• 文献检索
  • 文档翻译
  • 深度研究
  • 学术资讯
  • Suppr Zotero 插件Zotero 插件
  • 邀请有礼
  • 套餐&价格
  • 历史记录
应用&插件
Suppr Zotero 插件Zotero 插件浏览器插件Mac 客户端Windows 客户端微信小程序
定价
高级版会员购买积分包购买API积分包
服务
文献检索文档翻译深度研究API 文档MCP 服务
关于我们
关于 Suppr公司介绍联系我们用户协议隐私条款
关注我们

Suppr 超能文献

核心技术专利:CN118964589B侵权必究
粤ICP备2023148730 号-1Suppr @ 2026

文献检索

告别复杂PubMed语法,用中文像聊天一样搜索,搜遍4000万医学文献。AI智能推荐,让科研检索更轻松。

立即免费搜索

文件翻译

保留排版,准确专业,支持PDF/Word/PPT等文件格式,支持 12+语言互译。

免费翻译文档

深度研究

AI帮你快速写综述,25分钟生成高质量综述,智能提取关键信息,辅助科研写作。

立即免费体验

一名因前列腺癌转移导致肝内出血继发梗阻性黄疸的患者。

A patient with obstructive jaundice secondary to intrahepatic bleeding caused by prostate cancer metastasis.

作者信息

Adawi Essa A

机构信息

Surgical Department, Faculty of Medicine, Jazan University, Saudi Arabia.

出版信息

Urol Case Rep. 2020 Oct 22;34:101443. doi: 10.1016/j.eucr.2020.101443. eCollection 2021 Jan.

DOI:10.1016/j.eucr.2020.101443
PMID:33134084
原文链接:https://pmc.ncbi.nlm.nih.gov/articles/PMC7588697/
Abstract

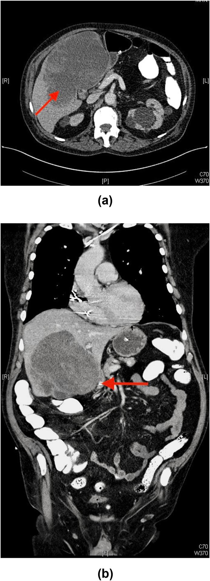
A metastatic disease causes jaundice is not uncommon and usually related to direct tumor invasion to the biliary tree or massive intrahepatic metastasis. Cholestasis secondary to non-traumatic intrahepatic bleeding caused by metastasis from prostate cancer is never been reported in the literature. We present the first case of a-71-years-old patient developed Cholestasis due to spontaneous intrahepatic bleeding caused by metastasis from prostate cancer that was successfully treated conservatively. Prostatic cancer causes liver metastasis carries worse prognosis and compression of the intrahepatic biliary ducts can have long term unsatisfactory outcomes.

摘要

转移性疾病导致黄疸并不罕见,通常与肿瘤直接侵犯胆管树或大量肝内转移有关。文献中从未报道过前列腺癌转移引起的非创伤性肝内出血继发胆汁淤积的情况。我们报告了首例71岁患者因前列腺癌转移导致自发性肝内出血而出现胆汁淤积,经保守治疗成功治愈的病例。前列腺癌引起肝转移预后较差,肝内胆管受压可能导致长期不理想的结果。

https://cdn.ncbi.nlm.nih.gov/pmc/blobs/ae67/7588697/b6ad87e47f30/gr1.jpg
https://cdn.ncbi.nlm.nih.gov/pmc/blobs/ae67/7588697/b6ad87e47f30/gr1.jpg
https://cdn.ncbi.nlm.nih.gov/pmc/blobs/ae67/7588697/b6ad87e47f30/gr1.jpg

相似文献

1
A patient with obstructive jaundice secondary to intrahepatic bleeding caused by prostate cancer metastasis.一名因前列腺癌转移导致肝内出血继发梗阻性黄疸的患者。
Urol Case Rep. 2020 Oct 22;34:101443. doi: 10.1016/j.eucr.2020.101443. eCollection 2021 Jan.
2
Hepatocellular carcinoma with obstructive jaundice: diagnosis, treatment and prognosis.伴有阻塞性黄疸的肝细胞癌:诊断、治疗与预后
World J Gastroenterol. 2003 Mar;9(3):385-91. doi: 10.3748/wjg.v9.i3.385.
3
Case Report of Painless Obstructive Jaundice: A Rare First Presentation of Small-Cell Lung Cancer.无痛性梗阻性黄疸病例报告:小细胞肺癌一种罕见的首发表现
Cureus. 2023 Feb 27;15(2):e35561. doi: 10.7759/cureus.35561. eCollection 2023 Feb.
4
[Long-Term Multidisciplinary Therapy for Multiple Liver Metastases from Colorectal Cancer with Biliary Drainage for Occlusive Jaundice--A Case Report].[结直肠癌多发肝转移伴梗阻性黄疸行胆道引流的长期多学科治疗——病例报告]
Gan To Kagaku Ryoho. 2015 Nov;42(12):1740-2.
5
[Transhepatic drainage during mechanical jaundice caused by intrahepatic metastatic biliary duct obstruction].
Georgian Med News. 2005 Jul-Aug(124-125):7-10.
6
Reversible intrahepatic cholestasis in metastatic prostate cancer: An uncommon paraneoplastic syndrome.转移性前列腺癌中的可逆性肝内胆汁淤积:一种罕见的副肿瘤综合征。
Mol Clin Oncol. 2018 Apr;8(4):609-612. doi: 10.3892/mco.2018.1564. Epub 2018 Feb 2.
7
[Computerized tomography in the assessment of obstructive jaundice caused by hepatic hydatid cysts].[计算机断层扫描在肝包虫囊肿所致梗阻性黄疸评估中的应用]
Radiol Med. 1995 Jun;89(6):804-8.
8
Obstructive jaundice as a presenting symptom of metastatic carcinoma of the prostate.梗阻性黄疸作为前列腺转移性癌的首发症状。
BMJ Case Rep. 2009;2009. doi: 10.1136/bcr.05.2009.1839. Epub 2009 Aug 20.
9
The role of grey scale ultrasonography in the investigation of jaundice.灰阶超声检查在黄疸诊断中的作用。
Br J Surg. 1979 Mar;66(3):162-5. doi: 10.1002/bjs.1800660307.
10
Extrahepatic biliary stenoses after hepatic arterial infusion (HAI) of floxuridine (FUdR) for liver metastases from colorectal cancer.经肝动脉灌注氟尿苷(FUdR)治疗结直肠癌肝转移后出现的肝外胆管狭窄。
Hepatogastroenterology. 2001 Sep-Oct;48(41):1302-7.

本文引用的文献

1
Reversible intrahepatic cholestasis in metastatic prostate cancer: An uncommon paraneoplastic syndrome.转移性前列腺癌中的可逆性肝内胆汁淤积:一种罕见的副肿瘤综合征。
Mol Clin Oncol. 2018 Apr;8(4):609-612. doi: 10.3892/mco.2018.1564. Epub 2018 Feb 2.
2
A patient with obstructive jaundice due to bleeding in the common bile duct after ultrasound-guided liver biopsy.一名在超声引导下肝活检后因胆总管出血导致梗阻性黄疸的患者。
Tokai J Exp Clin Med. 2010 Sep 20;35(3):107-11.
3
Paraneoplastic hepatic dysfunction in metastatic prostate cancer: the role of cytokine dysregulation.
J Clin Oncol. 2011 Jan 10;29(2):e21-3. doi: 10.1200/JCO.2010.30.6522. Epub 2010 Oct 12.
4
Cholestatic jaundice as a paraneoplastic manifestation of prostate adenocarcinoma.胆汁淤积性黄疸作为前列腺腺癌的副肿瘤表现。
Clin Gastroenterol Hepatol. 2003 Nov;1(6):480-3. doi: 10.1016/s1542-3565(03)00227-1.
5
Metastatic prostate cancer (with prostate-specific antigen of 9996) presenting as obstructive jaundice.
Am J Med Sci. 2000 Feb;319(2):118-22. doi: 10.1097/00000441-200002000-00009.