• 文献检索
  • 文档翻译
  • 深度研究
  • 学术资讯
  • Suppr Zotero 插件Zotero 插件
  • 邀请有礼
  • 套餐&价格
  • 历史记录
应用&插件
Suppr Zotero 插件Zotero 插件浏览器插件Mac 客户端Windows 客户端微信小程序
定价
高级版会员购买积分包购买API积分包
服务
文献检索文档翻译深度研究API 文档MCP 服务
关于我们
关于 Suppr公司介绍联系我们用户协议隐私条款
关注我们

Suppr 超能文献

核心技术专利:CN118964589B侵权必究
粤ICP备2023148730 号-1Suppr @ 2026

文献检索

告别复杂PubMed语法,用中文像聊天一样搜索,搜遍4000万医学文献。AI智能推荐,让科研检索更轻松。

立即免费搜索

文件翻译

保留排版,准确专业,支持PDF/Word/PPT等文件格式,支持 12+语言互译。

免费翻译文档

深度研究

AI帮你快速写综述,25分钟生成高质量综述,智能提取关键信息,辅助科研写作。

立即免费体验

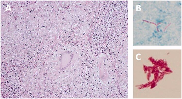
免疫功能低下患者因罕见非结核分枝杆菌引起的手部屈肌腱腱鞘炎。

Flexor tenosynovitis of the hand due to rare nontuberculous mycobacterium () in an immunocompromised patient.

作者信息

Yokoi Takuya, Saito Kosuke, Uemura Takuya, Takizawa Etsuko, Hidaka Noriaki, Okada Mitsuhiro, Nakamura Hiroaki

机构信息

Department of Orthopaedic Surgery, Osaka City University Graduate School of Medicine, Osaka, Japan.

Department of Orthopaedic Surgery, Higashisumiyoshi Morimoto Hospital, Osaka, Japan.

出版信息

Case Reports Plast Surg Hand Surg. 2020 Oct 13;7(1):116-119. doi: 10.1080/23320885.2020.1830775.

DOI:10.1080/23320885.2020.1830775
PMID:33134429
原文链接:https://pmc.ncbi.nlm.nih.gov/articles/PMC7580769/
Abstract

We report a case of purulent flexor tenosynovitis caused by in an immunosuppressed patient who received renal transplantation. Three synovial debridements and multiple antimicrobial administrations with clarithromycin, rifampicin, and moxifloxacin have been performed. No apparent recurrence has been observed two years after the final operation.

摘要

我们报告了一例在接受肾移植的免疫抑制患者中由[未提及病因]引起的脓性屈指肌腱腱鞘炎病例。已进行了三次滑膜清创术,并多次使用克拉霉素、利福平及莫西沙星进行抗菌治疗。最后一次手术后两年未观察到明显复发。

https://cdn.ncbi.nlm.nih.gov/pmc/blobs/87e7/7580769/55ef872a10a5/ICRP_A_1830775_F0005_C.jpg
https://cdn.ncbi.nlm.nih.gov/pmc/blobs/87e7/7580769/eb3e9ea5f552/ICRP_A_1830775_F0001_C.jpg
https://cdn.ncbi.nlm.nih.gov/pmc/blobs/87e7/7580769/b8c4153f2ae5/ICRP_A_1830775_F0002_C.jpg
https://cdn.ncbi.nlm.nih.gov/pmc/blobs/87e7/7580769/26284b414da1/ICRP_A_1830775_F0003_C.jpg
https://cdn.ncbi.nlm.nih.gov/pmc/blobs/87e7/7580769/bb7207747b99/ICRP_A_1830775_F0004_B.jpg
https://cdn.ncbi.nlm.nih.gov/pmc/blobs/87e7/7580769/55ef872a10a5/ICRP_A_1830775_F0005_C.jpg
https://cdn.ncbi.nlm.nih.gov/pmc/blobs/87e7/7580769/eb3e9ea5f552/ICRP_A_1830775_F0001_C.jpg
https://cdn.ncbi.nlm.nih.gov/pmc/blobs/87e7/7580769/b8c4153f2ae5/ICRP_A_1830775_F0002_C.jpg
https://cdn.ncbi.nlm.nih.gov/pmc/blobs/87e7/7580769/26284b414da1/ICRP_A_1830775_F0003_C.jpg
https://cdn.ncbi.nlm.nih.gov/pmc/blobs/87e7/7580769/bb7207747b99/ICRP_A_1830775_F0004_B.jpg
https://cdn.ncbi.nlm.nih.gov/pmc/blobs/87e7/7580769/55ef872a10a5/ICRP_A_1830775_F0005_C.jpg

相似文献

1
Flexor tenosynovitis of the hand due to rare nontuberculous mycobacterium () in an immunocompromised patient.免疫功能低下患者因罕见非结核分枝杆菌引起的手部屈肌腱腱鞘炎。
Case Reports Plast Surg Hand Surg. 2020 Oct 13;7(1):116-119. doi: 10.1080/23320885.2020.1830775.
2
Fatal disseminated infection involving the central nervous system in a renal transplant recipient.一名肾移植受者发生累及中枢神经系统的致死性播散性感染。
J Clin Tuberc Other Mycobact Dis. 2020 Oct 19;21:100197. doi: 10.1016/j.jctube.2020.100197. eCollection 2020 Dec.
3
[Two severe cases of disseminated cutaneous nontuberculous mycobacteriosis due to Mycobacterium haemophilum].[两例由嗜血性分枝杆菌引起的播散性皮肤非结核分枝杆菌病严重病例]
Z Rheumatol. 2023 Mar;82(2):143-150. doi: 10.1007/s00393-021-01131-y. Epub 2021 Nov 26.
4
Purulent Flexor Tendon Rupture of the Hand due to Mycobacterium abscessus Infection: A Case Report and Review of the Literature.化脓性屈肌腱断裂:脓肿分枝杆菌感染致手部感染一例报告及文献复习。
J Nippon Med Sch. 2022;89(3):347-354. doi: 10.1272/jnms.JNMS.2022_89-110.
5
Mycobacterium haemophilum infection with cutaneous involvement: two case reports and an updated literature review: Mycobacterium haemophilum skin infection.嗜血分枝杆菌感染伴皮肤受累:两例病例报告及文献复习更新:嗜血分枝杆菌皮肤感染。
J Dtsch Dermatol Ges. 2023 Nov;21(11):1291-1305. doi: 10.1111/ddg.15163. Epub 2023 Sep 7.
6
Clinical outcome of the chronic flexor tenosynovitis in the hand caused by non-tuberculous mycobacterium treated by extensive tenosynovectomy and drugs.广泛腱鞘切除联合药物治疗非结核分枝杆菌所致手部慢性屈指肌腱腱鞘炎的临床疗效
J Plast Surg Hand Surg. 2013 Dec;47(6):434-7. doi: 10.3109/2000656X.2013.776560. Epub 2013 Jul 23.
7
Flexor Tenosynovitis: A Case Report.屈指肌腱腱鞘炎:一例报告
J Wrist Surg. 2021 Jun;10(3):241-244. doi: 10.1055/s-0040-1715803. Epub 2020 Aug 31.
8
Mycobacterium haemophilum skin and soft tissue infection in a kidney transplant recipient: A case report and summary of the literature.**译名**:**嗜血分枝杆菌皮肤软组织感染**:**肾移植受者**:**病例报告和文献综述**。
Transpl Infect Dis. 2020 Oct;22(5):e13315. doi: 10.1111/tid.13315. Epub 2020 May 23.
9
Clinical manifestations, treatment and outcomes of patients infected with with a focus on immune reconstitution inflammatory syndrome: a retrospective multi-site study.以免疫重建炎症综合征为重点的感染患者的临床表现、治疗和转归:一项回顾性多中心研究。
Infect Dis (Lond). 2023 Jul;55(7):467-479. doi: 10.1080/23744235.2023.2208210. Epub 2023 May 7.
10
Flexor tenosynovitis in the hand caused by Mycobacterium malmoense: a case report.马尔默分枝杆菌引起的手部屈肌腱腱鞘炎:一例报告
J Hand Surg Am. 1997 Mar;22(2):338-40. doi: 10.1016/S0363-5023(97)80174-8.

本文引用的文献

1
The Brief Case: Disseminated Mycobacterium haemophilum Infection in a Kidney Transplant Recipient.病例摘要:肾移植受者播散性嗜血性分枝杆菌感染
J Clin Microbiol. 2017 Dec 26;56(1). doi: 10.1128/JCM.00561-17. Print 2018 Jan.
2
Nontuberculous Mycobacterial Infections of the Upper Extremity: 15-Year Experience at a Tertiary Care Medical Center.上肢非结核分枝杆菌感染:三级医疗中心的15年经验
J Hand Surg Am. 2018 Apr;43(4):387.e1-387.e8. doi: 10.1016/j.jhsa.2017.10.030. Epub 2017 Dec 6.
3
Mycobacterium haemophilum osteomyelitis in the immunocompromised host.
免疫功能低下宿主中的嗜血性分枝杆菌骨髓炎。
Pediatr Int. 2017 Dec;59(12):1279-1281. doi: 10.1111/ped.13426. Epub 2017 Dec 4.
4
Non-tuberculous mycobacterial infections of the hand.手部非结核分枝杆菌感染
Chir Main. 2015 Feb;34(1):18-23. doi: 10.1016/j.main.2014.12.004. Epub 2014 Dec 30.
5
Osteomyelitis and arthritis of the wrist caused by Mycobacterium intracellulare in an immunocompetent patient: a case report and literature review.免疫功能正常患者由胞内分枝杆菌引起的腕部骨髓炎和关节炎:一例报告及文献综述
Acta Reumatol Port. 2014 Apr-Jun;39(2):176-81.
6
Clinical manifestations, diagnosis, and treatment of Mycobacterium haemophilum infections.嗜血分枝杆菌感染的临床表现、诊断与治疗。
Clin Microbiol Rev. 2011 Oct;24(4):701-17. doi: 10.1128/CMR.00020-11.
7
[Severe course of a rare non-tuberculous Mycobacteriosis (M. haemophilum) of the hand - case report and strategic comments].[手部罕见非结核分枝杆菌病(嗜血性分枝杆菌)的严重病程——病例报告及策略性评论]
Handchir Mikrochir Plast Chir. 2008 Oct;40(5):342-7. doi: 10.1055/s-2007-989476. Epub 2008 Aug 25.