaling and DNA damage/repair. AR loss leads to dsDNA breakage, cytoplasmic leakage, and STING activation, with AR anchoring the DNA repair proteins Ku70/Ku80 to RNA Pol II and preventing RNA Pol II-associated DNA damage. AR down-modulation or pharmacological inhibition suppresses melanomagenesis, with increased intratumoral infiltration of macrophages and, in an immune-competent mouse model, cytotoxic T cells. AR provides an attractive target for improved management of melanoma independent of patient sex.

摘要

黑素瘤易感性在男性和女性人群中存在显著差异。两性黑素细胞中的雄激素受体 (AR) 水平较低,同时在疾病的各个阶段表达也存在异质性。无论表达水平如何,遗传和药理学抑制黑素瘤细胞中的 AR 活性都会抑制增殖并诱导衰老,而增加 AR 的表达或激活则会产生相反的效果。AR 下调会引发与患者生存更好相关的共享基因表达特征,与干扰素和细胞因子信号转导以及 DNA 损伤/修复有关。AR 缺失会导致双链 DNA 断裂、细胞质渗漏和 STING 激活,同时 AR 将 DNA 修复蛋白 Ku70/Ku80 锚定到 RNA Pol II,防止 RNA Pol II 相关的 DNA 损伤。AR 下调或药理学抑制可抑制黑素瘤发生,同时增加肿瘤内巨噬细胞浸润,在免疫功能正常的小鼠模型中还增加了细胞毒性 T 细胞。AR 为改善黑素瘤的管理提供了一个有吸引力的靶点,与患者性别无关。

https://cdn.ncbi.nlm.nih.gov/pmc/blobs/4e50/7596884/e3468e9d6593/JEM_20201137_GA.jpg

文献检索

告别复杂PubMed语法,用中文像聊天一样搜索,搜遍4000万医学文献。AI智能推荐,让科研检索更轻松。

立即免费搜索

文件翻译

保留排版,准确专业,支持PDF/Word/PPT等文件格式,支持 12+语言互译。

免费翻译文档

深度研究

AI帮你快速写综述,25分钟生成高质量综述,智能提取关键信息,辅助科研写作。

立即免费体验