Suppr超能文献

菊形团形成性神经胶质神经元肿瘤:一例说明性病例及系统综述

Rosette-forming glioneuronal tumor: an illustrative case and a systematic review.

作者信息

Wilson Caleb P, Chakraborty Arpan R, Pelargos Panayiotis E, Shi Helen H, Milton Camille K, Sung Sarah, McCoy Tressie, Peterson Jo Elle, Glenn Chad A

机构信息

Department of Neurosurgery, University of Oklahoma Health Sciences Center, Oklahoma City, Oklahoma, USA.

Department of Pathology, University of Oklahoma Health Sciences Center, Oklahoma City, Oklahoma, USA.

出版信息

Neurooncol Adv. 2020 Sep 9;2(1):vdaa116. doi: 10.1093/noajnl/vdaa116. eCollection 2020 Jan-Dec.

Abstract

BACKGROUND

Rosette-forming glioneuronal tumors (RGNTs) are rare, low-grade, primary CNS tumors first described in 2002 by Komori et al. RGNTs were initially characterized as a World Health Organization (WHO) grade I tumors typically localized to the fourth ventricle. Although commonly associated with an indolent course, RGNTs have the potential for aggressive behavior.

METHODS

A comprehensive search of PubMed and Web of Science was performed through November 2019 using the search term "rosette-forming glioneuronal tumor." Preferred Reporting Items for Systematic Reviews and Meta-Analyses (PRISMA) guidelines were followed. English, full-text case reports and series with histopathological confirmation were included. Patient demographics, presentations, MRI features, tumor location, treatment, and follow-up of all 130 cases were extracted.

RESULTS

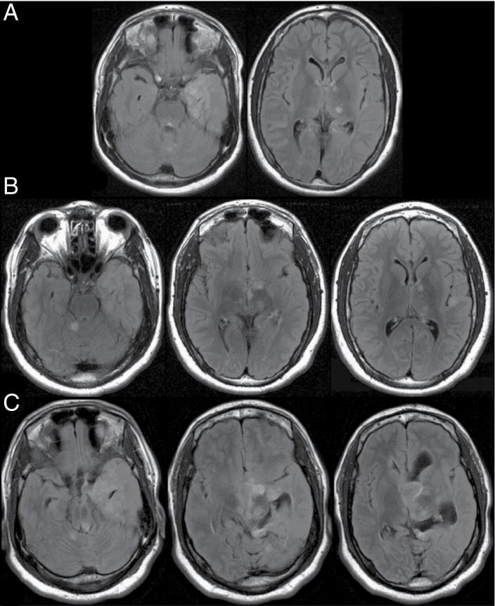
A 19-year-old man with a history of epilepsy and autism presented with acute hydrocephalus. MRI scans from 2013 to 2016 demonstrated unchanged abnormal areas of cortex in the left temporal lobe with extension into the deep gray-white matter. On presentation to our clinic in 2019, the lesion demonstrated significant progression. The patient's tumor was identified as RGNT, WHO grade I. One hundred thirty patients were identified across 80 studies.

CONCLUSION

RGNT has potential to transform from an indolent tumor to a tumor with more aggressive behavior. The results of our systematic review provide insight into the natural history and treatment outcomes of these rare tumors.

摘要

背景

菊形团形成性神经胶质神经元肿瘤(RGNTs)是罕见的低级别原发性中枢神经系统肿瘤,于2002年由小森等人首次描述。RGNTs最初被归类为世界卫生组织(WHO)I级肿瘤,通常位于第四脑室。尽管通常病程进展缓慢,但RGNTs有发生侵袭性生长的可能。

方法

截至2019年11月,使用检索词“菊形团形成性神经胶质神经元肿瘤”对PubMed和科学网进行了全面检索。遵循系统评价和Meta分析的首选报告项目(PRISMA)指南。纳入英文、有组织病理学证实的全文病例报告和系列研究。提取了所有130例病例的患者人口统计学资料、临床表现、MRI特征、肿瘤位置、治疗及随访情况。

结果

一名有癫痫和自闭症病史的19岁男性出现急性脑积水。2013年至2016年的MRI扫描显示左颞叶皮质异常区域无变化,并延伸至深部灰白质。2019年到我们诊所就诊时,病变有显著进展。该患者的肿瘤被确诊为WHO I级RGNT。通过80项研究共确定了130例患者。

结论

RGNT有可能从生长缓慢的肿瘤转变为具有更侵袭性生长行为的肿瘤。我们系统评价的结果为这些罕见肿瘤的自然史和治疗结果提供了见解。

https://cdn.ncbi.nlm.nih.gov/pmc/blobs/a695/7586144/cd93de46a2bf/vdaa116_fig1.jpg

文献AI研究员

20分钟写一篇综述,助力文献阅读效率提升50倍。

立即体验

用中文搜PubMed

大模型驱动的PubMed中文搜索引擎

马上搜索

文档翻译

学术文献翻译模型,支持多种主流文档格式。

立即体验