• 文献检索
  • 文档翻译
  • 深度研究
  • 学术资讯
  • Suppr Zotero 插件Zotero 插件
  • 邀请有礼
  • 套餐&价格
  • 历史记录
应用&插件
Suppr Zotero 插件Zotero 插件浏览器插件Mac 客户端Windows 客户端微信小程序
定价
高级版会员购买积分包购买API积分包
服务
文献检索文档翻译深度研究API 文档MCP 服务
关于我们
关于 Suppr公司介绍联系我们用户协议隐私条款
关注我们

Suppr 超能文献

核心技术专利:CN118964589B侵权必究
粤ICP备2023148730 号-1Suppr @ 2026

文献检索

告别复杂PubMed语法,用中文像聊天一样搜索,搜遍4000万医学文献。AI智能推荐,让科研检索更轻松。

立即免费搜索

文件翻译

保留排版,准确专业,支持PDF/Word/PPT等文件格式,支持 12+语言互译。

免费翻译文档

深度研究

AI帮你快速写综述,25分钟生成高质量综述,智能提取关键信息,辅助科研写作。

立即免费体验

白细胞介素-17在慢性自发性荨麻疹免疫发病机制中的新作用

The Emerging Role of IL-17 in the Immune-Pathogenesis of Chronic Spontaneous Urticaria.

作者信息

Toubi Elias, Vadasz Zahava

机构信息

The Outpatient Allergy Clinic, The Holy Family Hospital, Nazareth, Israel.

The Proteomic Unit, The Division of Clinical Immunology, Bnai-Zion Medical Center, Faculty of Medicine, Technion, Haifa, Israel.

出版信息

Immunotargets Ther. 2020 Oct 22;9:217-223. doi: 10.2147/ITT.S266410. eCollection 2020.

DOI:10.2147/ITT.S266410
PMID:33134229
原文链接:https://pmc.ncbi.nlm.nih.gov/articles/PMC7592154/
Abstract

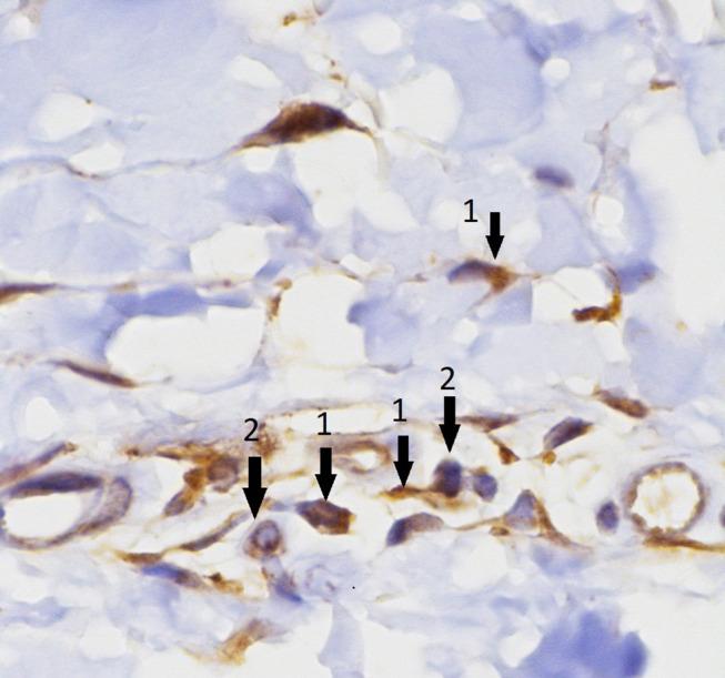
Chronic spontaneous urticaria (CSU) is considered to be an autoimmune disorder (type I and type II) in 50% of all cases. However, autoreactive T cells and their proximity with activated mast cells in the skin of CSU patients are believed to be the primary event in mast cell degranulation. The finding of anti-FcɛRIα on mast cells or IgE autoantibodies against thyroid antigens should be considered to be a consequence of the auto-reactive T cells' recognition of the above-mentioned antigens. Our recent finding of increased Th17 and IL-17 expression in both CD4+ T cells and mast cells in the skin of severe CSU patients is supportive for the major role that T cells perform in the pathogenesis of CSU. Supporting this are numerous previous reports in which increased serum IL-17 was found to be in association with CSU disease severity. The beneficial effect of anti-IL-17A (secukinumab) in CSU patients in whom high dose anti-histamines, recurrent course of steroids and omalizumab fail to achieve a reasonable response should be investigated as a new therapeutic strategy in future studies with a large cohort of patients.

摘要

在所有慢性自发性荨麻疹(CSU)病例中,50%被认为是自身免疫性疾病(I型和II型)。然而,CSU患者皮肤中自身反应性T细胞及其与活化肥大细胞的接近程度被认为是肥大细胞脱颗粒的主要事件。在肥大细胞上发现抗FcɛRIα或针对甲状腺抗原的IgE自身抗体应被视为自身反应性T细胞识别上述抗原的结果。我们最近发现,重度CSU患者皮肤中的CD4+T细胞和肥大细胞中Th17和IL-17表达增加,这支持了T细胞在CSU发病机制中发挥的主要作用。此前有许多报道支持这一点,其中发现血清IL-17升高与CSU疾病严重程度相关。对于高剂量抗组胺药、反复使用类固醇和奥马珠单抗均未能取得合理疗效的CSU患者,抗IL-17A(司库奇尤单抗)的有益作用应作为一种新的治疗策略在未来针对大量患者的研究中进行调查。

https://cdn.ncbi.nlm.nih.gov/pmc/blobs/17c4/7592154/83b16364d31b/ITT-9-217-g0002.jpg
https://cdn.ncbi.nlm.nih.gov/pmc/blobs/17c4/7592154/ba28009b3b8c/ITT-9-217-g0001.jpg
https://cdn.ncbi.nlm.nih.gov/pmc/blobs/17c4/7592154/83b16364d31b/ITT-9-217-g0002.jpg
https://cdn.ncbi.nlm.nih.gov/pmc/blobs/17c4/7592154/ba28009b3b8c/ITT-9-217-g0001.jpg
https://cdn.ncbi.nlm.nih.gov/pmc/blobs/17c4/7592154/83b16364d31b/ITT-9-217-g0002.jpg

相似文献

1
The Emerging Role of IL-17 in the Immune-Pathogenesis of Chronic Spontaneous Urticaria.白细胞介素-17在慢性自发性荨麻疹免疫发病机制中的新作用
Immunotargets Ther. 2020 Oct 22;9:217-223. doi: 10.2147/ITT.S266410. eCollection 2020.
2
Interleukin-17 is a potential player and treatment target in severe chronic spontaneous urticaria.白细胞介素-17 是严重慢性自发性荨麻疹的潜在作用因子和治疗靶点。
Clin Exp Allergy. 2020 Jul;50(7):799-804. doi: 10.1111/cea.13616.
3
The Expression of IL-17, in Chronic Spontaneous Urticaria Is Linked to Semaphorin5A.白细胞介素-17 在慢性自发性荨麻疹中的表达与神经鞘磷脂 5A 有关。
Biomolecules. 2021 Mar 2;11(3):373. doi: 10.3390/biom11030373.
4
Autoimmune chronic spontaneous urticaria.自身免疫性慢性自发性荨麻疹。
J Allergy Clin Immunol. 2022 Jun;149(6):1819-1831. doi: 10.1016/j.jaci.2022.04.010.
5
Autoreactive T cells in chronic spontaneous urticaria target the IgE Fc receptor Iα subunit.慢性自发性荨麻疹中自体反应性 T 细胞的靶标为 IgE Fc 受体 Iα 亚基。
J Allergy Clin Immunol. 2016 Sep;138(3):761-768.e4. doi: 10.1016/j.jaci.2016.04.036. Epub 2016 Jun 8.
6
IL-24 is a common and specific autoantigen of IgE in patients with chronic spontaneous urticaria.白细胞介素 24 是慢性自发性荨麻疹患者 IgE 的常见和特异性自身抗原。
J Allergy Clin Immunol. 2018 Sep;142(3):876-882. doi: 10.1016/j.jaci.2017.10.035. Epub 2017 Dec 5.
7
IgM and IgA in addition to IgG autoantibodies against FcɛRIα are frequent and associated with disease markers of chronic spontaneous urticaria.除了抗FcɛRIα的IgG自身抗体外,IgM和IgA也很常见,且与慢性自发性荨麻疹的疾病标志物相关。
Allergy. 2020 Dec;75(12):3208-3215. doi: 10.1111/all.14412. Epub 2020 Jun 18.
8
Anti-heat shock protein 10 IgG in chronic spontaneous urticaria: Relation with miRNA-101-5p and platelet-activating factor.慢性自发性荨麻疹患者抗热休克蛋白 10 IgG:与 miRNA-101-5p 和血小板激活因子的关系。
Allergy. 2023 Dec;78(12):3166-3177. doi: 10.1111/all.15810. Epub 2023 Jul 7.
9
Omalizumab may not inhibit mast cell and basophil activation in vitro.奥马珠单抗可能无法抑制体外的肥大细胞和嗜碱性粒细胞活化。
J Eur Acad Dermatol Venereol. 2015 Sep;29(9):1832-6. doi: 10.1111/jdv.12693. Epub 2014 Sep 26.
10
IgE mediated autoallergy against thyroid peroxidase--a novel pathomechanism of chronic spontaneous urticaria?针对甲状腺过氧化物酶的 IgE 介导的自身过敏反应——慢性自发性荨麻疹的新发病机制?
PLoS One. 2011 Apr 12;6(4):e14794. doi: 10.1371/journal.pone.0014794.

引用本文的文献

1
Beyond the Skin: Exploring the Gut-Skin Axis in Chronic Spontaneous Urticaria and Other Inflammatory Skin Diseases.皮肤之外:探索慢性自发性荨麻疹及其他炎症性皮肤病中的肠-皮肤轴
Biomedicines. 2025 Aug 19;13(8):2014. doi: 10.3390/biomedicines13082014.
2
Cutaneous reactions to vaccination.疫苗接种后的皮肤反应。
J Dtsch Dermatol Ges. 2025 Feb;23(2):195-209. doi: 10.1111/ddg.15477. Epub 2025 Jan 26.
3
Monozygotic triplets with juvenile-onset autoimmunity and 18p microdeletion involving .患有青少年期自身免疫性疾病且存在涉及18号染色体短臂微缺失的单卵三胞胎

本文引用的文献

1
Interleukin-17 is a potential player and treatment target in severe chronic spontaneous urticaria.白细胞介素-17 是严重慢性自发性荨麻疹的潜在作用因子和治疗靶点。
Clin Exp Allergy. 2020 Jul;50(7):799-804. doi: 10.1111/cea.13616.
2
Interleukin (IL)-17/IL-36 axis participates to the crosstalk between endothelial cells and keratinocytes during inflammatory skin responses.白细胞介素 (IL)-17/IL-36 轴参与炎症性皮肤反应过程中内皮细胞和角质形成细胞之间的串扰。
PLoS One. 2020 Apr 30;15(4):e0222969. doi: 10.1371/journal.pone.0222969. eCollection 2020.
3
Ligelizumab for Chronic Spontaneous Urticaria.
Front Genet. 2024 Sep 18;15:1437566. doi: 10.3389/fgene.2024.1437566. eCollection 2024.
4
Chronic spontaneous urticaria preceded by localized insulin reactions: case report.以局部胰岛素反应为先兆的慢性自发性荨麻疹:病例报告。
SAGE Open Med Case Rep. 2024 Apr 22;12:2050313X241248383. doi: 10.1177/2050313X241248383. eCollection 2024.
5
Levels of serum inflammatory cytokines and their correlations with disease severity in patients with chronic spontaneous urticaria.慢性自发性荨麻疹患者血清炎症细胞因子水平及其与疾病严重程度的相关性
Postepy Dermatol Alergol. 2024 Feb;41(1):85-90. doi: 10.5114/ada.2024.135922. Epub 2024 Feb 28.
6
Cytokine Profiles of Chronic Urticaria Patients and The Effect of Omalizumab Treatment.慢性荨麻疹患者的细胞因子谱及奥马珠单抗治疗的效果
Dermatol Pract Concept. 2023 Oct 1;13(4):e2023272. doi: 10.5826/dpc.1304a272.
7
Gut Microbiome Composition in Patients with Chronic Urticaria: A Review of Current Evidence and Data.慢性荨麻疹患者的肠道微生物群组成:当前证据和数据综述
Life (Basel). 2023 Jan 4;13(1):152. doi: 10.3390/life13010152.
8
The Role of Crosstalk of Immune Cells in Pathogenesis of Chronic Spontaneous Urticaria.免疫细胞串扰在慢性自发性荨麻疹发病机制中的作用。
Front Immunol. 2022 May 31;13:879754. doi: 10.3389/fimmu.2022.879754. eCollection 2022.
9
Exhaled Nitric Oxide Level in Pharynx Angioedema.咽血管性水肿患者呼出一氧化氮水平
J Clin Med. 2022 Jan 27;11(3):637. doi: 10.3390/jcm11030637.
10
Adjunct therapy with probiotics for chronic urticaria in children: randomised placebo-controlled trial.益生菌辅助治疗儿童慢性荨麻疹:随机安慰剂对照试验。
Allergy Asthma Clin Immunol. 2021 Apr 17;17(1):39. doi: 10.1186/s13223-021-00544-3.
利格司亭治疗慢性自发性荨麻疹。
N Engl J Med. 2019 Oct 3;381(14):1321-1332. doi: 10.1056/NEJMoa1900408.
4
Antinuclear antibodies are common and linked to poor response to omalizumab treatment in patients with CSU.抗核抗体很常见,且与慢性自发性荨麻疹患者对奥马珠单抗治疗反应不佳有关。
Allergy. 2020 Feb;75(2):468-470. doi: 10.1111/all.14033. Epub 2019 Oct 3.
5
New treatments for chronic urticaria.慢性荨麻疹的新疗法。
Ann Allergy Asthma Immunol. 2020 Jan;124(1):2-12. doi: 10.1016/j.anai.2019.08.014. Epub 2019 Aug 23.
6
Interleukin-36 in Infectious and Inflammatory Skin Diseases.白细胞介素-36 在感染性和炎症性皮肤病中的作用。
Front Immunol. 2019 May 24;10:1162. doi: 10.3389/fimmu.2019.01162. eCollection 2019.
7
Autoimmune Theories of Chronic Spontaneous Urticaria.慢性自发性荨麻疹的自身免疫理论。
Front Immunol. 2019 Mar 29;10:627. doi: 10.3389/fimmu.2019.00627. eCollection 2019.
8
IL-36, IL-37, and IL-38 Cytokines in Skin and Joint Inflammation: A Comprehensive Review of Their Therapeutic Potential.白细胞介素-36、白细胞介素-37 和白细胞介素-38 细胞因子在皮肤和关节炎症中的作用:治疗潜力的全面综述。
Int J Mol Sci. 2019 Mar 13;20(6):1257. doi: 10.3390/ijms20061257.
9
Effects of Desloratadine Citrate Disodium on Serum Immune Function Indices, Inflammatory Factors and Chemokines in Patients with Chronic Urticaria.枸橼酸地氯雷他定二钠对慢性荨麻疹患者血清免疫功能指标、炎症因子及趋化因子的影响
J Coll Physicians Surg Pak. 2019 Mar;29(3):214-217. doi: 10.29271/jcpsp.2019.03.214.
10
Disrupting the IL-36 and IL-23/IL-17 loop underlies the efficacy of calcipotriol and corticosteroid therapy for psoriasis.破坏白细胞介素-36与白细胞介素-23/白细胞介素-17循环是卡泊三醇和皮质类固醇治疗银屑病疗效的基础。
JCI Insight. 2019 Jan 24;4(2):e123390. doi: 10.1172/jci.insight.123390.