Zaimi Mohd Aizuddin, Mamat Ahmad Zuhdi, Ghazali Mohamad Ziyadi, Zakaria Andee Dzulkarnaen, Sahid Nik Amin, Hayati Firdaus
Cardiothoracic Unit, Department of Surgery, School of Medical Sciences, Hospital Universiti Sains Malaysia, Kubang Kerian, Kelantan, Malaysia.
Department of Surgery, School of Medical Sciences, Hospital Universiti Sains Malaysia, Kubang Kerian, Kelantan, Malaysia.
Oxf Med Case Reports. 2020 Oct 23;2020(10):omaa083. doi: 10.1093/omcr/omaa083. eCollection 2020 Oct.
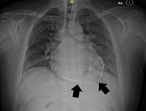
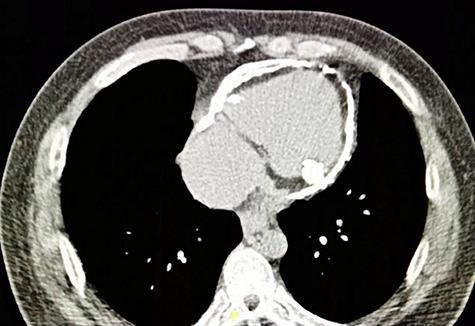
Constrictive pericarditis is a disabling disease of the heart, which causes cardiac diastolic dysfunction. We present a case of a 44-year-old gentleman with a history of blunt chest trauma who presented with constrictive pericarditis with right-sided heart failure. Imaging studies revealed a calcified pericardium. He underwent an uneventful pericardiectomy. Calcification is common yet rare if it involves the pericardium. It normally occurs following fibrosis and adhesion which are associated with the chronicity of the disease, hence creating more challenge to the operating surgeon in the pericardiectomy procedure.