Department of Forensic Medicine, North Sichuan Medical College, Nanchong, 637000, People's Republic of China.
School of Forensic Medicine, Kunming Medical University, Kunming, 650500, People's Republic of China.
Sci Rep. 2020 Oct 30;10(1):18753. doi: 10.1038/s41598-020-76040-2.
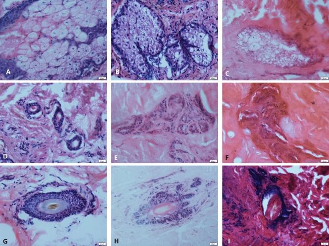
To observe the histological changes in human skin within 32 days after death to explore its potential significance in forensic practice. The intact full-thickness skin and subcutaneous tissue from the sternum of eight corpses were placed in an environment of 4-6 °C for 4 h, 6 h, 12 h, 18 h, 24 h, 36 h, 48 h, 60 h, 72 h, 84 h, 96 h, 6 d, 8 d, 10 d, 12 d, 16 d, 20 d, 24 d, 28 d, and 32 d. Then, the whole layer of the skin was stained with haematoxylin & eosin. The histological morphology of the epidermis, dermis and appendages (sweat glands, hair follicles, and sebaceous glands) was observed under an light microscope. The epithelial nucleus condensed at 24 h after death, and cell lysis was exhausted after 20 days. The post-mortem changes in the dermis occurred later than that of the epidermis (72 h), but after epidermal changes started, the change was more rapid. At 16 d, the layers had become homogenized. The epidermis and dermis had completely separated 24 d after death. The changes in the sweat glands appeared earlier (24 h) and disappeared later (32 days); the sebaceous glands and hair follicles began to undergo degenerative changes at 96 h after death, and at approximately 20 d, only their contour remained. There were individual and structural differences in the post-mortem histological changes in the skin. At 4-6 °C ambient temperature, some structures of the human skin still exist for a long time after death, and these structures can be used to identify the source of the tissue; post-mortem histological changes in the skin occur at specific times, which can be used to help infer the time of death. A comprehensive observation of changes in the skin composition/structure is required to comprehensively analyse possible death times.
观察人死后 32 天内皮肤的组织学变化,探讨其在法医学实践中的潜在意义。从 8 具尸体的胸骨处获取完整的全层皮肤和皮下组织,在 4-6°C 的环境中放置 4 小时、6 小时、12 小时、18 小时、24 小时、36 小时、48 小时、60 小时、72 小时、84 小时、96 小时、6 天、8 天、10 天、12 天、16 天、20 天、24 天、28 天和 32 天后,用苏木精-伊红染色对皮肤的整个全层进行染色。在光学显微镜下观察表皮、真皮和附属物(汗腺、毛囊和皮脂腺)的组织形态。死后 24 小时上皮细胞核浓缩,20 天后细胞溶解耗尽。真皮的死后变化比表皮晚(72 小时),但表皮变化开始后,变化更快。16 天时,各层已变得均匀化。死后 24 天表皮和真皮完全分离。汗腺的变化出现较早(24 小时),消失较晚(32 天);皮脂腺和毛囊在死后 96 小时开始发生退行性变化,大约 20 天后,只剩下它们的轮廓。皮肤的死后组织学变化存在个体和结构差异。在环境温度为 4-6°C 的情况下,人体皮肤的一些结构在死后仍能长时间存在,这些结构可用于确定组织来源;皮肤的死后组织学变化发生在特定时间,可以用来帮助推断死亡时间。需要对皮肤成分/结构的变化进行全面观察,以综合分析可能的死亡时间。